
-
生物通官微
陪你抓住生命科技
跳动的脉搏
RNA提取攻略之样本采集及稳定篇
【字体: 大 中 小 】 时间:2022年08月11日 来源:凯杰生命科学
1868年,瑞士生物学家弗雷德里希·米歇尔 (Friedrich Miescher) 在细胞核中发现核酸(当时还被称作“核素”),从此开启了RNA的探索之路。
迄今为止,在活细胞中总共发现了至少14种RNA,典型的单个快速生长哺乳动物细胞中含有10–30pg总RNA,而完全分化的原代细胞RNA含量则更少,仅约含1pg。其中,最为大家熟知的RNA有mRNA、rRNA、tRNA以及其他非编码RNA如lncRNA、snoRNA、miRNA、siRNA和piRNA等。
尽管不同类型中RNA的占比取决于细胞类型和生理状态,但占比最多的RNA分子还是tRNA和rRNA,mRNA仅占细胞总RNA 的约3–7%(图1)。
图1. 哺乳动物中RNA组成 [1]
无论是作为功能基因研究的mRNA还是具有调控功能的miRNA,对RNA的表达进行分析在很多情况下都是进一步进行其他研究的基础。目前常用的RNA分子生物学分析方法有qPCR、NGS测序等,无论采用哪种方法,结果的可靠性很大程度取决于所用RNA样品的质量。因此,RNA样本制备是下游分析实验成功的基础。
想要获得高质量的RNA,样本该如何采集?
无论是动植物样本还是其他样本,在处理和收集样本时,细胞中的RNA表达普通常会发生改变,即基因会在组织离体状态下会发生表达的上调或下调(图2)。另外,细胞内的RNA酶对RNA的降解也会在此期间发生,而同时启动的细胞凋亡程序也可能导致RNA转录水平的变化(图2)。
图2. 样本采集后mRNA水平变化。
因此,在收集用于RNA提取的样本,即在新鲜的组织在离开活体或者原本的生长环境时,通常需要立即并快速的将样本放入液氮中冷冻,或者后续长期在-80℃中保存。但样本中存在的内源性RNA酶在离开活体时即会开始降解RNA,且在后续样本破碎匀浆释放RNA的过程中同样也会发生内源性RNA酶对RNA的降解。所以,在样本采集时需要尽量使用RNA稳定保护剂,例如组织样本在采集后,可立即浸泡在适当体积的RNAprotect组织保护试剂中,从一开始就对样本进行保护。另外,在没有液氮时,如在野外进行样本采集时,同样可以使用相关RNA稳定保护剂,该操作只需在室温下操作便可以轻松、安全地稳定和保护样本中的RNA。
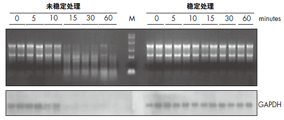
图3. 从经过稳定的样本中纯化得到未降解的RNA。获取大鼠肾脏后立即在RNAprotect Tissue Reagent中稳定或不进行稳定,0-60分钟后分阶段从稳定处理组和未稳定处理组的样本中纯化RNA并进行琼脂糖凝胶电泳和Northern blot分析。
QIAGEN RNA 稳定技术可实现:
▪ 即时稳定RNA
▪ 室温下操作,简便、快捷;无需使用液氮或干冰冷冻样品
▪ 运输和储存过程中,温度对细胞内RNA表达和RNA 完整性无影响
▪ 存储时间长,无RNA 降解
QIAGEN RNA 稳定技术在组织和细菌样本保存的表现
下图表示了从储存在RNAprotect Tissue Reagent中的组织样本中提取总RNA。[A]在指定条件下保存的大鼠肺组织,分别通过琼脂糖凝胶电泳和Northern blot(GAPDH探针)分析RNA。[B]小鼠肝组织进行反复冻融循环 (-20°C/25°C)。C为对照组织,立即冷冻于液氮并后续在-80°C保存。
从A和B的结果可以得出,储存在RNAprotect Tissue Reagent中的组织样本在不同的温度及反复冻融的条件下纯化得到的RNA具有较高的完整性。
图4. 组织中RNA稳定:不同的储存温度和反复冻融。
在下图的实验中,为了监测mRNA的降解,向生长的大肠杆菌培养物中添加RNA聚合酶抑制剂利福平来终止转录。随后将培养物等分成两半,并将RNAprotect Bacteria Reagent加入其中的一半培养物中。在进行离心和RNA纯化之前,样品在室温下分别放置0、4、8和16分钟。通过琼脂糖凝胶电泳分析所得RNA(图5中上图)。通过Northern blot检测具有不同半衰期的两个标记基因的表达,分别得到中图ompA基因(半衰期为15分钟)和下图bla基因(半衰期为2-5分钟)的Northern blot结果。该实验结果表明,向细菌培养物中加入RNAprotect Bacteria Reagent能够有效的防止RNA降解,保持RNA的完整性且稳定时间可以持续长达16min。
图5. RNAprotect Bacteria Reagent 能够有效防止mRNA降解。
QIAGEN RNA稳定技术在动物全血样本保存的表现
研发人员分别使用RNAprotect Animal Blood Tubes和EDTA采血管收集来自同一只大鼠的血样 (500μl),并将收集的样品在15–25℃下储存0分钟 (t=0) 至6小时,并随后使用RNeasy试剂盒纯化RNA后通过定量PCR来分析FOS表达量。Y轴上的ΔCT表示t=0样本时的CT值减去当下时间的CT值。该实验表明,在使用RNAprotect Animal Blood Tubes稳定的样品中,FOS基因表达保持稳定,但在EDTA管保存的样品中FOS的表达情况会随着时间延长而发生变化(在其他大鼠中观察到相同的结果;数据未显示)。
图6. 转录本得到有效稳定。
同样,在采用分光光度计法对从4只大鼠通过使用RNAprotect Animial Blood Tubes收集的血液样本中的RNA质量进行测定后可看到,不仅RNA产量稳定,且来自同一大鼠的不同血样RNA得率 (%CV) 的差异性仅在2.4%-5.9%之间。
图7. RNA高得率的可重复性。
除上述主要RNA样品采集和稳定产品外,QIAGEN还可提供针对多种样本类型及应用的相关产品,相关的性能参数我们也替您整理好了,如下所示:
以上便是获得高质量RNA需要注意的样本采集特别事项以及相关产品的选择指南,希望可以为您的研究或实验工作带来帮助。那么作为RNA提取实验的开端—“样本破碎”又有哪些注意事项?不同的样本分别适合的破碎方法有哪些?敬请关注“凯杰生命科学”,期待下期“RNA提取攻略之样本破碎篇”
参考文献:
1.Palazzo, A.F. and Lee, E.S. (2015) Non-coding RNA: what is functional and what is junk? Front. Genet. 6:2
以上产品仅用于科研,相关实验数据除特殊标注外均来自QIAGEN内部测试结果。