
-
生物通官微
陪你抓住生命科技
跳动的脉搏
用衰老细胞接种疫苗可以显著减少肿瘤的发展
【字体: 大 中 小 】 时间:2022年11月05日 来源:Cancer Discovery
编辑推荐:
巴塞罗那IRB的研究人员报告称,肿瘤细胞的衰老诱导强烈刺激了免疫系统。在黑素瘤和胰腺癌的实验模型中,用衰老细胞接种疫苗可以显著减少肿瘤的发展。这项研究发表在《癌症发现》杂志上。
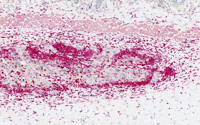
图片:免疫细胞浸润(深红色)在衰老的癌细胞(大细胞核用蓝色标记)周围。
巴塞罗那IRB的研究人员报告说,诱导肿瘤细胞衰老强烈刺激免疫系统。
在黑素瘤和胰腺癌的实验模型中,用衰老细胞接种疫苗可以显著减少肿瘤的发展。
这项研究已经发表在杂志上癌症的发现.
癌细胞有一系列的特征,使免疫系统能够识别并攻击它们。然而,这些相同的细胞创造了一个环境,阻止免疫细胞和保护肿瘤。这意味着免疫细胞无法到达癌细胞清除它们。多年来,科学界一直致力于通过使用基于死亡肿瘤细胞的疫苗来提高免疫系统对抗癌症的有效性。
由ICREA研究员Manuel Serrano博士和现任职于瑞典卡罗林斯卡研究所的Federico Pietrocola博士领导的巴塞罗那IRB的科学家们,已经研究了诱导癌细胞衰老如何在比死亡癌细胞更大程度上提高免疫反应的有效性。在用衰老的癌细胞给健康的老鼠接种疫苗,然后刺激肿瘤的形成后,研究人员观察到,这些动物没有患癌症,而且患癌症的数量显著减少。他们还分析了接种疫苗对已经发生肿瘤的动物的效果。在这种情况下,尽管由于肿瘤的保护屏障,结果较为温和,但也观察到改善。
巴塞罗那IRB细胞可塑性和疾病实验室主任Serrano博士解释说:“我们的研究结果表明,衰老细胞是刺激免疫系统对抗癌症的首选选择,它们为考虑用这些细胞接种疫苗作为一种可能的治疗方法铺平了道路。”
研究人员在黑色素瘤的动物模型中测试了这项技术,黑色素瘤是一种以免疫系统高度激活为特征的癌症,在胰腺癌模型中也测试了这项技术,胰腺癌对免疫细胞产生了强大的屏障。衰老癌细胞的预防性接种治疗对这两种类型的肿瘤都有效。他们还用癌症患者的肿瘤样本作为研究的补充,并证实,当人类癌细胞之前被渲染为衰老时,它们也有更大的能力激活免疫系统。
该小组目前正在研究免疫接种与衰老细胞和免疫治疗的联合效果。
衰老及其激活免疫系统的能力
衰老是受损或衰老的细胞所达到的一种延迟状态,在这种状态下,它们既不繁殖也不消失。衰老细胞向周围环境发出信息信号,警告它们的存在,刺激炎症反应和组织再生。
在癌症领域,Serrano博士领导的研究人员发现,由于衰老细胞的特性,它们是激活免疫系统并提高其对肿瘤反应的良好选择。一方面,因为衰老细胞是活细胞,所以它们在人体内停留的时间比死细胞长,因此能够更长时间地刺激免疫系统。另一方面,由于这些细胞不分裂,它们不能再生肿瘤。
“我们的研究得出的结论是,诱导肿瘤细胞衰老提高了免疫系统对这些细胞的识别能力,也增加了它们产生的反应强度。所以我们的发现是非常积极的,”来自同一实验室的博士生、该研究的第一作者Inés Marín解释说。
在本研究中观察到,衰老细胞呈现独特的信号,这些信号通过免疫系统的激活和刺激识别,不同于诱导衰老前细胞所呈现的信号。
一个平行发现
简而言之,MSKCC的工作开始于描述诱导肿瘤细胞衰老如何改变介导肿瘤和免疫系统之间通信的分子程序。到目前为止,大多数研究都集中在衰老细胞向周围环境“发送”炎症信号的能力上。我们的研究表明这种交流是双向的,揭示了衰老增加了细胞从环境中“接收”信号的能力,激活了细胞毒性T细胞识别和破坏它们的关键途径,”Alonso-Curbelo博士解释道。
这项研究表明,通过诱导衰老而增强的“接收”环境信号的能力,放大了干扰素等信号的抗肿瘤作用,使免疫系统更容易看到肿瘤细胞,并重新激活肝癌模型中的抗肿瘤免疫。
其他与衰老有关的疾病和衰老细胞普遍存在的疾病,如动脉粥样硬化,也可以从含有衰老细胞的疫苗中受益。在这方面,IRB巴塞罗那的科学家还报告说,衰老细胞可能会被免疫细胞错误地识别,就好像它们是外来细胞一样。这些发现与其他研究细胞受到压力的研究人员报告的结果一致,这些细胞也可能被误认为是外来细胞。
Cellular senescence is immunogenic and promotes anti-tumor immunity