领先的蛋白、抗体生产服务

义翘神州:领先的蛋白、抗体研发生产专家

义翘神州拥有多种完善的技术服务平台、专业的科研团队、各种先进的仪器设备和生物实验室,能够为客户提供真正的一站式技术服务。我们可以为您提供重组蛋白表达服务(五大蛋白表达平台)、抗体生产和制备服务、生物药研发技术服务、分子生物学技术服务、免疫检测技术服务以及病毒清除验证服务等定制服务,以客户需求为导向,以技术实力为切入,推进您的研发进程。更多>>
重组蛋白表达服务     更多>>
• 超过 10 年 6000 多种重组蛋白表达经验
• 从基因合成、载体构建到蛋白表达及纯化的一站式服务
• 五大重组蛋白表达系统
• 超过 30 种重组蛋白纯化体系
• 近百个 2L 到 1000L 不同体积的发酵罐,满足规模化蛋白表达需求
立即询价
抗体生产、制备、开发服务     更多>>
• 义翘神州拥有专业的超过 10 年工艺优化和生产经验的哺乳动物细胞表达平台,可以提供从基因合成到高质量抗体生产的一站式服务。
• 过去 10 年中为全球客户提供了数千个抗体生产服务,是全球 Top10 制药公司首选的抗体生产服务供应商。
立即询价

蛋白、抗体生产服务类型及流程

重组蛋白表达服务类型及流程      更多详情>> 立即询价!
流程:基因合成及密码子优化(可选)--> 载体构建 --> 表达评估 --> 蛋白表达及纯化 --> 大量表达及纯化(可选)
重组抗体生产服务类型及流程      更多详情>> 立即询价!
流程:基因合成及密码子优化(可选)--> 载体构建 --> 表达及纯化 --> QC 分析
抗体制备、开发技术服务类型      更多服务>> 立即询价!

用事实说话:服务案例展示

重组蛋白表达技术服务案例     更多详情>>
• 昆虫系统表达蛋白
Fig 1. SDS-PAGE > 97%
E.coli 系统表达蛋白
Fig 2. 细胞活性: EC50 = 17pg/mL
• HEK293 系统表达蛋白
Fig 3. SEC-HPLC > 98.2%
重组抗体生产服务案例     更多详情>>
义翘神州可实现快速高通量重组抗体制备,一般制备周期只需 2-6 周,单体纯度可达到 > 99%。
SDS-PAGE 电泳
SEC-HPLC > 99%
重组抗体开发案例     更多详情>>
义翘神州建立了高通量兔单克隆抗体及鼠单克隆抗体制备平台,且拥有大量兔多抗开发经验,均经 ELISA、WB、IHC、FCM 等多种验证平台,多细胞、多组织验证。
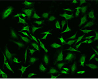
• 标准兔多抗开发

Fig 1. Immunofluorescence staining of mouse target A in NIH-3T3 cells. Positive staining was localized to Mitochondrion.

• 标准鼠单抗开发

Fig 2. Immunochemical staining of human target D in human breast carcinoma with mouse Mab.

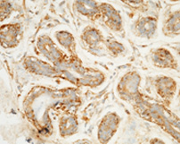
• 兔单抗开发
Fig 3. Immunochemical staining of human target E in human gastric cancer with rabbit Mab. The image showing membrane staining of epithelium cell.

CRO 技术服务的优势

蛋白表达技术服务 • 高效表达载体   • 蛋白生物药业产业化技术
• 高密度细胞培养 • >6000 蛋白表达、纯化生产经验
• 自主产权的培养基配方 • 包涵体蛋白复性技术和可溶性表达
抗体制备、生产服务 • 抗原类别多样化   • 抗体检测平台多样化
• 抗体开发技术多样化 • 抗体纯化技术多样化
• 抗体筛选技术多样化 • 抗体重组表达平台多样化
生物药研发技术服务 • 建立多种肿瘤和其它重要疾病模型   • 建立多种重要药物靶点的抗体细胞活性评价模型
• 完成多个中试生产项目 • 完成多个药物靶点抗体人源化改造
• 多个药物靶点全套临床前研究经验  
分子生物学技术服务 • SYBR Green 染料法和 TaqMan 探针法   • 敲入和敲除可以建立细胞系
• 具有高质量和经过验证的引物对 • CRISPR/Cas9 慢病毒系统可感染分裂和非分裂细胞
• 经验丰富的技术人员 • 靶点操作高效灵活,多个基因可以同时编辑,基因的修饰可以是遗传的
• 简单快速设计靶点  
免疫检测技术服务 • 一站服务,方便快捷   • 服务平台优良,技术队伍专业
• 配套先进的仪器设备 • 义翘神州拥有庞大的产品库支持
• 价格合理,多重优惠 • 可以提供高通量的抗体检测服务
病毒清除验证服务 • 有超过 500 次病毒灭活/清除验证研究,涉及到的产品类型包括抗体、蛋白、疫苗等。承接的客户产品中,已有 6 个产品申报成功 (成功率 100%)  
• 指示病毒种类丰富,纯度高,滴度可达 8Log10 以上
• 符合国家规定的生物安全Ⅱ级实验室并具有病毒灭活/清除验证实验所需的设备仪器

先进的仪器设备保障高质量的 CRO 技术服务(部分)


细胞流式分析

分子亲和力测定

高通量数码成像

动态光散射分子大小分析

高通量蛋白纯度

蛋白纯度/非糖基化

蛋白质电荷异构体

假病毒-中和抗体评估

HPLC

激光共聚焦
义翘神州 CRO 技术服务咨询
电话:010-58628216, 010-58628223
邮箱:cro-service@sinobiological.com
官网:cn.sinobiological.com
地址:北京市经济技术开发区亦庄路东区科创七街 31 号院

扫一扫,关注"北京义翘神州"
义翘神州 CRO 技术服务概览

本网页由义翘神州委托 生物通 制作