
Professional Choice for your Sample Preparation, Merck
样本制备,专业选择!―――默克
高丰度蛋白去除相关产品:
ProteoExtract™ Albumin/IgG Removal Kit
蛋白样本浓缩相关产品:
ProteoExtract™ Protein Precipitation Kit
Column Protein Concerntrate™ kit
UPPA™-Protein Conentrate™ Kit
OrgoSol™ Protein Concentrate™ Kit
蛋白样本Clean-up相关产品:
D-Tube™ Dialyzer
D-Tube™ Electroelution Accessory Kit Midi
CalbioSorb Adsorbent
CalbioSorb Adsorbent, Prepacked Column
Detergent-OUT™, SDS Removal Kit
Detergent-Out™, Detergent Removal Kit
OrgoSol™-Detergent-Out™, Detergent Removal Kit
ProteoExtract™高丰度蛋白去除试剂盒
―――高效、高特异性去除白蛋白/IgG
ProteoExtract™ Albumin Removal Kit Cat. No.:
122640
(说明书下载)
ProteoExtract™ Albumin/IgG Removal Kit Cat. No.:
122642
(说明书下载)
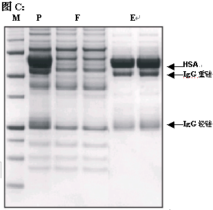
潜在疾病标志物的最好样本来源就是血清或其他体液,此类样本可以提供人蛋白质组中绝大部分组份。然而,用蛋白质组分析方法鉴定疾病标志物最大的挑战来自于血清中大量的高丰度蛋白对检测的干扰,血清中有大约55%的蛋白为白蛋白,而IgG大约占血清中蛋白总量的10-25%,这些高丰度蛋白的存在会增加低丰度蛋白检测的难度,去除占血清总蛋白近75%的白蛋白和IgG将有助于更好地鉴定其他的蛋白。
MERCK最新推出的ProteoExtract™高丰度蛋白去除试剂盒可以从体液如血浆或血清中高效、特异性地除去白蛋白、或同时除去白蛋白和IgG,从而显著降低样品的复杂性,利于低丰度蛋白的检测。被除去的血清白蛋白和IgG占其总蛋白的75%,从而使得剩余的样品可以浓缩3-4倍上样,用于SDS-PAGE凝胶电泳、2D凝胶电泳或液相色谱分离。
|