细胞自噬研究
 

       自噬(autophagy)是指从粗面内质网的无核糖体附着区脱落的双层膜包裹部分胞质和细胞内需降解的细胞器、蛋白质等成分形成自噬体(autophagosome),并与溶酶体融合形成自噬溶酶体,降解其所包裹的内容物,以实现细胞本身的代谢需要和某些细胞器的更新。自噬是继细胞凋亡(apoptosis)后,当前生命科学最热的研究领域。

自噬过程示意图


ELISA法定量检测自噬标记物——NBR1和p62
       NBR1和p62这两个蛋白的功能类似于支架蛋白,在自噬过程中起着转运和降解蛋白的功能。NBR1和p62 ELISA试剂盒可以灵敏地定量检测人、大鼠、小鼠细胞裂解液中自噬标记物NBR1和p62的含量。此试剂盒具有如下优点:

  • 灵敏度高,检测NBR1可低至66pg/ml、p62可低至100pg/ml。
  • 简便地操作步骤节省宝贵时间,减少错误。
  • 结果比Western Blot更可靠。
  • 适用于高通量筛选。

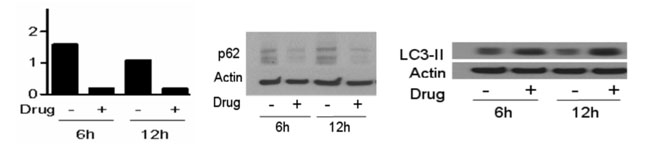
使用p62 ELISA试剂盒检测自噬标记物

图A
图B
图C

       自噬诱导药物处理人乳腺癌细胞。经药物处理6小时和12小时后,细胞裂解,使用p62 ELISA试剂盒定量检测、p62抗体和LC3-II抗体进行免疫印迹。经药物处理后,自噬标记物表达水平有变化,p62蛋白水平降低(A和B图),LC3-II水平上升(C图)

产品信息

产品编号

产品名称

规格

ADI-900-211

NBR1 ELISA Kit

1X96孔

ADI-900-212

p62 ELISA Kit

1X96孔

您可能感兴趣的产品:

产品编号

产品名称

产品编号

产品名称

产品编号

产品名称

ADI-900-138

Bax

ADI-900-133

Bcl-2

ADI-900-152

Erk1/2

ADI-900-106

Phospho Jnk1/2

ADI-900-144

GSK-3β

ADI-EKS-715

HSP70

ADI-EKS-895

HSP90α

ADI-900-123A

Phospho GSK-3β

ALX-850-057

p53

AG-45A-0029

SIRT1

AG-45A-0030

SIRT2

ADI-960-070

p53/MDM2

自噬化合物库
       Screen-well™ Autophagy Library是研究促自噬和抗自噬分子的有力工具。化合物库中包含96种已知的自噬诱导剂或者抑制剂,可作用于与自噬相关的蛋白或受体,包括:mTOR/PI3K、cAMP、热休克蛋白、钙调蛋白、表观遗传调控蛋白、细胞骨架等。

产品编号

产品名称

规格

BML-2837-0500

Autophagy Library

1 Library

500μl/well

BML-2837-0100

1 Library

100μl/well

相关化合物

产品编号

产品名称

产品编号

产品名称

BML-CM110

Bafilomycin A1

BML-A275

Rapamycin

ALX-550-087

Clonidine

BML-EI397

SMER28

ALX-550-253

Loperamide

ALX-550-095

Tamoxifen

BML-PI102

MG-132

ALX-550-306

Verapamil

Cyto-ID™自噬检测试剂盒
       ENZO公司提供的新产品Autophagy Detection Kit内含ENZO申请专利的染料,在活细胞内可以染色,与自噬体特异性结合,在荧光显微镜下镜检。

C:\Documents and Settings\kandy\桌面\柏讯14\图\starvation.gif
C:\Documents and Settings\kandy\桌面\柏讯14\图\starvation-control.gif

Starvation诱导细胞自噬,左图绿色为自噬体,右图为对照。蓝色为荧光染料Hoechst染细胞核。

相关产品:

产品编号

产品名称

规格

ENZ-51034

Cyto-ID™ Green detection kit

1 Kit

ENZ-51005

Cyto-ID™ Red detection kit (GFP-Certified™)

1 Kit

ENZ-51015

Cyto-ID™ Red cytotoxicity kit (GFP-Certified™)

1 Kit

ENZ-52252

MM 4-64 Fluorescent dye for autophagy in yeast

1mg

自噬蛋白抗体
       Enzo Life Sciences提供大量抗体用于自噬研究,单抗、多抗;可识别多种物种:人、小鼠、大鼠等;应用于多种实验:IHC、WB、ICC、IP等。

产品编号

产品名称

规格

ALX-803-080-C100

LC3B,mAb(5F10)

100μg

BML-PW1125-0025

NBR1(human), pAb

25μl

ALX-215-065-1

mTOR(human FRB Domain), pAb

1 vial

ADI-905-721-100

Beclin-1, pAb

100μg

ADI-905-687-100

mTOR, pAb

100μg

BML-PW9860-0025

P62(human), pAb

25μl


更多产品信息,欢迎访问:http://www.enzolifesciences.com/


您的姓名: *

电子信箱:*

电话号码:*

研究方向:*

单位:*

通讯地址:*

留言:

北京:+86 10 8580 4838
上海:+86 21 6288 4751
www.boppard.cn

广州:+86 20 8732 6381
香港:+852 2799 9019
info@boppard.cn

由宝柏中国委托 生物通 制作