
-
生物通官微
陪你抓住生命科技
跳动的脉搏
Science子刊封面:埃博拉病毒可以隐藏在大脑中,治疗后甚至持续感染数年
【字体: 大 中 小 】 时间:2022年02月11日 来源:Science Translational Medicine
编辑推荐:
USAMRIID的团队,由Xiankun (Kevin) Zeng博士领导,使用一种非人灵长类动物模型来研究新的治疗策略与埃博拉病毒持久性和疾病幸存者在使用标准护理治疗性抗体治疗后的长期结果之间的关系。我们的研究揭示了埃博拉病毒在脑内的潜伏位置和反复出现的埃博拉病毒相关疾病的潜在病理。我们的研究结果还指出,需要对埃博拉病毒疾病幸存者,包括接受治疗性抗体治疗的幸存者进行长期随访,以防止疾病复发,从而降低疾病再次出现的风险,并有助于防止患者受到进一步的污名化。
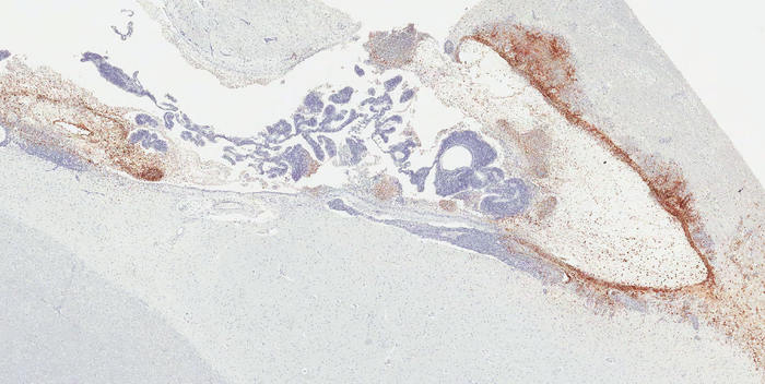
图片:埃博拉病毒(棕色)在一只恒河猴脑室系统和邻近神经系统中复发,这只恒河猴在感染埃博拉病毒后使用单克隆抗体治疗后存活下来。(细胞核反染成蓝色。)
在一项突破性研究中,科学家描述了埃博拉病毒是如何在体内某些部位持续存在的,即使在使用单克隆抗体治疗很长一段时间后,仍能重新出现并导致致命的疾病。他们的研究使用了埃博拉病毒感染的非人灵长类动物模型,该研究发表在今天的《科学转化医学》(Science Translational Medicine)杂志的封面上。
这篇论文的主要作者Xiankun (Kevin) Zeng博士说,最近在非洲爆发的一些埃博拉病毒疾病与以前爆发后存活下来的患者的持续感染有关。几内亚于2021年爆发的埃博拉病毒疾病,再次出现在至少5年前爆发的上一次重大疫情的一名持续感染幸存者身上。然而,埃博拉病毒持续存在的确切“隐藏位置”以及幸存者(特别是那些使用标准护理单克隆抗体治疗的患者)随后复发或复发疾病的潜在病理,在很大程度上是未知的。因此,Zeng和他在美国陆军传染病医学研究所的团队使用了一种非人灵长类动物模型来解决这些问题,这种模型最接近于埃博拉病毒在人类中的再现。
Zeng解释说:“我们的研究首次揭示了埃博拉病毒在大脑中的隐藏位置,以及在非人灵长类动物模型中导致随后致命的复发性埃博拉病毒相关疾病的病理。”“我们发现,在接受单克隆抗体疗法治疗后,在致命的埃博拉病毒暴露下存活下来的猴子中,约有20%的猴子仍然存在持续的埃博拉病毒感染——特别是在脑室系统,脑脊液在该系统中产生和循环,甚至当埃博拉病毒从所有其他器官中被清除时。”
特别值得一提的是,有两只猴子在接受抗体疗法治疗后,从埃博拉病毒相关疾病中恢复过来,但出现了埃博拉病毒感染的严重临床症状,最终死亡。脑室系统出现严重炎症和大量埃博拉病毒感染;其他脏器未见明显病理及病毒感染。
据这组作者说,埃博拉病毒疾病的人类幸存者曾出现过复发。例如,一名英国护士经历了埃博拉病毒在大脑中的复发,在从严重的埃博拉病毒疾病康复9个月后患上了脑膜脑炎。她在2013-2016年西非疫情期间接受了治疗性抗体,这是迄今为止规模最大的此类疫情。此外,一名6个月前曾接受埃博拉病毒病单克隆抗体疗法治疗的接种患者复发,并于2018-2020年刚果民主共和国疫情结束时死亡。不幸的是,该病例还导致了许多随后的人与人之间的传播。
在过去的几年里,曾庆红在美国医学科学院的团队以非人灵长类幸存者为模型,对埃博拉病毒的持久性进行了系统的研究。该研究表明,尽管病毒已经从其他器官中被清除,但它仍能隐藏并存在于免疫特权器官的特定区域,如眼睛的玻璃体室、睾丸的输精管和本研究报告中提到的大脑心室系统。
“持续的埃博拉病毒可能会在幸存者中重新激活并导致疾病复发,有可能导致新的爆发,”美国医学科学院医学研究所的刘军博士说。
埃博拉病毒是人类已知最致命的传染病之一。它仍然是非洲的一个主要威胁,根据世界卫生组织(World Health Organization)的数据,仅在2021年,非洲就爆发了三次疫情。近年来,通过全球研究努力,监管部门批准了预防和治疗埃博拉病毒疾病的两种疫苗和两种单克隆抗体疗法。这些疗法现在是治疗感染病人的标准方案的一部分。
“幸运的是,有了这些被批准的疫苗和单克隆抗体疗法,我们在控制疫情方面处于更有利的位置,然而,我们的研究强调了对埃博拉病毒疾病幸存者进行长期随访的必要性,甚至包括接受治疗性抗体治疗的幸存者,以防止复发。这将有助于减少疾病再次出现的风险,同时也有助于防止对患者的进一步污名化。”
参考文献:
Ebola Virus Persistence and Disease Recrudescence in the Brains of Antibody-Treated Nonhuman Primate Survivors. Liu et al., Sci. Transl. Med.14, eabi5229 (2022) 9 February 2022.