普洛麦格中文通讯 第六期 2003
 
 
图3. Promega 公司 Taq DNA Polymerase in Storage Buffer B, Taq DNA Polymerase in Storage Buffer A and GoTaqTM DNA Polymerase 扩增反应结果的比较。使用Promega 公司的Taq DNA Polymerase in Storage Buffer B (第1,5,9,13,17泳道) 结合Thermophilic DNA 聚合酶缓冲液(产品目录号:M1901),Taq DNA Polymerase in Storage Buffer A (第2,6,10,14,18泳道) 结合Thermophilic DNA 聚合酶缓冲液,GoTaqTM DNA Polymerase (第3,7,11,15,19泳道)结合无色GoTaqTM反应缓冲液,GoTaqTM DNA Polymerase (第4,8,12,16,20泳道)结合绿色GoTaqTM反应缓冲液分别对 3.3ng 人基因组DNA中的360bp的α-1胰岛素抗性基因片段(产品目录号:G3041),1ng 鼠基因组DNA中的1.1kb IL-1? 片段(产品目录号:G3091),3.3ng 人基因组DNA中的1.8kb APC片段,33ng 人基因组DNA中的2.4kb APC片段,75ng 人基因组DNA中的3.1kb APC片段进行扩增反应。M泳道为BenchTop 1kb DNA Ladder (产品目录号:G7541)。所有扩增反应中使用的dNTP均为Promega的PCR Nucleotide Mix (产品目录号:C1141)。

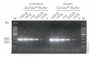
A3800)产生cDNA模板而后用GoTaqTM DNA聚合酶和绿色或无色GoTaqTM反应缓冲液PCR扩增275bpβ-actin基因。GoTaqTM DNA聚合酶能够扩增出靶基因,并且两种GoTaqTM 缓冲液的产率和灵敏度是相同的(图4)。图4显示了采用20μl ImProm-ⅡTM cDNA反应物作为模板进行PCR扩增。 也可依照ImProm-ⅡTM 逆转录系统技术手册
图4. 从总RNA检测β-actin 片段. 用Promega 公司的SV Total RNA Isolation System(产品目录号:Z3500)从Jurkat细胞中提取总RNA,用Promega公司的ImProm-II 反转录系统(1),在20μl反应体系中用图中所显示量的总RNA反转录生成cDNA。全部的20μl cDNA 被用于100μl 体系的PCR反应中,PCR反应使用GoTaqTM DNA 聚合酶结合无色或绿色GoTaqTM反应缓冲液,以Oligo(dT)作为引物扩增长度为275bp的?-actin 片段,M泳道为100bp DNA Ladder (产品目录号:G2101)。所有扩增反应中使用的dNTP均为Promega的PCR Nucleotide Mix (产品目录号:C1141)。

 

TM263中的介绍,采用1μl cDNA反应物作为模板进行PCR扩增(数据没有显示)。我们已证明 GoTaqTM DNA聚合酶及其任一种GoTaqTM反应缓冲液能够用于反转录系统(产品目录号:A3500)产生的cDNA的PCR扩增反应。(表1,特异数据没有显示)。对于任一种非偶联RT-PCR, 进行PCR扩增反应需要考虑MgCl2、dNTPs和缓冲液的浓度。值得注意的是,当计算扩增反应中加入的MgCl2的总量时,要记住和许多缓冲液不同,GoTaqTM反应缓冲液中已包含有终浓度为1.5 mM 的MgCl2

T-载体克隆
  用GoTaqTM DNA聚合酶扩增的产物带有A突出端,适合于T-载体克隆。为显示这一点,我们采用GoTaqTM DNA聚合酶及其绿色或无色GoTaqTM反应缓冲液扩增542bp片段,采用Wizard(r) MagneSilTM PCR纯化系统(Cat# A1930),纯化扩增产物并克隆到pGEM(r)-T Easy载体系统(产品目录号:A1380),操作步骤参照技术文献(2, 3)。我们发现采用绿色GoTaqTM反应缓冲液重组克隆百分率为82%(白色克隆菌数/总克隆菌数×100),采用无色GoTaqTM反应缓冲液,重组克隆百分率为83%。pGEM(r)-T Easy系统提供的插入对照产生89%重组克隆。(无插入对照重组克隆百分率<1%),这表明采用GoTaqTM DNA聚合酶及GoTaqTM反应缓冲液扩增的插入子有A-突出末端,可以克隆到T-载体中。另外,采用GoTaqTM DNA聚合酶及其GoTaqTM反应缓冲液扩增的DNA片段也可克隆到pTARGETTM哺乳动物表达载体系统中(产品目录号:A1410)(数据没有显示)。


内容编辑:美国普洛麦格公司北京办事处
网页制作:北京生物通科技有限公司
©Copyright 2000-2003 eBiotrade.com