
-
生物通官微
陪你抓住生命科技
跳动的脉搏
AI提供准确的乳腺密度分类
【字体: 大 中 小 】 时间:2022年03月21日 来源:Radiology Artificial Intelligence
编辑推荐:
一项新的研究表明,一种人工智能(AI)工具可以准确且一致地对乳房x光片上的乳腺密度进行分类。
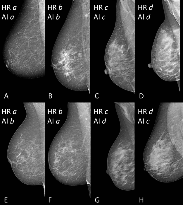
影像:51 - 68岁女性不同乳腺密度的乳房x线中外侧斜位片的选择。(a - d) a类(68年)、b类(66年)、c类(51年)、d类(54年)人类读者(HR)-(AI)协议的例子;图示乳腺良性肿块。(E-H) HR-AI分歧的例子;E按HR分类为a, AI分类为b(67年);F被HR分类为b,被AI分类为a(68年);G按HR分类为c, AI分类为d(55岁);HR为d, AI为c(52年)。注:乳腺影像报告和数据系统(BI-RADS): a类(几乎全脂肪),b类(散在纤维腺),c类(不均匀致密),d类(极致密)。
资料来源:北美放射学会
根据《放射学:人工智能》(Radiology: artificial intelligence)上的一项研究,一种人工智能(AI)工具可以准确、一致地对乳房x线照片上的乳腺密度进行分类。
乳腺密度反映了乳腺纤维腺组织的数量,在乳房x光片上常见。高乳腺密度是一个独立的乳腺癌危险因素,其对潜在病变的掩蔽作用降低了乳房x线照射的敏感性。因此,美国许多州都有法律规定,乳房密度高的女性在接受乳房x光检查后必须通知她们,以便她们可以选择接受补充检查,以提高癌症检测水平。
在临床实践中,乳腺密度是通过双视图乳房x光片进行目视评估的,最常用的是美国放射学会乳房成像报告和数据系统(BI-RADS)的四类量表,从A类(几乎全是脂肪的乳房)到D类(密度极高的乳房)。该系统存在局限性,视觉分类容易出现观察者之间的差异,即两个或多个人之间的评估差异,以及观察者内部的差异,即同一个人重复评估时出现的差异。
为了克服这种可变性,意大利的研究人员开发了一种用于乳腺密度分类的软件,该软件基于一种名为深度学习的复杂类型的人工智能,它具有卷积神经网络,这种复杂类型的人工智能能够识别出人眼无法识别的图像中的微妙模式。研究人员在7名经验丰富的放射科医生的监督下,对名为TRACE4BDensity的软件进行了培训,这些放射科医生独立地对760张乳房x线照片进行了视觉评估。
该工具的外部验证是由三名最接近共识的放射科医生对从不同中心获得的384张乳房x线照片数据集进行的。
TRACE4BDensity在区分低密度(BI-RADS A类和B类)和高密度(BI-RADS C类和D类)乳腺组织方面显示了89%的准确率,工具和三个阅读器之间的一致性为90%。所有分歧都是在相邻的BI-RADS类别上。
该研究的合著者Sergio Papa医学博士说:“该工具的特殊价值在于,它有可能克服视觉人体密度分类的次优再现性,这限制了它的实际可用性。”Sergio Papa来自意大利米兰的Centro diagnostics Italiano。“拥有一个强大的工具,以一种标准化的方式提出密度分配,可能会对决策有很大帮助。”
研究人员说,随着乳腺癌筛查变得更加个性化,这种工具将特别有价值,密度评估是风险分层的一个重要因素。
“TRACE4BDensity这样的工具可以帮助我们建议乳腺密度高的女性,在阴性乳房x光检查后,用超声波、MRI或对比度增强乳房x光检查进行补充筛查,”研究合著者Francesco Sardanelli医学博士说,他来自意大利圣多纳托的IRCCS pollinico San Donato。
研究人员计划进行更多的研究,以更好地了解该软件的全部功能。
“我们希望进一步评估人工智能工具TRACE4BDensity,特别是在女性密度法规不活跃的国家,通过评估该工具对放射科医生和患者的有用性,”该研究的共同作者克里斯蒂安·塞尔瓦托博士说,他是帕维亚大学高级研究学院的高级研究员,也是DeepTrace技术公司的联合创始人兼首席执行官。