胎牛血清是许多细胞培养过程中必不可少的重要添加成分,其含有丰富的促生长激素、结合蛋白、酶、细胞因子等营养物质,为细胞的生长提供保证,但市面上胎牛血清种类繁多,质量良莠不齐,胎牛血清既是细胞培养的必备营养物,又是可能导致所养细胞死亡的“定时炸弹”,辛苦养起来的珍贵细胞可能因为用错血清而一切归零。


这不,为了解决科研人的烦恼,全方面满足实验的研究需求,拥有15年历史的科研干细胞供应商赛业OriCell® 经过严格的血清筛选,已有特级、标准级、去外泌体胎牛血清,现又上线了一款新品优级胎牛血清,血清源自新西兰,正规进口,手续齐全,经过多道分离、纯化、过滤工艺,质地纯净,内毒素及其他免疫原性蛋白含量极低,批间一致性高!经过了多种干细胞、原代细胞及细胞系的测试,其在细胞的形态、增殖速度、克隆形成能力等考察项目中均表现优秀,适合绝大部分干细胞、体细胞特别是间充质干细胞的取材、培养,及其他对血清质量有较高要求的实验研究。血清的选择直接关系到细胞实验的研发或生产进展,想要做好实验,好用的产品必不可少,赛业OriCell® 胎牛血清,你值得拥有!如需咨询订购,欢迎拨打400-680-8038或邮件至info@oricellbio.cn

活动详情

活动对象:科研终端客户

活动内容: ● 赛业OriCell® 优级胎牛血清,新客户首单50mL399元就购了;每人限购2瓶;
                  ● 凡提供优级胎牛血清产品使用反馈及细胞状态照片,即可获得赛业OriCell® 定制精美礼品一份,数量有限,先到先得。

特价申请方式: 1、下载使用反馈报告,填写并提交;
        2、联系销售填写申请表格。

上传文件
为什么选择赛业OriCell® 优级胎牛血清?

正规进口:OriCell® 优级胎牛血清源自新西兰,正规途径批准进口,资质齐全。

质量可靠:OriCell® 经过了多种干细胞、原代细胞及细胞系的测试,其在细胞的形态、增殖速度、克隆形成能力等考察项目中均表现优秀。

高性价比:相同优质的产品中价格最实在,且稳定供货。

适用范围广:适合绝大部分干细胞、体细胞特别是间充质干细胞的分离培养。

产品名称 货号 规格 活动优惠 立即订购
OriCell® 优级胎牛血清 FBSSR-01021 50mL 原价599元
尝鲜价399元
500mL 4998元
赛业OriCell® 进口胎牛血清系列产品

赛业OriCell® 进口胎牛血清还包含特级、标准级和去外泌体血清,正规进口,筛选严格,批间一致性高,连连获得广大科研人员的称赞好评!

产品名称 货号 规格 立即订购
OriCell® 特级胎牛血清 FBSAD-01011 100mL
500mL
OriCell® 标准级胎牛血清 FBSST-01033-500 500mL
OriCell® 去外泌体血清 FBSNE-01061 20mL
50mL
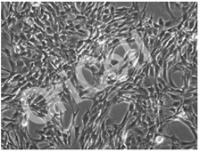
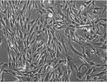
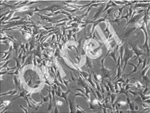
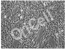
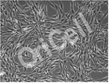
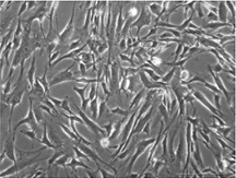
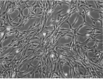
效果看得见

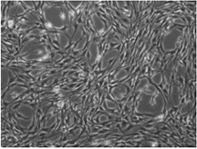
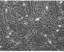
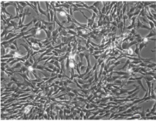
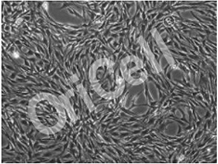
由对比实验可看出,OriCell® 优级胎牛血清和国外某知名品牌在培养Human MSC、SD MSC、C57 MSC时血清质量相当。

Human MSC生长状态图

本品(OriCell® 优级)
Pn+3 100X
对照(国外某知名品牌)
Pn+3 100X
本品(OriCell® 优级)
Pn+6 100X
对照(国外某知名品牌)
Pn+6 100X

SD MSC生长状态图

本品(OriCell® 优级)
Pn+3 100X
对照(国外某知名品牌)
Pn+3 100X
本品(OriCell® 优级)
Pn+6 100X
对照(国外某知名品牌)
Pn+6 100X

C57 MSC生长状态图

本品(OriCell® 优级)
Pn+3 100X
对照(国外某知名品牌)
Pn+3 100X
本品(OriCell® 优级)
Pn+6 100X
对照(国外某知名品牌)
Pn+6 100X

克隆形成率

本品(OriCell® 优级)
Human MSC Pn+2 14d
对照(国外某知名品牌)
Human MSC Pn+2 14d
本品(OriCell® 优级)
SD MSC Pn+2 14d
对照(国外某知名品牌)
SD MSC Pn+2 14d
本品(OriCell® 优级)
C57 MSC Pn+2 14d
对照(国外某知名品牌)
C57 MSC Pn+2 14d
克隆形成率
好品质看得见——客户使用评价
C2C12小鼠肌卫星细胞
浙江大学 陈老师
细胞状态较好,背景干净,高倍镜下无黑胶虫污染,长出侧枝的异常细胞数量较少。
牛间充质干细胞
山西农业大学山西省农业科学院 张老师
生长状态很好,生长速度较快,3天基本就能传代收获,而且无老化现象,适合牛间充质细胞培养。血清市场鱼龙混杂,在其他地方买全靠运气,但赛业能提供稳定可靠的血清来源,是未来血清购买非常值得考虑的一个厂家。
多能干细胞定向分化为间充质干细胞
中山大学附属第一医院 徐老师
这批细胞生长状态良好,我还是比较信赖赛业的,毕竟我们的干细胞都是用的他家的,他们推荐的胎牛血清,值得考虑。
间充质干细胞
成都企业客户 刘经理
细胞生长状态良好,分裂增殖正常,细胞形态正常,无明显细胞毒性。相比于市场高价知名品牌特级胎牛血清无明显区别,与其在增殖趋势上已旗鼓相当。
原代神经元细胞
新乡医学院第二附属医院 郭老师
神经元对血清的要求比较高,从细胞生长情况看,神经元胞体呈椭圆形,轴突树突相互联络成网,和原使用血清比较,培养原代神经元的效果差不多,神经元形态都很不错。
大鼠原代心肌细胞
新乡医学院 牛老师
心肌细胞形态良好,呈梭形。心肌细胞连成一片,且具有规律有力的搏动。

此网页由 赛业(苏州)生物科技有限公司 委托 生物通 制作
赛业(苏州)生物科技有限公司拥有以上广告资料(包括但不限于图片和文字)的版权