
-
生物通官微
陪你抓住生命科技
跳动的脉搏
宏基因组与样本制备二三事
【字体: 大 中 小 】 时间:2022年04月29日 来源:
编辑推荐:
在宏基因组研究过程中,由于微生物样品种类繁多,进行取样时很难得到均一化样本,所获样本并不能直接反映目标样本整体微生物种类以及丰度的情况,同时也很难有统一的样品提取流程,因而如何在复杂样本中提取到高质量微生物核酸是影响后续分析的关键因素。
1.宏基因组的研究困扰
宏基因组测序是对环境样品中全部微生物的总DNA进行高通量测序,主要研究微生物种群结构、基因功能活性、微生物之间的相互协作关系以及微生物与环境之间的关系。
在宏基因组研究过程中,由于微生物样品种类繁多,可以来自人肠道,山川,河流,土壤,粪便等,进行取样时很难得到均一化样本,所获样本并不能直接反映目标样本整体微生物种类以及丰度的情况,同时也很难有统一的样品提取流程,因而,如何在复杂样本中提取到高质量微生物核酸是影响后续分析的关键因素。
2.Covaris为您解忧
Covaris冷冻粉碎仪
CryoPrep™ CP02 冷冻粉碎仪, 只需20毫秒,帮您轻松解决样本制备的难题。
系统包括一个样品处理袋和一个微处理器控制的平行打击力设备,该设备利用可控的机械打击力快速地击碎封闭样品袋中冰冻的组织样品。粉粹过程仅需20毫秒,且无交叉污染,无雾性损耗。
3.均一化的样本制备策略
来自格赖夫斯瓦尔德大学微生物研究所的Laurin Christopher Gierse研究团队发表了一篇题为《Influenza A H1N1 Induced Disturbance of the Respiratory andFecal Microbiome of German Landrace Pigs - a Multi-Omics Characterization》的文章,利用猪粪便研究甲型流感病毒感染期间微生物组组成和功能的变化。
在该研究中,作者首先面临的问题就是样本制备:如何在无污染的情况下获得均质化的猪粪便样本,分别进行宏基因组、蛋白组、代谢组的研究?
作者选择了CryoPrep™CP02,采用非接触方式,低温粉碎了1g猪粪便,随后各取100mg用作下游不同的组学表征。作者发现在甲型流感病毒感染后,胃肠道微生物组的微生物丰富度和多样性发生显着改变。检测到普氏菌科的丰度增加,而梭菌科和毛螺菌科的丰度降低。
同样是来自德国的Sten Calvelage研究团队也借助CryoPrep™CP02冲破了样本制备的桎梏。研究者通过高通量测序技术,确定了在蝙蝠身上新发现的KBLV病毒属于狂犬样病毒属。KBLV病毒在小鼠脑内进行接种繁育,在病毒离体分离失败后,作者意图通过直接使用脑组织代替从体内分离的病毒作为样本进行病毒核酸提取并测序。
大脑是具有高度异质性的组织,如何保证样本的均一性,在进行高通量测序的同时仍能用同一样本进行分子验证。同时由于大脑样本量有限,如何将制样过程中的损耗降到最低也是作者面临的考验。
Sten Calvelage的研究团队决定使用CryoPrep™CP02来进行样本制备。作者将得到的脑组织装在TT1样品袋中,通过CryoPrep™ CP02进行粉碎,高度粉末化的样本,轻松解决了样本均一化的问题。随后作者用部分粉末状样本进行核酸提取,后使用Covaris M220进行核酸片段化,通过测序以及系统发育分析,最终确定了KBLV病毒属于狂犬样病毒属。
通过以上两个案例我们可以看到无论是面对猪粪便这样具有污染性的样本,还是面对样本量有限的被病毒感染后的小鼠大脑,CryoPrep™ CP02都可以做到全程封闭,无污染低损耗的样本前处理,进而得到均一化的样本。
4.高质量的核酸提取
来自德国诊断病毒研究所的Claudia Wylezich研究团队发表在scientific repots上的研究成果,为研究宏基因组的科研人员提供了一种对所有病原体组同样成功和有效的通用方法。
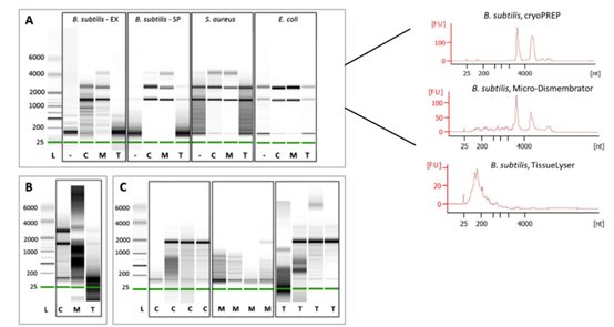
文中作者使用了三种样本裂解方法分别处理四种细菌菌液(B. subtilis–EX,枯草芽孢杆菌;B. subtilis – SP,枯草芽孢杆菌内孢子;金黄色葡萄球菌,大肠杆菌)、猪粪便的样本以及蠓并提取RNA,使用安捷伦2100片段分析仪对RNA 质控结果如图1所示:使用CryoPrep™系统、冷冻研磨以及TissueLyser分别处理四种菌液,CryoPrep™或冷冻研磨可以观察到清晰的核糖体RNA小亚基和大亚基条带,RNA 质量较高,枯草芽孢杆菌中CryoPrep™系统得到的RNA降解最少(图1A);对于猪粪便样本来说,无论是使用冷冻研磨还是TissueLyser,都会造成核酸的降解,CryoPrep™系统处理,RNA基本无降解(图1B);以蠓为样本提取的核酸,CryoPrep™和TissueLyser表现最佳,核酸的降解较少(图1C)。
图1. 不同样本裂解方法比较。C, CryoPrep™;M,冷冻研磨;T,TissueLyser
那么CryoPrep™和TissueLyser谁更胜一筹呢?作者从感染分枝杆菌的组织中提取核酸并进行qPCR 检测,结果如表1所示:与TissueLyser 处理方法相比,使用CryoPrep™处理样本后提取的核酸Cq 值均明显降低,表明核酸得率有显著提高。
表1. 从感染了分枝杆菌的不同组织中提取核酸
综上所述,CryoPrep™用于宏基因组样本前处理,在提高核酸得率方面,表现优秀。
总结
CryoPrep™ CP02作为一款Covaris针对珍贵、难处理样本推出的一款样本粉碎仪器,在宏基因组以及微生物组的研究中都有着不俗的表现——提供高度均一化的样本以及高质量的核酸。提高样本前处理水平,才能进而提高下游的实验质量。
划重点!!!
Covaris公司一直致力于研发基于声学、机械及分子生物学的高性能组织样本处理系统,旨在帮助研究者实现快速、稳定、高效样品的预处理。基因有限公司作为Covaris在中国的合作伙伴和全国代理商,为您提供DNA片段化、ChIP实验、FFPE样本核酸提取、蛋白提取解决方案等。快戳下图获得更多第一手资料吧!
参考文献
[1] Laurin G, Alwxander M, Daniel S, et al. Influenza A H1N1 Induced Disturbance of the Respiratory and Fecal Microbiome of German Landrace Pigs - a Multi-Omics Characterization. Microbiology Spectrum, 2021, 9(2):21.
[2] Calvelage S , Tammiranta N , Nokireki T , et al. Genetic and Antigenetic Characterization of the Novel Kotalahti Bat Lyssavirus (KBLV)[J]. Viruses, 2021, 13(1):69.
[3] Claudia W , Anna P , Martin B , et al. A Versatile Sample Processing Workflow for Metagenomic Pathogen Detection[J]. Scientific Reports, 2018, 8(1):13108-.