
-
生物通官微
陪你抓住生命科技
跳动的脉搏
Nucleofection技术从脐血细胞诱导hiPSCs
【字体: 大 中 小 】 时间:2014年01月20日 来源:
编辑推荐:
目前已经有许多的实验室用质粒介导的方法成功的诱导成功多种体细胞类型。此种方法诱导的hiPSCs*终会丢失外源性的质粒,在细胞里面找不到外源质粒的任何痕迹。本文介绍用Lonza的Nucleofector核转染仪器诱导脐血CD34+细胞重编程成hiPSCs。
2007年,日本京都大学的山中伸弥先生以及他的团队首次成功的将人的成体细胞诱导成类似于胚胎干细胞的细胞群,即诱导多潜能干细胞(hiPSCs)。*开始阶段,他们曾经尝试过用病毒感染的方式将诱导体细胞重编程的几种转录因子基因转入体细胞。然而病毒的DNA也会随机插入到宿主细胞染色体上,会改变宿主基因组并且诱导基因的异常表达。之后,他们努力寻求一种“非整合”的方法诱导iPSCs。本文介绍基于Nucleofection非病毒介导的方式将转录因子基因转入脐血CD34+细胞,在不到14天的时间内即可诱导生成hiPSCs集落。
多潜能干细胞,例如hESCs或者hiPSCs,都能够自我更新并且分化成任意的细胞类型。因此,它们在许多方面都会有重要的应用潜能,例如再生医学、疾病模型以及药物研发等。
许多实验室将病毒介导的感染方法作为优先考虑的方式,因为这种方法的确高效,但是宿主细胞整合了外源性的病毒DNA有可能导致宿主基因组的改变和基因表达的异常。为避免基因组被修饰,研究者们开始研发更多的“非整合”技术,用质粒介导,向宿主细胞内导入关键性的几种转录因子基因。目前已经有许多的实验室用质粒介导的方法成功的诱导成功多种体细胞类型。此种方法诱导的hiPSCs*终会丢失外源性的质粒,在细胞里面找不到外源质粒的任何痕迹。本文介绍用Lonza的Nucleofector核转染仪器诱导脐血CD34+细胞重编程成hiPSCs。
*Let Professionals Serve Professionals基因有限公司 www.genecompany.com*
实验材料和方法
细胞培养
阳性免疫磁珠筛选的方法从单核细胞里面分离出脐血CD34+细胞(Lonza, cat. no. 2C-101)。冻存的脐血CD34+细胞融解后培养在无血清培养基里面。培养基的成分包括:50% IMDM, 50% Ham’s F12, 1x chemically defined lipid concentration, 1x Insulin-Transferrin-Selenium-X, 2 mM GlutaMAX™ I(Invitrogen)和50μg/ml ascorbic acid (Sigma)。内含细胞因子:100 ng/ml SCF, 100 ng/ml Flt3-ligand, 20 ng/ml TPO 和 10 ng/ml IL-3 (PeproTech). CD34+细胞转染之前在无血清培养基内培养4-5天。转染用的仪器为4D-Nucleofector系统(Lonza, cat. no. AAF-1001B, AAF-1001X)。
诱导成的hiPSCs细胞在丝裂霉素-C处理过的小鼠胚胎成纤维细胞培养条件下培养(Millipore)。培养基内含Knockout-DMEM/F12, 20% Knockout serum replacement, 1x NEAA, 2 mM GlutaMAX™ I, 0.11 mM 2-mercaptoethanol, 和 10 ng/ml basic fibroblast growth factor (bFGF) (Invitrogen)。细胞用1 mg/ml collagenase IV(Invitrogen)传代。
载体
两种外源性的质粒pEB-C5 和 pEB-Tg用来诱导hiPSCs。pEB-C5质粒能编码五种小鼠的cDNA:包括Oct3/4, Sox2, Klf4, c-Myc和 Lin28。pEB-Tg质粒编码SV40大的抗原。
转染
CD34+细胞共转染两种质粒载体(pEB-C5 和 pEB-Tg),转染系统为4D Nucleofector。每10 6^细胞用100μl P3转染试剂重悬,加入8μg pEB-C5和2μg pEB-Tg。转染程序为E0117。转染结束后,加入细胞因子的预热好的0.5ml培养基加入到电转杯内,轻轻的将电转杯内的细胞吸出转移至12孔板内。终体积为2ml。
hiPSCs的产生
转染之后的细胞在加入了细胞因子的无血清培养基内继续培养2天。收集细胞,离心(200×g,5min)。用MEF培养基(DMEM, 10% FBS, 1x NEAA)重悬细胞并接种到6孔板内。该6孔板预先包被了MEF培养基和动物明胶(Millipore)。24小时后,用hESC培养基(0.25 mM sodium butyrate (NaB) (Stemgent)替换MEF培养基。每隔一天换液一次。一周后,细胞用hESC培养基培养,补充10 ng/ml bFGF 和 NaB。转染后6天即可观察诱导生成的hiPSCs集落。
Lonza诱导成的hiPSCs特征描述
用免疫细胞组化的方法检测诱导成的hiPSCs细胞多潜能标志分子的表达。细胞用4%的多聚甲醛固定,透化后用anti-SSEA4抗体 (Milipore, cat. no. MAB4304), anti-TRA-1-60 抗体[Millipore, cat. no. MAB4360], anti-OCT3/4 抗体 [Abcam, cat. no. 19857] 和anti-NANOG 抗体 [R&D Systems, cat. no. AF1997]进行标记。用Alkaline Phosphatase Kit II (Stemgent, cat. no. 00-0055)检测细胞碱性磷酸酶活性。
用流式细胞仪检测hiPSCs细胞表面标志物的表达。用到的抗体为:mouse anti-human SSEA4-PE(BD, cat. no. 560128), mouse anti-human TRA-1-60-PE (BD, cat. no. 560193) 和mouse anti-human TRA-1-81-PE (BD, cat. no. 560161)。
*Let Professionals Serve Professionals基因有限公司 www.genecompany.com*
免疫细胞化学的方法在体外验证胚状体生成的能力。未分化的hiPSCs用1mg/ml的胶原酶IV分离和培养以形成胚状体。在20%FBS存在下悬浮培养7天,胚状体转移至预报备了动物明胶的板子里面继续分化。分化的细胞维持在含有20%FBS的培养基内,标记三胚层的特异性细胞表达Marker:多克隆rabbit anti-human alpha-1-fetoprotein (AFP) 抗体 (Dako, cat. no. A000829), anti-tubulin beta III 单克隆抗体 (TUJ1) (Millipore, cat. no. MAB1637), 和 mouse anti-actin smooth muscle (SMA) 抗体(Millipore, cat. no. CBL171)。
为了验证外源性的质粒DNA是否存在于hiPSCs, 抽提hiPSCs基因组DNA后,用外源性质粒DNA三对特异性引物进行PCR扩增。基因组DNA的纯化用试剂盒DNeasyR Blood & Tissue Kit (Qiagen, cat. no. 69540Q),引物序列如表1。PCR程序为: 95°3 minutes; 95°30 seconds; 退火 30 seconds; 72°30 seconds; 重复 step 2 到 step 4 共 30次; 72°5 minutes; 4°保持。
通过Cell Line Genetics, Inc. (Madison, WI)对hiPSCs进行染色体核型分析。
表1.PCR引物序列
结果
用4D Nucleofector核转染系统介导外源性的质粒进入脐血CD34+细胞成功诱导其重编程成hiPSCs。
一、Lonza Nuclefector诱导成的hiPSCs能够自我更新,表现出人ESC样的特征
挑选出来的hiPSC被成功的扩增,进一步分析其特征。他们的自我更新能力和菌落状态都跟hESC非常相像(Figure1A)。这些细胞碱性磷酸酶实验阳性(Figure1B)。更重要的是,Lonza诱导成的hiPSCs表达*关键的多潜能标志分子:OCT3/4和NANOG(Figure2)。hiPSCs内源性NANOG的活化表明脐血CD34+细胞成功的重编程。流式细胞仪的分析结果和免疫细胞化学方法的结果均表明典型的hESC相关的表面标志物的存在:SSEA4, TRA-1-60 和 TRA-1-81 (Figure 2、Table 2)。
*Let Professionals Serve Professionals基因有限公司 www.genecompany.com*
Figure1 Lonza诱导成的hiPSCs表现出典型的hESC样的细胞集落
Figure2 Lonza诱导的hiPSCs表达转录因子OCT3/4和NANOG以及多潜能中心标志物SSEA4 和TRA-1-60。细胞固定染色检测NANOG (top, red), OCT3/4 (middle, green), SSEA4 (middle, red) 和 TRA-1-60 (bottom, red)的表达。 DAPI: blue; Scale bar 100 μm。
表2 来自于两组实验的4个hiPSCs细胞系流式检测多潜能标志,平均阳性率为85%以上。
二、Lonza诱导的hiPSCs能分化成代表三胚层的细胞类型
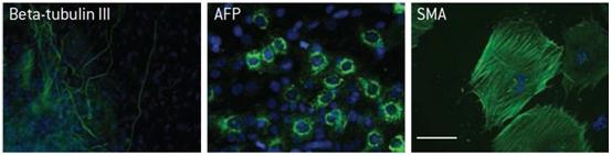
在FBS存在的培养条件下培养14天后,分化的细胞检测神经元特异性的beta-tubulin III, alpha-fetoprotein和 smooth muscle actin的表达。这些蛋白可以代表三胚层形成的特异性的细胞类型。如Figure3所示,Lonza诱导成的hiPSCs能分化成神经元(外胚层),甲胎蛋白阳性细胞(内胚层),平滑肌细胞(中胚层),表现出hESC样的分化潜能。
Figure3 Lonza诱导成的hiPSCs能分化成三胚层的细胞类型。从左到右依次为Beta-tubulin III阳性的神经元(绿色)、AFP阳性细胞(绿色)以及SMA阳性细胞(绿色)。DAPI:蓝色;Scale bar 100μm。
*Let Professionals Serve Professionals基因有限公司 www.genecompany.com*
三、Lonza诱导的hiPSCs维持正常的核型,没有外源性的质粒DNA的残留
对Lonza诱导的四种不同的传代次数的hiPSCs做核型分析,均表现出正常的核型,维持基因组的稳定性。Figure4展示了正常的hiPSCs的核型图。
Figure4 Lonza诱导的hiPSCs维持正常的核型
*开始导入CD34+细胞内的外源性的质粒DNA并没有整合到宿主细胞的基因组,经过多次的传代之后在细胞内逐渐丢失。根据外源性质粒DNA设计了三对特异性引物检测外源性DNA是否在细胞内有残留。从hiPSCs传代次数在5-7不等的细胞收集gDNA, 经过PCR扩增任何有可能残留的外源性DNA片段。PCR结果阴性,未能扩增出任何外源性的DNA片段,证实了在稳定的hiPSCs细胞内的确没有外源性DNA的残留(Figure5)。
Figure5 Lonza诱导的hiPSCs无外源性的DNA残留。收集三个hiPSCs细胞系的gDNA, 转染2天后收集pEB-c5-transfected CD34+细胞。用三对PCR引物进行扩增(EBNA1, Tg, SK),actin 作为阳性对照。来自hiPSCs的细胞未扩增出外源性的DNA片段。从左到右PCR模板依次为hiPSCs gDNA, 水作为阴性对照, hESC H1的gDNA, pEB-c5,pEB-Tg, 共转染了pEB-C5和Tg的CD34+细胞的gDNA。
*Let Professionals Serve Professionals基因有限公司 www.genecompany.com*
结论
我们成功的将5种转录因子的基因和SV40 Large T抗原转入脐血CD34+细胞,成功的诱导其重编程,成为hiPSCs。在这里我们用了Lonza的Nucleofector成功高效的将外源性的质粒导入细胞,Lonza诱导成的hiPSCs具有与hESC相似的特征,包括自我更新能力,hESC相关的表面标志物的表达,碱性磷酸酶活性阳性,以及关键的几种多潜能标志物的表达。这些细胞维持了正常的核型并能有效的分化成细胞的三胚层。在细胞内检测不到外源性的DNA片段的残留,由此证明了通过一种“zero foot print”方式诱导体细胞重编程成功。