2. 干细胞培养
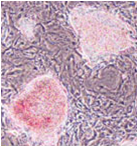
猕猴胚胎干细胞用不含LIF的Mebiol® Gel培养(右图),和2D饲养层培养(左图)相比,发现形态学和碱性磷酸酶染色均未分化。
 
图 3
左图:2D 饲养层培养。 右图:不含LIF的3D Mebiol® Gel培养(7天)。
(提供者:Dr. K. Hishikawa, Dept of Clinical Renal Regeneration, University of Tokyo.)
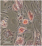
猕猴(灵长类)胚胎干细胞在Mebiol® Gel培养,碱性磷酸酶染色表现强阳性,表明未分化。
 
图 4
左图:2D 饲养层培养。 右图:不含LF的3D Mebiol® Gel培养(5天)。
3. 体干细胞的选择性分离培养(小鼠胚胎皮肤源)
Epithelial Stem Cells from Dermis by a Three-dimensional Culture System” Journal of Cellular Biochemistry, 98 (1), 174-184 (2006)
4. 体外3-D软骨细胞培养再生软骨组织
Chondrocytes Containing Growth Factors in a Novel Thermoreversible Gelation Polymer Scaffold” Tissue Engineering, 12 (5), 1237-1245 (2006)
5. 体外3-D培养人细胞间质干细胞(hMSC)进行骨诱导
“Gene expression profile of human mesenchymal stem cells during osteogenesis in three-dimensional thermoreversible gelation polymer” Biochem. Biophys. Res. Commun., 317, 1103-1107 (2004).
6. 人类肝细胞3-D培养生产丙型肝炎病毒(HCV)
“Production of infectious hepatitis C virus particles in three-dimensional cultures of the cell line carrying the genome-length dicistronic viral RNA of genotype 1b“ Virology, 351 (2), 381-392 (2006)
7. 通过局部加热进行通道控制(芯片细胞分选系统)
“On-Chip Cell Sorting System Using Laser-Induced Heating of a Thermoreversible Gelation Polymer to Control Flow”, Y. Shirasaki, J. Tanaka, H. Makazu, K. Tashiro, S. Shoji, S. Tsukita, T. Funatsu,Anal. Chem., 78, 695-701 (2006) |