 |
 |
|
StemRNA 3rd Gen Reprogramming Kit
StemRNA第三代重编程试剂盒
(又名StemRNA™-NM重编程试剂盒) |
Stemgent RNA重编程的最新产品——StemRNA第三代重编程试剂盒(旧名StemRNA-NM重编程试剂盒),结合了未经修饰的RNA和microRNA技术,使干细胞研究人员追求的多功能性、简易性和时间效益提升到一个新的层次,使人成纤维细胞,以及来自难以重编程的患者血液和尿液的细胞样品得已重编程,成为具有全能性的诱导型多功能干细胞(iPS)。
◆ 主要优点
● 运用灵活技术,可从多种靶细胞得到高质量的人iPS细胞系
即开即用。可用于来自皮肤(成纤维细胞),血液(内皮祖细胞; EPCs)和尿液(尿源性上皮细胞; UDCs)
细胞的重编程。
● 高效率的非整合重编程
StemRNA-3rd Gen仅需要少至四种额外的试剂。试剂盒中的双链microRNA可增强重编程效率,提高
iPS获得效率(成纤维细胞高达4%,EPC高达3%,UPC高达0.5%)。
● 省时的操作更快获得结果,从而提高吞吐量
从成纤维细胞的细胞系中得到iPS克隆需要10-14天,而从EPC或UPC中获得细胞系需要12-16天。无需筛选,
无需像其他技术般额外培养2-10周(3-10代)以清除载体。
| StemRNA 3rd Gen Reprogramming Kit (00-0076) |
特点 |
成纤维细胞 |
尿液 (UDCs) |
血液(EPCs) |
每个试剂盒可转染的孔数(6孔板) |
9 |
3 |
3 |
转染次数 |
4 |
6-8 |
6-8 |
获得原代iPS细胞克隆所需天数 |
10-14 |
12-14 |
12-14 |
重编程效率 |
2-+4% |
0.1-0.5% |
0.4-3% |
筛选 |
否 |
否 |
否 |
兼容异源成分的培养步骤 |
是 |
否 |
否 |
GMP级的RNA制备步骤 |
是 |
是 |
是 |
在NutriStem™ XF / FF培养基(01-0005)中扩增后,使用StainAlive™ TRA-1-60抗体(09-0068)和DAPI对UDCs的P7原代iPS细胞进行染色
StemRNA 3rd Gen Reprogramming Kit
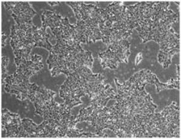
以StemRNA 3rd Gen Reprogramming Kit配合NutriStem™ XF/FF培养基(01-0005)及iMatrix-511(NP892-011)基质上培养成纤维细胞衍生的iPS细胞7代。 放大倍数:4x
StemRNA-NM的成纤维细胞重编程s时间表
◆ 产品说明
| 规格 |
1 kit |
试剂盒组分 |
OKSMNL NM-RNA(编号05-0040),30 µg, 1 vial
EKB NM-RNA(编号05-0041),22 µg, 1 vial
NM-microRNAs(编号05-0042),15 µg, 1 vial |
储存与稳定性 |
1. 试剂盒三种成分均需储存在-70°C以下;
2. 在适当的保存条件下,自到货后三个月内有效。 |
质量控制 |
试剂盒种每种mRNA的大小与完整性均经过检测。StemRNA 3rd Gen Reprogramming
Kit 成功进行了人成纤维细胞和人脐静脉内皮细胞RNA基础重编程功能验证。iPS细胞系完
全重编程可通过多能性标记物的表达及正确的形态来确认。试剂盒所有组分均无菌,支原
体检测均呈阴性。 |
使用许可 |
该产品使用Biontech AG独家许可技术,引自专利WO 2009/088134。Biontech AG的
WO 2007/036366,WO 2007/036366,WO 2007/036366和WO 2007/036366等多
专利也涵盖了本产品。 |
◆ 产品列表
| 产品编号 |
产品名称 |
规格 |
00-0076 |
Stemgent® StemRNA™ 3rd Generation Reprogramming Kit
(StemRNA-NM Reprogramming Kit) |
1 kit |
◆ 相关产品
| 产品编号 |
产品名称 |
包装 |
01-0005 |
NutriStem XF/FF Culture Medium (500 mL)
NutriStem 无饲养层干细胞培养基 |
500 mL |
01-0005-100 |
NutriStem XF/FF Culture Medium (100 mL)
NutriStem 无饲养层干细胞培养基 |
100 mL |
03-0002 |
Stemfactor™ FGF-Basic, Human Recombinant
Stemfactor™ FGF-Basic,人重组 |
50 µg |
01-0020-50 |
NutriFreez D10 Cryopreservation Mediu |
50 mL |
iMatrix-511
iMatrix-511产品详细信息请点击:iMatrix-511层粘连蛋白
查看相关产品宣传册,请点击:Stemgent细胞重编程 |