图4 DeadEnd™比色法细胞凋亡检测系统标记鼠脑模型中轴突横切术诱导的细胞死亡的外侧膝状体核(LGN)的细胞核(11,12)。
低聚甲醛/戊二醛混合鼠脑的振动切片机切片(50μm)显示脑轴索化一侧的LGN细胞被深染,而同一切片中的另一侧细胞则未被染色。(插入图片所示)“洗衣板”效果是振动切片机切片过程中的人为因素造成的。

接上一页)的神经细胞过量死亡。(12,13)在LGN中的神经元被病灶轴索化,这个过程导致细胞在病灶诱导后精确的时间萎缩或死亡。这种轴索显微外科术诱导的细胞死亡在病灶产生3天内,LGN同侧只有5%的神经元死亡,而病灶产生3-7天内,大量神经元死亡发生了。大约有2/3的背部同侧的LGN在此期间经历细胞凋亡(12)。图4中,DeadEnd™比色法凋亡检测系统直接标记在LGN同侧到病灶的诸多细胞核,而LGN异侧到病灶的细胞则未被标记。结果清晰地显示了此系统在轴突横切术诱导的神经元死亡模型中标记凋亡细胞核中的效用。


人类疾病中的细胞凋亡
    深入了解与多种疾病状态相联系的细胞死亡过程是解决发病机理和确定可能的治疗途径的关键。在许多疾病中细胞死亡的发生是经由细胞凋亡亦或是细胞溶解途径不是很清楚,我们使用DeadEnd™凋亡系统估计许多病态组织中DNA的片段化,这种分析可以提供有关细胞死亡机制的原位信息。细胞凋亡的确证需要多方面的证据,如形态学标准和DNA梯状电泳所显示的核小体降解。利用DeadEnd™比色细胞凋亡探测系统是理解多种疾病状态的细胞死亡的最初步骤。

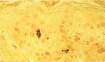
移植抗宿主疾病
    移植抗宿主疾病(Graft-versus-Host disease, GVHD)是骨髓移植中的一种严重并发症。在急性GVHD中,皮肤成为捐赠者骨髓浸润的淋巴细胞主要攻击的靶器官。最近,超量的细胞程序性死亡被认为与这种免疫性疾病中角质形成细胞的严重受损有关。靶细胞被效应T细胞损伤的最后通路现在被认为是一种GVHD中细胞凋亡的通路(14,15)。图5中,DeadEnd™比色法细胞凋亡检测系统标记了经福尔马林固定、石蜡包埋处理的GVHD活体解剖标本切片的基底层细胞层,其结果与效应淋巴细胞损伤表皮细胞而导致皮肤GVHD角质形成细胞凋亡的推测相吻合。

图5 DeadEnd™比色法细胞凋亡检测系统标记来源于移植物抗宿主疾病(GVHD)病人基层细胞层的细胞核。 

切片是5-10μm石蜡包埋的组织样品。具体方法依照相应系统提供的技术手册(4)。

基层细胞癌
    基层细胞癌(Basal Cell Carcinoma, BCC)是一种被阳光中紫外线激发的皮肤疾病。尽管BCC生长缓慢,较少转移,但仍然可以侵入并破坏周围组织。这种疾病中,正常的细胞程序化死亡被抑制。BCC被认为是具高细胞凋亡活性的活跃增生病灶。病灶的严重程度取决于细胞增生与死亡率的相对数值。BCC细胞表达有抑制细胞凋亡作用的Bcl-2(16,17)。不同水平的Bcl-2细胞的表达影响基层细胞癌中细胞死亡率。退化的BCC中,细胞死亡率上升。一般认为细胞凋亡使这种退化发生。图6中,DeadEnd™比色法细胞凋亡检测系统用于标记退化BCC切片中基层细胞核。BCC病灶周围区域的淋巴细胞染色也非常明显。正在浸润(转下一页)

<上一页>      <下一页>

 普洛麦格中文通讯  目  录

专题文章

DeadEnd™比色法细胞凋亡检测系统在病理学中的应用   4

细胞凋亡和活力测定图示   8

Apo-ONE™均质Caspase-3/7检测:快速的细胞凋亡检测用于高通量筛选  10

新产品 

Dual-Glo™荧光素酶测试系统   12

Select96™感受态细胞   12
pCMVTNT™载体   13
pTNT™载体   13
Wizard®SVSV96基因组DNA纯化系统   14
用机器人纯化核酸 15
RNA分析产品促销 16
内容编辑:美国普洛麦格公司北京办事处

网页设计:生物通科技有限公司 www.ebiotrade.com