
-
生物通官微
陪你抓住生命科技
跳动的脉搏
类固醇注射会加重膝关节炎
【字体: 大 中 小 】 时间:2022年12月01日 来源:
编辑推荐:
两项比较常用的用于缓解膝骨关节炎疼痛的注射的研究发现,皮质类固醇注射与疾病的进展有关。这两项研究的结果在今天的北美放射学会(RSNA)年会上发表。
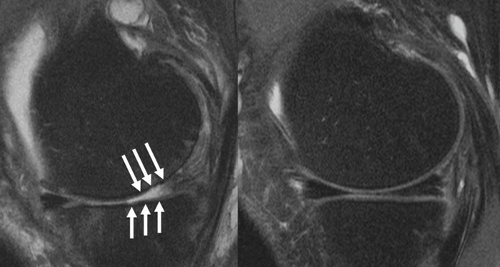
图片:患者的膝关节(a)显示严重的软骨缺损和(B)完整的膝关节。
图片来源:RSNA和Upasana Upadhyay Bharadwaj医学博士
两项比较常用的用于缓解膝骨关节炎疼痛的注射的研究发现,皮质类固醇注射与疾病的进展有关。这两项研究的结果在今天的北美放射学会(RSNA)年会上发表。
骨关节炎是最常见的关节炎形式,在美国影响3250万成年人。膝骨关节炎是一种慢性、退行性和进行性疾病,估计每年有80万患者。超过10%的膝骨关节炎患者寻求无创治疗,通过皮质类固醇或透明质酸注射来缓解疼痛。
这两项研究的研究人员都选择了来自骨关节炎计划(Osteoarthritis Initiative)的队列,这是一项多中心、纵向、观察性研究,对近5000名膝骨关节炎患者进行了14年的随访。
在第一项研究中,加州大学旧金山分校的研究人员包括210名骨关节炎项目的参与者,其中70人接受了关节内注射,而对照组的140人在两年的时间里没有接受注射。在接受注射的70例患者中,44例注射了皮质类固醇,26例注射了透明质酸。治疗组和对照组的年龄、性别、体重指数、疼痛和身体活动评分以及疾病严重程度相匹配。
对所有患者在注射时及注射前后两年进行MRI检查。使用全器官磁共振成像评分(WORMS)对MRI扫描进行评估,这是膝骨关节炎的分级系统,重点关注半月板、骨髓病变、软骨、关节积液和韧带。研究人员通过比较最初扫描和两年随访扫描的成像分数来确定骨关节炎的进展。
加州大学旧金山分校放射学系的研究员Upasana Upadhyay Bharadwaj医学博士说:“这是第一次使用半定量的、用MRI对膝关节的全器官评估来直接比较皮质类固醇和透明质酸注射。”
统计分析显示,皮质类固醇膝关节注射与膝关节骨关节炎的总体进展显著相关,特别是外侧半月板、外侧软骨和内侧软骨。
膝关节注射玻尿酸与膝关节骨关节炎的进展无显著相关性。与对照组相比,接受透明质酸注射的组表现出骨关节炎进展的减缓,特别是在骨髓病变方面。
Upadhyay Bharadwaj博士说:“虽然有报道称皮质类固醇和透明质酸注射都有助于缓解膝骨关节炎的症状性疼痛,但我们的研究结果最终表明,皮质类固醇与膝骨关节炎的显著进展相关,直到注射后两年,必须谨慎使用。”“另一方面,透明质酸可能减缓膝骨关节炎的进展,缓解长期影响,同时提供症状缓解。”
在第二项研究中,芝加哥罗莎琳·富兰克林医学与科学大学医学院的研究人员进行了一项病例对照研究,比较了接受皮质类固醇和透明质酸注射的骨关节炎患者的放射学进展。
研究人员、医科学生Azad Darbandi说:“虽然这些注射给一些患者提供了短期的疼痛缓解,但注射对疾病进展的影响尚不清楚。”
Darbandi的团队从骨关节炎项目数据库中选择了150名基线特征相似的患者,包括50名接受皮质类固醇注射的患者,50名接受透明质酸注射的患者,以及50名在36个月的时间内未接受注射的患者。研究小组根据性别、体重指数和x光检查结果进行匹配。
患者在基线和两年后接受膝关节x线成像检查。研究人员分析了x射线成像,包括关节间隙狭窄、骨刺形成和膝关节软骨周围的骨增厚。
与接受透明质酸注射或不接受任何治疗的患者相比,注射皮质类固醇的患者骨关节炎进展明显更严重,包括内侧关节间隙狭窄,这是该疾病的一个标志。
Darbandi说:“尽管所有患者的成像结果在基线时是相似的,但与接受透明质酸注射或根本不接受治疗的患者相比,接受皮质类固醇注射的患者两年后骨关节炎的影像学特征更糟。”“结果表明,透明质酸注射应进一步探索用于膝骨关节炎症状的管理,而类固醇注射应更谨慎地使用。”
Upadhyay Bharadwaj博士补充说:“了解这些注射的长期影响将有助于骨关节炎患者和临床医生在管理疾病和它引起的疼痛方面做出更明智的决定。”