
-
生物通官微
陪你抓住生命科技
跳动的脉搏
Nature发表空间-ATAC-seq技术,捕获空间表观遗传信息
【字体: 大 中 小 】 时间:2022年08月22日 来源:Karolinska Institutet
编辑推荐:
如今,来自耶鲁大学和卡罗林斯卡医学院的研究团队将原位Tn5转座技术与微流控条形码标记相结合,开发出一种称为空间-ATAC-seq的技术。
组织中的细胞功能取决于它们所在的局部环境。空间转录组学的出现让基因组规模的基因表达映射成为可能,但缺乏在细胞水平和基因组规模上捕获空间表观遗传信息的能力。
如今,来自耶鲁大学和卡罗林斯卡医学院的研究团队将原位Tn5转座技术与微流控条形码标记相结合,开发出一种名为“空间-ATAC-seq”的技术。它采用新一代测序对组织切片进行空间分辨的染色质可及性分析。这项研究结果于8月17日发表在《Nature》杂志上。

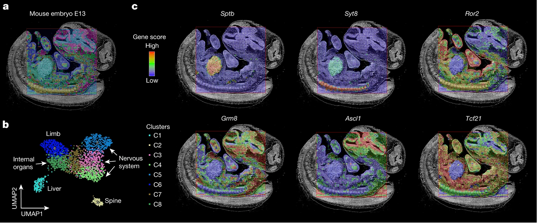
图:E13小鼠胚胎的空间染色质可及性映射(图片来自原文)
几年前,科学家开发出染色质转座酶可及性分析(ATAC-seq),之后将其应用于单细胞。然而,在细胞水平上对组织切片进行空间分辨的染色质可及性映射却无法实现。于是,耶鲁大学的Rong Fan教授和卡罗林斯卡医学院的Gonçalo Castelo-Branco教授合作开发出新技术。
空间-ATAC-seq技术将分析染色质可及性的能力与细胞的空间位置相结合。这是一项突破,可提高我们对细胞身份、细胞状态以及决定基因表达的潜在机制(也就是表观遗传学)的理解,从而深入了解组织发育和疾病进展。
Rong Fan教授表示:“现在我们可以鉴定细胞类型,并根据染色质可及性来建立空间细胞图谱。我们可以直接在表观遗传水平上查看细胞类型,以便更好地定义细胞状态或发现细胞类型。”
研究人员采用空间-ATAC-seq技术对小鼠和人类组织进行了分析。他们将这项技术应用于E13小鼠胚胎组织上,揭示了大脑不同区域的复杂发育过程。他们还将其应用于人类扁桃体组织,揭示了空间上不同的免疫细胞类型和状态。
“我们将获得所有可能的细胞状态的一份无偏向的全局视图以及一份分辨率更高的视图,更重要的是,我们能够‘观察’它们在组织中的位置,”Rong Fan教授谈道。“这是一种构建细胞图谱的强大工具。”
文章第一作者、Rong Fan教授实验室的博士后Yanxiang Deng表示,通过使用新方法,他们能够在原始位置下鉴定出小鼠脑组织中各种细胞的表观基因组。
“将空间-ATAC-Seq应用于病变组织中,这也许能够帮助我们鉴定疾病背景下特定细胞的表观遗传状态之间的转换,这将有助于深入了解病理性细胞状态形成的分子机制,”Castelo-Branco补充道。
目前全球已经发起了一项雄心勃勃的行动,旨在绘制出所有人体器官和不同组织类型的所有细胞类型。单细胞测序对这一工作至关重要,但很难将细胞类型的位置映射到原始组织环境中。这项工作能够根据整体的表观遗传状态,直接观察组织中的细胞类型。
原文检索
Deng, Y., Bartosovic, M., Ma, S. et al. Spatial profiling of chromatin accessibility in mouse and human tissues. Nature (2022). https://doi.org/10.1038/s41586-022-05094-1