宝柏 中国


ReproCELL引领世界干细胞研究



★ 灵长类动物胚胎干细胞培养基

        Q:是谁第一个成功诱导多能性干细胞?
        A:京都大学的山中学者(Shinya Yamanaka)及其团队!

        Q:该团队使用何种培养基培养干细胞?
        A:他们与ReproCELL公司联合开发了灵长类动物胚胎
              干细胞培养基!

      ReproCELL灵长类动物胚胎干细胞培养基不含有血清,可在饲养层上培养胚胎干细胞或多能性诱导干细胞。由ReproCELL和京都大学联合开发,山中学者团队使用此培养基成功地培养出世界上第一个人多能性干细胞。从此之后,世界各地实验室广泛使用ReproCELL培养基,大大促进了干细胞研究的发展。该培养基使用方便,只需在使用前加入bFGF,便可培养人或其它灵长类动物的胚胎干细胞或多能性干细胞。

特点:

  • ReproCELL和京都大学联合开发
  • 只需在使用前加入bFGF
  • 每批次都使用人iPS细胞进行检测
  • 严格的批次间检测
  • 无血清
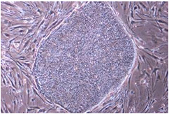
human iPSC cultured using Primate ES Cell Medium with 5ng/ml bFGF on MEF
-----------------------------------------------------------------------------------------------------------------------------------------[返回顶部]

★ ReproFF2 ES/iPS细胞培养基——每周只需处理细胞三次

      ReproFF2是新型的无饲养层培养基用于人ES/iPS细胞培养,与传统的干细胞培养需每天换液不同,ReproFF2培养基一周只需处理细胞三次。在周一与周三进行换液,周五进行细胞传代。因此可大大节省培养基,降低人力操作成本,无需制备饲养层细胞,周末也无需进行细胞处理。ReproFF2细胞培养基操作简单,只需预热,加入bFGF即可使用。

特点:

  • 细胞培养一周只需处理三次,降低工作成本
  • 保持干细胞未分化状态、但可保留分化能力
  • 联用Laminin-5 和Dissociation Solution可解离细胞进行传代,
    无需机械操作
Human iPS cells (201B7) grown with ReproFF2 on a Laminin-5 coated plate
-----------------------------------------------------------------------------------------------------------------------------------------[返回顶部]

★ 干细胞来源的心肌细胞

       心脏毒性是市场或临床上药物研发失败的主要原因之一,为使科研人员能够预测化合物的毒性,节约研发药物时间与成本,ReproCELL提供干细胞来源的心肌细胞,在药物研发的早期阶段,就可在体外进行药理毒理实验。作为世界上首家提供干细胞来源心肌细胞的公司,ReproCELL会进一步引领开发干细胞的应用,在药物研发方面为全世界服务。

特点:

  • 冻存细胞,保证单个细胞结构/功能的完整性
  • 可在体外进行心脏毒性实验或药物筛选
  • 使用过已知化合物进行细胞功能检测
  • 表达心脏离子通道与心机细胞的特异性标志物
  • 相关试剂可单独购买


干细胞来源的神经元细胞

       该细胞来源于神经祖细胞,经过成熟培养基(Maturation Medium)的培养可得到多巴胺神经元细胞,该细胞可用于中枢神经系统和神经性疾病、包括帕金森病等方面研究。

特点:

  • 通过DNA重组技术建立神经系统疾病模型
  • 可有效地用于神经毒性实验与药物研发
  • 已经证实细胞表达多巴胺神经元标志物
  • 已证实有多巴胺的释放和摄取现象
  • 所有批次都进行功能检测

多巴胺神经元标记物

欢迎免费索取资料

您的姓名: *

电子信箱: *

电话号码: *

研究方向: *

单位: *

通讯地址: *

留言:


北京:+86 10 8580 4838
上海:+86 21 6288 4751
www.boppard.cn

广州:+86 20 8732 6381
香港:+852 2799 9019
info@boppard.cn

由宝柏中国委托 生物通 制作