
-
生物通官微
陪你抓住生命科技
跳动的脉搏
在实验室里,神奇的鸡尾酒产生了肺里最关键的免疫细胞
【字体: 大 中 小 】 时间:2023年06月14日 来源:AAAS
编辑推荐:
德克萨斯生物医学研究所的研究人员已经成功地在实验室中产生了肺中最重要的免疫细胞——肺泡巨噬细胞。细胞培养模型将使世界各地的研究人员更容易和廉价地研究肺部炎症疾病并测试新的潜在疗法。
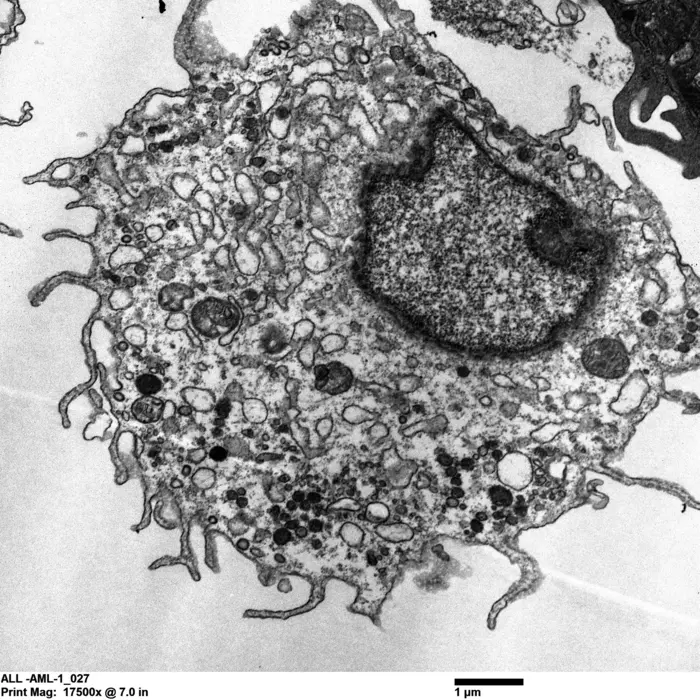
图:透射电子显微镜下可见肺泡巨噬细胞样细胞。
资料来源:Texas Biomed
德克萨斯生物医学研究所的研究人员在实验室中成功地生成了肺中最重要的免疫细胞——肺泡巨噬细胞。细胞培养模型将使世界各地的研究人员更容易和廉价地研究肺部炎症疾病并测试新的潜在疗法。
巨噬细胞是免疫系统的“吃豆人”,吞噬身体组织中的垃圾。肺泡巨噬细胞特异性地生活在发生空气交换的肺气囊内壁中,通常是第一个遇到进入肺部深处的病原体的免疫细胞,如SARS-CoV-2或导致结核病的细菌。
“研究组织特异性细胞对更好地理解健康和疾病的机制,以及筛选潜在的新疗法至关重要,”德克萨斯生物医学教授、医学博士拉里·施莱辛格(Larry Schlesinger)说,他是发表在《mBio》杂志上的论文的资深作者。
新旧之争
人类肺泡巨噬细胞的研究一直具有挑战性,因为它们位于肺部深处,难以接近。通常,它们是通过耗时且昂贵的肺部清洗来收集的,其中包括使用支气管镜穿过喉咙进入气道收集液体样本。
这个新模型从简单的抽血开始。白细胞被分离并放置在特氟龙罐与专门的细胞培养成分。表面活性剂与三种不同的细胞因子蛋白一起加入,这些细胞因子蛋白通常存在于肺泡衬里液中。
“我们称之为神奇的鸡尾酒,”Susanta Pahari博士说,她是德克萨斯生物医学中心的博士后研究员,也是这篇论文的第一作者。“我们在细胞培养中模拟肺泡环境。它使细胞认为它们在肺部。”
在6天内,细胞分化或转化为肺泡巨噬细胞样细胞。生成的细胞与从肺清洗中收集的人类肺泡巨噬细胞的基因相似度为94%。德克萨斯生物医学团队证实,该模型可用于调查结核病和COVID-19;细胞很容易吸收病原体。
“开发一些可以帮助研究界的东西是非常有益的,”Pahari博士说。“我们已经收到了来自世界各地的许多电子邮件,要求提供巨噬细胞的开发方案。我们现在正在研究开发一种工具,可以让其他人更容易地复制我们所做的事情。”
调整和改进
在某种程度上,这一进步是COVID-19大流行的副产品。当疫情爆发时,帕哈里博士无法轻易接触到人类肺泡巨噬细胞,他的研究戛然而至。因此,他转而专注于开发一种替代品。他们花了数年的时间反复试验,确定了鸡尾酒中最有效的成分组合,并进行了基因测试和验证。
该模型改进了施莱辛格博士实验室多年来用于制造人类巨噬细胞的标准方法。
施莱辛格博士说:“我们一直在使用人类单核细胞衍生的巨噬细胞,它本身就是一个很好的模型,但它们与独特的肺泡巨噬细胞不太相似。”
施莱辛格博士指出,最终成功的方法让人想起了生成成体诱导多能干细胞的过程,即将成体干细胞置于特定的鸡尾酒中,帮助它们恢复到一种状态,然后它们可以分化成全新的组织。
施莱辛格博士说:“我很高兴看到肺泡巨噬细胞样细胞的全部潜力,以及它们是否能被整合到下一代肺类器官中。”