
-
生物通官微
陪你抓住生命科技
跳动的脉搏
Anti-Müllerian激素可能导致多囊卵巢综合征不孕
【字体: 大 中 小 】 时间:2022年03月11日 来源:Science Advances
编辑推荐:
她们血液中的抗苗勒氏管激素水平较高(抗苗勒氏管激素)传统上被认为是仅仅是一个被动的副产品多囊卵巢综合征(PCOS),但新威尔康奈尔医学的临床前研究人员表明,激素起着积极作用的障碍和可能导致排卵和生育的问题。
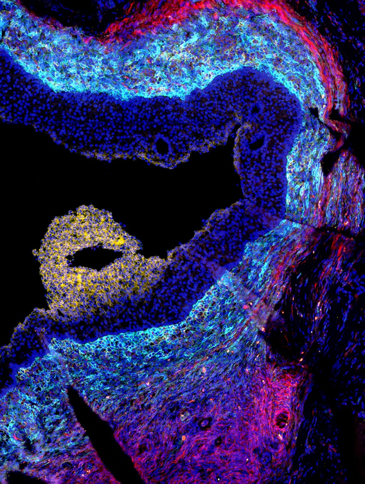
图像:处于前房生长阶段的卵泡图像,突出显示了多种相关细胞类型。卵母细胞包含在构成卵丘-卵母细胞复合体的细胞中(黄色);青色标志着介导生长卵泡代谢的内膜细胞;红色表示一般卵巢基质细胞;所有的原子核都是深蓝色的。
她们血液中的抗苗勒氏管激素水平较高(抗苗勒氏管激素)传统上被认为是仅仅是一个被动的副产品多囊卵巢综合征(PCOS),但新威尔康奈尔医学的临床前研究人员表明,激素起着积极作用的障碍和可能导致排卵和生育的问题。
在3月9日发表在《科学进展》(Science Advances)杂志上的这项研究中,研究人员发现AMH可能会导致卵泡(卵巢中包含正在发育的卵子的多细胞、充满液体的囊)过早成熟。
AMH在临床中被常规测量,以显示女性卵巢中生长了多少卵泡,而这一数值在多囊卵巢综合征患者中通常较高。但还没有人确定高水平的抗苗激素本身是否会产生负面影响,”资深作者戴伦·詹姆斯博士说,他是威尔·康奈尔医学院妇产科和生殖医学干细胞生物学的助理教授。“更好地了解多囊卵巢综合征的根本原因,对于减轻这种疾病的许多健康后果至关重要。”
发育中的卵子,称为卵母细胞,在卵巢的卵泡中产生,支持它们的生长。随着卵泡的生长,卵泡内的卵子逐渐成熟,在正常的生殖周期中,卵泡最终经历排卵,释放出一个能够受精的卵子。然而,多囊卵巢综合征(PCOS)是一种激素紊乱,影响10%的女性,患者的卵巢含有大量能产生AMH的较小卵泡,但不能发展到后期排卵。
詹姆斯博士说,虽然生育治疗可以帮助受孕,但多囊卵巢综合征的女性要应对各种其他症状。例如,多囊卵巢综合征通常伴有高雄激素血症,或激素水平高,如睾丸素,统称雄激素。这些激素的过量会导致一系列的继发性并发症,包括身体和面部毛发的多余生长。患有多囊卵巢综合征的女性也容易患糖尿病和代谢疾病,更容易患子宫内膜癌。
詹姆斯博士和他的研究团队假设AMH至少直接导致了与该疾病相关的一些症状。为了分离AMH的作用,研究人员使用了一种异种移植系统,将来自人类器官捐赠者的卵巢组织移植到免疫缺陷小鼠的侧面。一组小鼠与持续向移植组织提供抗苗h的细胞一起移植,另一组小鼠与不含抗苗h的对照组细胞一起移植。
“我们现在拥有的是一个独特的机会,从相同的人体捐赠者身上提取组织,并将其分配给两个实验组——有AMH的组和没有AMH的组,”第一作者,妇产科学和生殖医学研究助理教授,刘鸿庆妇产科学研究学者曼利莫博士说。“这实际上是你在这类实验中所能期望的最好的控制。”
她说,相比之下,在临床研究中,当研究人员将多囊卵巢综合征患者与没有这种疾病的患者进行比较时,必须考虑到多种影响因素,如遗传易感和不同水平的生殖激素。
研究人员发现,暴露于高抗苗激素的卵巢组织中含有的卵泡在发育的后期表现出明显的特征。具体来说,卵泡正在经历黄体化,在任何卵母细胞准备好之前,这个过程会立即导致排卵。
“AMH导致卵泡和它的固有卵母细胞之间通常协调的生长过程不同步,”詹姆斯博士说,他也是妇产科奎妮·维多利亚·内里研究学者和威尔·康奈尔医学院(Weill Cornell medicine)遗传医学助理教授。“这就像用太热的烤箱烘烤一样,”他说。“卵泡的外部或细胞成分煮过头了,而内部或卵母细胞却没有煮熟。”
曼博士说:“根据超声波显示卵巢中持续存在多个小卵泡,多囊卵巢综合征女性的不育被归因于生长停滞和由此导致的卵子成熟失败。”“但最近的数据表明,这些患者的“停滞”的卵泡实际上是新生长但流产的卵泡的稳定流。”
这项新研究提出了修正的解释,认为PCOS卵巢中持续排列的小卵泡代表了一个连续的卵泡快速成熟和排卵失败。
考虑到多囊卵巢综合征的广泛流行,导致其出现的因素仍然缺乏了解。虽然有针对疾病个别方面的治疗方法,但这种疾病在妇女生殖寿命结束之前很少消退。一种新的amh驱动的滤泡发育失败机制的鉴定表明,它可能与PCOS疾病症状的这一或其他方面有关。
“通过进一步的研究,我们希望开发出针对AMH效果的药物治疗,这可能有助于恢复多囊卵巢综合征女性的月经周期,并控制该疾病的其他症状,”詹姆斯博士说。