
-
生物通官微
陪你抓住生命科技
跳动的脉搏
醛固酮与慢性肾脏疾病进展和终末期肾脏疾病风险增加有关
【字体: 大 中 小 】 时间:2022年08月09日 来源:European Heart Journal
编辑推荐:
发表在《欧洲心脏杂志》上的一项对3680名患者的研究表明,类固醇激素醛固酮与慢性肾脏疾病(CKD)患者肾衰竭的风险增加有关,这表明它在疾病进展以及心脏和血管问题中发挥着作用。现有的一种药物叫做非内酮,它针对的是醛固酮的作用,可能有助于防止CKD恶化。
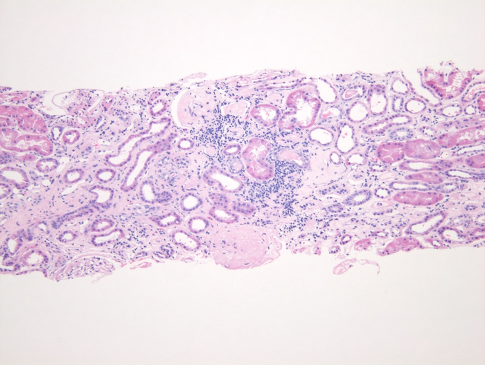
图片:病变肾脏的活检图像,显示管状结构的疤痕和损伤
图片来源:Ashish Verma博士
根据发表在《科学》杂志上的一项研究,一种名为醛固酮的类固醇激素与慢性肾脏病(CKD)患者肾衰竭的风险增加有关欧洲心脏杂志》上今天(星期二)[1]。CKD恶化发展为终末期肾病的风险与患者是否患有糖尿病无关。
这些发现很重要,因为它们表明醛固酮不仅在CKD的进展中起作用,而且在心脏和血管问题中也起作用,而且现有的针对醛固酮作用的药物可能有助于防止CKD恶化。
醛固酮是肾上腺分泌的一种类固醇激素,位于肾脏上方。它的主要作用是调节体内的盐和水,所以它在控制血压方面起着核心作用。摄入过多会导致高血压、心血管疾病和肾脏疾病。
该研究的主要作者、美国波士顿大学医学院助理教授Ashish Verma博士说:“最近的随机对照试验表明,一种名为非那酮的药物可以有效延缓慢性肾病和糖尿病患者的CKD进展和不良心血管结局。然而,醛固酮在这一过程中的作用并没有被直接研究,激素的水平也没有被测量。”[2]
非奈酮的靶点是非甾体盐皮质激素受体(MR)。当这种受体被醛固酮激活时,激素水平升高会导致高血压、心血管疾病和肾脏疾病。
Verma博士说:“由于过高的醛固酮水平是非常常见的,但大多数都未被发现,我们假设非尼酮能够有效降低CKD进展风险的一个原因是它治疗了未被发现的高浓度激素。”
Verma博士和他的同事调查了3680名慢性肾功能不全队列研究参与者血液中醛固酮浓度与肾脏疾病进展之间的关系,该研究于2003年至2008年在美国的七个诊所进行。参与者的年龄在21岁到74岁之间。
他们重点关注CKD的进展,CKD被定义为肾脏通过肾小球血管过滤血液的能力下降50%,被称为估计肾小球滤过率(eGFR),或终末期肾病,无论哪个先发生。他们对这些患者进行了平均(中位数)近十年的随访。在此期间,1412名(38%)参与者发生了CKD进展。
他们发现,较高的醛固酮浓度与较低的表皮生长因子受体(eGFR)、较低的血液钾水平以及较高的尿液钾和蛋白质浓度有关。
在调整了可能影响结果的因素后,如药物、其他医疗条件、年龄、种族、身高和体重,他们发现血液中醛固酮浓度每增加一倍,CKD进展的风险就会增加11%。与醛固酮浓度最低的25%相比,醛固酮浓度最高的25%的患者患病风险增加了45%。无论患者是否患有糖尿病,这种风险都是相似的。
Verma博士说:“这些发现很重要,因为它们表明高浓度的醛固酮可能在CKD患者的进展和心血管疾病中发挥作用。这项研究为矿糖皮质激素受体拮抗剂延缓CKD进展的机制提供了证据,并支持研究它们在非糖尿病患者中的价值。”
美国食品和药物管理局(FDA)已批准将非尼酮用于CKD和糖尿病患者。目前,一项随机对照临床试验正在调查非尼勒酮对非糖尿病性CKD患者的有效性和安全性。Verma博士说:“这项试验将在回答这个问题上发挥重要作用,即MR拮抗剂治疗是否有助于延缓CKD患者和非糖尿病患者的CKD进展。”
美国芝加哥医科大学的George Bakris教授没有参与这项研究,但他参与了糖尿病患者使用非尼酮的随机对照试验,他为这项研究撰写了一篇社论,同样发表在今天的[3]上。“综上所述,这些研究表明,需要评估所有有心血管疾病风险和/或存在心血管疾病的患者的醛固酮水平,特别是如果他们有中枢性肥胖和/或顽固性高血压。我们现在有比传统的类固醇药物更安全、耐受性更好的药物,可以而且应该用于降低这些患者的心肾风险,”他写道。
该研究的局限性包括:1)没有测量尿液中的白蛋白,或血液样本中的另一种蛋白肾素;这可能表明高水平的醛固酮是否依赖于肾素,肾素由肾脏释放,也对血压起作用;2)研究开始时只测量一次醛固酮水平;3)血管紧张素转换酶(ACE)抑制剂和血管紧张素受体阻滞剂(ARB)使用时间的数据,可影响醛固酮水平,没有;4)这项研究是观察性的,不能证明醛固酮原因CKD进展,仅此而已相关的用它。
2017年,CKD影响全球9.1%的人口,6.975公司与本研究内容无关的咨询费。As.V。没有财务披露。