✦ 锐博新品6.5折“三连发” ✦ ✦ DHE细胞活性检测+qPCR试剂盒+质粒中提试剂盒,三倍助力!✦
|
| 上新优惠:即日起-12月31日 |
| |
|
|
|
| |
|
锐博生物新上市的DHE超氧阴离子自由基检测试剂盒是一种基于二氢乙锭(Dihydroethidium,DHE)方法的超氧阴离子自由基检测试剂盒。DHE可以穿透细胞膜,在胞质中呈蓝色荧光,但在细胞内超氧阴离子自由基作用下氧化脱氢变成乙锭,乙锭可以与RNA或DNA结合产生红色荧光,当细胞内的超氧化物阴离子水平较高时,产生的乙锭较多,红色荧光就较强,反之则较弱。因此可以根据红色荧光的强弱判断细胞内超氧阴离子自由基的水平。
|
| |
|
产品特点:
|
- 结果准确可靠:标记效果好,细胞分群区分明显
- 应用广泛:灵敏度高,适用于细胞活性和药物毒性分析
- 兼容多种检测方法:可使用激光共聚焦显微镜、荧光显微镜、流式细胞仪、高内涵平台等进行检测
|
|
产品使用效果:
|
| |
| 1. 流式细胞术检测 |
|
MHCC97H细胞未经阳性药物诱导处理(未处理组)或使用50μM的ROSsti诱导30分钟后(阳性药物组),用DHE超氧阴离子自由基检测试剂盒染色,然后进行流式细胞术检测。结果显示,未处理组MHCC97H细胞内超氧阴离子自由基比例较低,FL2(488 nm激光,585/40 nm检测通道)荧光强度较低;阳性药物组细胞内超氧阴离子自由基水平提高,FL2检测到荧光强度升高。
|
 图1. 使用DHE超氧阴离子自由基检测试剂盒染色的流式检测结果 |
| |
| 2. 细胞荧光成像检测 |
|
MHCC97H细胞未经处理(control组)或使用100μM的ROSsti诱导2小时后(ROSsti组),用DHE超氧阴离子自由基检测试剂盒染色,拍摄明场和荧光图片。结果显示,control组MHCC97H细胞内超氧阴离子自由基水平较低,因此红色荧光强度低;ROSsti 组细胞内超氧阴离子自由基水平提高,观察到较强的荧光信号。
|
 图2. 使用DHE超氧阴离子自由基检测试剂盒检测超氧阴离子自由基水平荧光成像结果 |
| |
|
产品信息:
|
| |
产品编号 | 产品名称 | 规格 | 目录价 | C11079-1 | DHE超氧阴离子自由基检测试剂盒(200T) | 200 T | ¥1500.00 |
|
| |
|
| |
|
新品上市丨riboENZYME 2× SYBR Green qPCR预混液
|
|
|
| |
|
锐博生物新上市的riboENZYME 2x SYBR Green qPCR预混液含有qPCR反应所需的热启动DNA聚合酶、合适浓度的SYBR Green I、dNTP底物、阳离子等,只需要加入模板、引物及适量的水即可配制成合适的qPCR反应体系,且优化的配方可以有效的保证扩增效率并减少非特异扩增。
|
| |
|
产品特点:
|
- 改良型qPCR预混液,可实现目标产物的高效特异扩增
- 兼容mRNA、lncRNA、circRNA及miRNA等检测分析
- 操作简便,大大简化操作过程,降低污染几率
|
| |
|
产品使用效果:
|
 |
 图1. 目标基因扩增结果示例 |
| |
|
产品信息:
|
| |
产品编号 | 产品名称 | 规格 | 目录价 | C11096-1 | riboENZYME 2× SYBR Green qPCR预混液(1ml*1) | 1ml*1 | ¥550.00 | C11096-2 | riboENZYME 2× SYBR Green qPCR预混液(1ml*5) | 1ml*5 | ¥1650.00 |
|
| |
|
| |
|
新品上市丨riboEXTRACT质粒DNA中提试剂盒(离心柱法)
|
|
|
| |
|
锐博生物新上市的riboEXTRACT质粒DNA中提试剂盒(离心柱法)对碱裂解法提取质粒进行了优化,适用于提取50~200 mL过夜培养的大肠杆菌菌液量。此产品拥有优良的缓冲体系,结合新型吸附柱,可获得高质量的质粒,适用于酶切、连接、PCR、测序、文库筛选等多种分子生物学实验及常规细胞转染实验
|
| |
|
产品特点:
|
- 无需复杂的去内毒素步骤即可制备高纯度质粒DNA
- 提取得率高,100ml菌液可制备500ug高拷贝质粒
|
| |
|
产品使用效果:
|
|
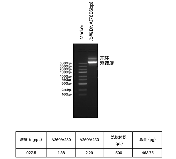
使用riboEXTRACT质粒DNA中提试剂盒(离心柱法)提取7606bp大小的质粒DNA,并进行琼脂糖凝胶电泳。结果如下图所示,提取的质粒DNA条带清晰、完整。
|
 图1. 质粒提取结果示例 |
|
产品信息:
|
| |
产品编号 | 产品名称 | 规格 | 目录价 | C11093-1 | riboEXTRACT质粒DNA中提试剂盒(离心柱法) | 5T | ¥200.00 |
|
| |
| 更多关于 ribo 检测试剂盒产品信息,欢迎填写下表留下您的需求信息,我们会尽快和您联系;也欢迎来电咨询(020-32290075)!或发送邮件至marketing@ribobio.com进行咨询! |
|
|