
Professional Choice for your Sample Preparation, Merck
样本制备,专业选择!―――默克
高丰度蛋白去除相关产品:
ProteoExtract™ Albumin/IgG Removal Kit
蛋白样本浓缩相关产品:
ProteoExtract™ Protein Precipitation Kit
Column Protein Concerntrate™ kit
UPPA™-Protein Conentrate™ Kit
OrgoSol™ Protein Concentrate™ Kit
蛋白样本Clean-up相关产品:
D-Tube™ Dialyzer
D-Tube™ Electroelution Accessory Kit Midi
CalbioSorb Adsorbent
CalbioSorb Adsorbent, Prepacked Column
Detergent-OUT™, SDS Removal Kit
Detergent-Out™, Detergent Removal Kit
OrgoSol™-Detergent-Out™, Detergent Removal Kit
ProteoExtract™高丰度蛋白去除试剂盒
―――高效、高特异性去除白蛋白/IgG
ProteoExtract™ Albumin Removal KitCat. No.: 122640 (说明书下载)
ProteoExtract™ Albumin/IgG Removal KitCat. No.: 122642 (说明书下载)
潜在疾病标志物的最好样本来源就是血清或其他体液,此类样本可以提供人蛋白质组中绝大部分组份。然而,用蛋白质组分析方法鉴定疾病标志物最大的挑战来自于血清中大量的高丰度蛋白对检测的干扰,血清中有大约55%的蛋白为白蛋白,而IgG大约占血清中蛋白总量的10-25%,这些高丰度蛋白的存在会增加低丰度蛋白检测的难度,去除占血清总蛋白近75%的白蛋白和IgG将有助于更好地鉴定其他的蛋白。
MERCK最新推出的ProteoExtract™高丰度蛋白去除试剂盒可以从体液如血浆或血清中高效、特异性地除去白蛋白、或同时除去白蛋白和IgG,从而显著降低样品的复杂性,利于低丰度蛋白的检测。被除去的血清白蛋白和IgG占其总蛋白的75%,从而使得剩余的样品可以浓缩3-4倍上样,用于SDS-PAGE凝胶电泳、2D凝胶电泳或液相色谱分离。
主要特点:
·快速,只需20-30分钟;
·简单,基于纯化柱式的操作方法,可平行处理多个样品。
·高效去除白蛋白和IgG,利于检测低丰度蛋白;
·高特异性、非特异性结合很少或没有;
·2D电泳或LC使用的上样样品可以更加浓缩;
快速操作流程:
一、样本处理:
取30-60ul血浆/血清,以结合缓冲液(Binding Buffer)十倍稀释
二、分离柱准备:
a、除去柱子上的盖子,以纸吸去贮存缓冲液
b、除去柱底部的尖咀,放入大小适合的收集管
c、加入结合缓冲液,让其靠重力流过柱体
d、将柱子放入一个新的大小适合的收集管中
三、白蛋白/IgG去除
a、加入稀释后的样本,让其靠重力流过柱体
b、以600ul结合缓冲液清洗柱体
c、再次以600ul结合缓冲液清洗柱体收集a、b、c三步的洗脱组份,即为去除白蛋白 /IgG后的样本
|
|
| |
|
相关产品:
1、ProteoExtract™Albumin Removal Kit
Cat. No.: 122640Size: 12 columns/Kit

试剂盒中提供:
1. ProteoExtract™ Albumin Removal
2. ProteoExtract™ Albumin Binding Buffer
3. 说明书
4. 简明操作流程表
样本类型:
血清、血浆、脑脊液
试剂盒贮存条件:
4OC,不可冷冻
试剂盒说明:
本试剂盒基于一种新型的亲和树脂,可高度特异性地与白蛋白结合,从而快速、高度特异性地除去体液(血浆、血清或脑脊液)中的白蛋白,重复性好。可显著降低样品复杂性,利于检测样品中的低丰度蛋白。
每个试剂盒提供12支一次性使用的预装柱,每个柱子吸附量高达2mg白蛋白,可除去人血浆中80%以上的白蛋白(图 1A),而处理后的样品中保留了90%以上的其他标志蛋白如Transferrin、Factor VII和Antithrombin III,图1B显示标志蛋白的免疫印迹结果,并经LC-MS分析捕获的蛋白(结果未显示)验证,非特异性结合很低。试剂盒提供了一种简便的方法以检测低丰度蛋白(图二),并成为分析体液中的疾病标志蛋白的有效工具
本试剂盒已经针对人血清样本作了特别优化,但使用同样的操作步骤,也适用于兔、大鼠或小鼠血清/血浆样品中白蛋白的去除


|
| 比较未经本试剂盒处理的人血清(Fig. 2A)和使用试剂盒除去白蛋白的人血清的电泳结果图。二者分别直接采用35ul人血清或经ProteoExtract Albumin Removal Kit处理,取0.5mg样品经沉淀、重溶于IEF缓冲液,进行2DGE电泳,考马斯亮蓝染色。可见未处理样品中高丰度的白蛋白会影响掩盖其他蛋白(Fig. 2A),除去白蛋白则使得先前未能检测到的一些蛋白得到显示(Fig. 2B) |
|
2、ProteoExtract™Albumin/IgG Removal Kit
Cat. No.: 122642Size: 12 columns/Kit
试剂盒中提供:
1.ProteoExtract™ Albumin/IgG Removal
2.ProteoExtract™ Albumin/IgG Binding Buffer
3.说明书
4.简明操作流程
样本类型:
血清、血浆、脑脊液
试剂盒贮存条件:
4OC,不可冷冻
试剂盒说明:
ProteoExtract Albumin/IgG Removal试剂盒可以用于快速、简便和高度特异性地去除体液(血浆、血清或脑脊液)中的血清白蛋白和IgG。试剂盒提供的重力自流式纯化柱含亲和树脂混合物,从而可以同时除去样品中80%的白蛋白和IgG。
试剂盒提供的亲和树脂专为高效特异性地结合血清白蛋白和IgG而设计。经免疫印迹和LC-MS捕获蛋白分析(结果未显示)验证,该树脂对其他血清、血浆蛋白的非特异性结合很低(见下面相关图A、B)。为检验树脂结合白蛋白和免疫球蛋白的特异性,以免疫印迹检测了未结合、结合树脂组分中的标志蛋白。树脂包含白蛋白结合树脂和免疫球蛋白A结合树脂,基于两种目的蛋白的洗脱条件不同,可以分别洗下80%以上的白蛋白和IgG(经densitometric analysis分析1D电泳条带,见下面相关图 C)。
|
| 图. A and B:Western-Blotting验证ProteoExtract Albumin/IgG Removal Kit试剂盒去除白蛋白和IgG的效率。由于试剂盒提供的两种树脂洗脱条件的差异,样品可以单独去除白蛋白(图 A)或单独去除IgG(图B)。样品按试剂盒说明书操作步骤处理,1D-SDS-PAGE电泳,并以Transferrin(上面条带)和Antithrombin III(下面条带)的抗体进行Western检测。Lane 1:15ug人血浆蛋白;Lane 2&3:15ug穿过组份蛋白;Lane 4&5:15ug洗脱组份蛋白。 |
|
| |
 |
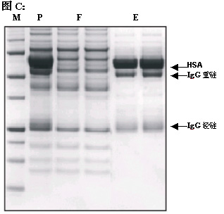
M:蛋白MARKERs;
P:15ug人血浆蛋白;
F:15ug穿过组份蛋白;
E:15ug洗脱组份蛋白
取35ul人血浆按操作流程处理后每组份取15ug蛋白,经SDS-PAGE电泳,考马斯亮蓝染色后经光密度分析可知,使用本试剂盒可以去除样品中80%以上的血清白蛋白及IgG |
|
 |
图 D:采用未经处理人血浆样品;图 E:使用ProteoExtract Albumin/IgG Removal Kit除去白蛋白和IgG的人血浆样品。当样品中高丰度的白蛋白和IgG被试剂盒除去后,使得多种先前未能显示的蛋白被检测出来 |
|