Phos-tag™ Acrylamid简介


       Phos-tag Acrylamide SDS-PAGE可根据迁移率不同,区分磷酸化蛋白与非磷酸化蛋白。该方法只需在常规的SDS-PAGE胶中添加Phos-tag Acrylamide和MnCl2即可进行实验。

【特点】

  • 不含放射性元素,非荧光物质
  • 不同位点磷酸化修饰的蛋白在同一泳道中因迁移率不同而被分离开来
  • 操作过程与常规SDS-PAGE相类似
  • Phos-tag 的结合特异性与氨基酸种类、序列无关
  • Phos-tag SDS-PAGE实验后,可进行常规的免疫组化、质谱等实验
  • 可区分磷酸化蛋白与非磷酸化蛋白
  • Phos-tag 母液可稳定保存至少3个月
  • 可检测出具有不同磷酸化位点的蛋白
  • 无需特意制备磷酸化抗体

   Phos-tag™ Acrylamid原理



   Phos-tag™ Acrylamid应用


使用例:
酪氨酸激酶Abl磷酸化反应的变化
酪氨酸激酶Abl作用于带有GST标签的底物ABLTIDE,采用Phos-tag™ SDS-PAGE,可检测底物上酪氨酸的磷酸化反应。

常规SDS-PAGE (上图:不存在Phos-tag™) 不能确认底物是否被磷酸化。 而Phos-tag™ 的SDS-PAGE(下图:100μM Phos-tag™)里,随着磷酸化反应的进行,电泳速度慢的条带慢慢出现,相对应电泳速度快的非磷酸化蛋白的条带逐渐减少。

【体外实验检测激酶的抑制效应】
使用例:体外检测磷酸化反应的变化观察酪氨酸激酶的活性。
Glivec是酪氨酸激酶特异性抑制剂,底物是ABLTIDE-GST。采用Phos-tag™ SDS-PAGE,可检测底物上酪氨酸的磷酸化反应。

从图中可知,使用Phos-tag™ SDS-PAGE后,随着抑制剂浓度的增高,磷酸化反应程度降低,泳动速度慢的磷酸化条带就逐渐减少,而非磷酸化的条带逐渐增加。测定Glivec对底物的抑制率IC50=1.6μM
摘自Kinoshita-Kikuta, E. et al., Mol. Cell. Proteomics. (2007)6: 356

【体外实验检测激酶的磷酸化状况】
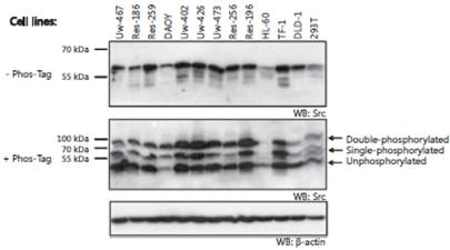
使用例:各种脑部肿瘤细胞系中检测Src激酶活性

C:\Documents and Settings\kandy\桌面\132.jpg

上图在普通SDS-PAGE(不存在Phos-tag)用Src抗体检测,只能看到一条明显的条带。而在中间那幅图(100μM Phos-tag)中,用Src抗体检测出三条带,分别是Unphosphorylated、Single-phosphorylated和Double-phosphorylated。 (Src激酶在Tyr416和Tyr527这两个氨基酸位点发生磷酸化)。摘自Arend H. Sikkema, et al. , Cancer Res(2009)69:5987
   Phos-tag™ Acrylamid资料下载



   Phos-tag™ Acrylamid产品信息

产品货号

产品名称

规格

应用

308-93524

Phos-tag Acrylamid

0.3ml液体溶液(约0.9mg)

只需通过SDS-PAGE即可分离磷酸化与非磷酸化蛋白。

300-93524

2mg

304-93521

10mg

195-16391

SuperSepPhos-tag(50μmol/L), 12.5%, 13well

5块预制胶

您的姓名: *

电子信箱:*

电话号码:*

研究方向:*

单位:*

通讯地址:*

留言:

北京:+86 10 8580 4838
上海:+86 21 6288 4751
www.boppard.cn

广州:+86 20 8732 6381
香港:+852 2799 9019
info@boppard.cn

由宝柏中国委托 生物通 制作