
-
生物通官微
陪你抓住生命科技
跳动的脉搏
Nature子刊:诱发糖尿病的基因可以像变阻器一样被调节
【字体: 大 中 小 】 时间:2022年10月31日 来源:Nature Cell Biology
编辑推荐:
基因组调控中心(CRG)和伦敦帝国理工学院的研究人员发现了一种调节HNF1A活性的开关,HNF1A是一种导致糖尿病的基因。这项研究强调了这种疾病潜在的新弱点,并可能导致新的治疗策略的发展。该开关控制着一种非编码RNA的产生,这种RNA占细胞内合成RNA的绝大多数。尽管非编码rna以前在研究中被忽视,但这项研究表明,新的见解正在改变我们对它们在人类疾病中作用的理解。
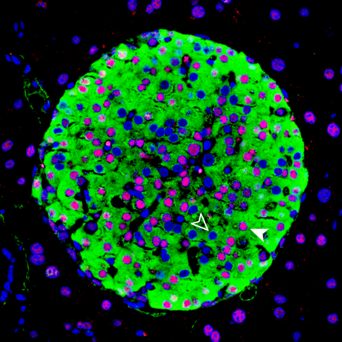
图示:小鼠胰岛的图像,胰岛是胰腺中含有分泌胰岛素的β细胞的区域。这只老鼠体内的HASTER调节元件被敲除,导致β细胞功能发生变化,从而导致糖尿病。
图片来源:Miguel A Garriga/CRG
基因组调控中心(CRG)和伦敦帝国理工学院的研究人员发现了一种调节导致糖尿病的基因活动的开关。研究结果发表在自然细胞生物学,指出了疾病中潜在的新弱点,并可能导致新的治疗策略的发展。
HNF1A是一种为制造一种叫做肝细胞核因子-1 α的蛋白质提供指令的基因。这种蛋白质在许多组织中都有表达,但对胰腺尤其重要,它在胰腺β细胞的发育中发挥着作用。β细胞产生调节血糖水平的激素胰岛素。
HNF1A的突变会导致细胞产生一种不能正常工作的蛋白质,进而影响β细胞的功能。这导致一些人患上了一种被称为“年轻人成熟型糖尿病”的疾病,在30岁之前就会出现高血糖等症状。
虽然这种疾病只占所有类型糖尿病的1%,但由于糖尿病在全球人口中患病率很高(5-10%),它的绝对数量很高。众所周知,与其他遗传和非遗传因素一起,HNF1A在更常见的2型糖尿病的易感性方面也发挥着关键作用。
了解β细胞中HNF1A基因是如何被打开或关闭的,对于理解为什么该基因缺陷会导致糖尿病,或者如何利用它来纠正潜在的问题,可能具有重要的意义。通过结合小鼠和人类模型,研究人员现在将注意力集中在HNF1A附近基因组的一个神秘部分上,该部分具有以前从未被描述过的独特功能。这种DNA调节元件就像变阻器一样工作;如果HNF1A基因转录太多,它就会降低转录,如果基因转录松弛,它就会恢复转录。?
CRG高级研究员、CIBERDEM小组组长Jorge Ferrer解释说:“我们将其命名为稳定剂,与其他DNA调控元素如增强子、启动子和沉默子形成对比,并将这种特殊的元素称为HASTER,即HNF1A稳定剂。”
细胞内合成的绝大多数RNA分子并不编码蛋白质。HASTER控制着一类被称为长链非编码RNA (lncRNAS)的RNA分子的产生。“这很有趣,因为人类基因组中有成千上万个lncRNAS,其中大多数没有已知的功能。很可能在我们的基因组中有许多lncrna具有与HASTER相似的功能。如果是这样,它们可能在人类疾病中发挥重要作用,”该研究的第一作者安东尼·博彻博士说。
研究人员发现,HASTER基因突变会导致小鼠患糖尿病。“这很重要,因为它证明了这种类型的元素是极其重要的,删除HASTER的后果与删除HNF1A本身相当。HASTER可能是一种有效的处理HNF1A的方法。”Ferrer博士说。
这项研究是一个例子,说明研究基因组中的非蛋白编码序列可以产生理解和治疗疾病的新方法。只有1-2%的人类基因组由蛋白质编码序列组成。其余的“暗物质”被认为包括成千上万个调节基因表达的区域。
研究人员发现,改变基因调控元件(如HASTER)的功能可以极大地改变细胞功能,就像破坏基因本身一样,这为未来探索非蛋白编码序列在促进疾病中的作用铺平了道路。
“人类基因组中用于调节基因的空间比用于基因本身的空间多得多。在这项研究中,我们只通过实验验证了一个区域来确定其功能。这很可能只是冰山一角,”费勒博士总结道。
生物通微信公众号
知名企业招聘