
-
生物通官微
陪你抓住生命科技
跳动的脉搏
B细胞的活性对动脉粥样硬化有什么影响?
【字体: 大 中 小 】 时间:2022年12月01日 来源:Nature Cardiovascular Research
编辑推荐:
LMU的研究人员已经发现了一种参与调节免疫细胞的蛋白质,可以抑制动脉粥样硬化的发展。他们的研究发表在《Nature Cardiovascular Research》上。

LMU的研究人员已经发现了一种参与调节免疫细胞的蛋白质,可以抑制动脉粥样硬化的发展。他们的研究发表在《Nature Cardiovascular Research》上。
与动脉粥样硬化相关的心血管疾病是全球死亡的主要原因。在患者体内,胆固醇酯和其他脂肪沉积在动脉内壁。这就导致了斑块的形成,它会强烈地限制血液的流动,从而损害器官的氧气供应。研究人员早就知道慢性炎症过程发生在动脉粥样硬化中。
一种被称为B细胞的白细胞似乎在适应性免疫反应中发挥着重要作用。B细胞通过抗体介质具有保护和破坏作用。换句话说,它们可以促进或抑制动脉粥样硬化。但是身体究竟是如何调节这些过程的呢?
由心血管预防研究所(IPEK)的Sabine Steffens教授领导的研究人员现在已经确定了一种蛋白质,它在控制动脉粥样硬化的适应性免疫反应中起着至关重要的作用。科学家们认为这种蛋白质可能适合作为创新疗法的靶点。
B细胞在动脉粥样硬化中的作用
“我们希望更好地了解B细胞是如何影响动脉粥样硬化疾病的,我们的长期目标是开发以B细胞为中心的新型疗法来治疗这种危及生命的疾病,”Steffens在概述她的研究项目目标时说。她对受体GPR55特别感兴趣,它能将化学信号从细胞外部传递到细胞内部。
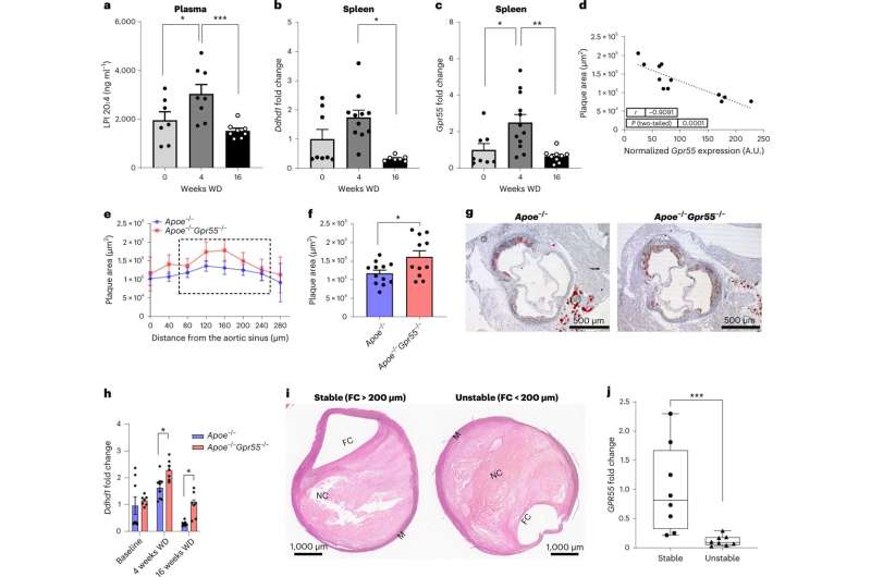
小鼠脾脏中的B细胞大量产生这种分子。在他们的研究中,科学家们调查了动脉硬化的小鼠模型。如果小鼠接受了触发动脉粥样硬化的特殊食物,受体在一个月后就会上调,也就是说,在疾病的早期阶段。与野生型相比,无法产生GPR55的小鼠出现了更大的动脉粥样硬化斑块。在这些小鼠中,B细胞在没有GPR55的情况下过度激活,炎症过程相应地促进。
当研究人员调查人类动脉粥样硬化斑块时,他们发现,与稳定斑块相比,不稳定斑块中引发中风的风险较高的受体较少。Steffens报告说:“这一发现表明,这种蛋白质的表达在疾病的过程中会发生变化。”
Steffens说:“我们的研究结果指出了B细胞GPR55信号通路在动脉粥样硬化中的保护作用,这与人类病理生理学有潜在的相关性。”她希望“GPR55能成为新疗法的起点。”小分子能否成功部署作为活性成分刺激GPR55的形成,还有待进一步的研究来确定。