
-
生物通官微
陪你抓住生命科技
跳动的脉搏
Science Advances:小鼠和人类性别决定的早期阶段
【字体: 大 中 小 】 时间:2023年01月06日 来源:Science Advances
编辑推荐:
性别逆转研究的一个重大挑战是缺乏体外系统来建模和研究在性发育障碍(DSD)个体中发现的变异。巴伊兰大学的研究人员今天发表的一项研究为这一挑战提供了一种解决方案,通过开发新的工具来创建性腺的体细胞/支持细胞,从而能够在培养皿中模拟来自DSD个体的干细胞。这第一次促进了在与人类相关的环境中(而不是通过小鼠模型)开始在实验室培养皿中研究DSD病理的能力。
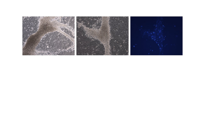
图片:性别逆转研究的重大挑战之一是缺乏体外系统来建模和研究在性发育障碍(DSD)个体中发现的变异。巴伊兰大学的研究人员发表的一项研究为这一挑战提供了一种解决方案,通过开发新的工具来创建性腺的体细胞/支持细胞,从而能够在培养皿中模拟来自DSD个体的干细胞。这第一次促进了在与人类相关的环境中(而不是通过小鼠模型)开始在实验室培养皿中研究DSD病理的能力。图中是来源于小鼠胚胎干细胞的体细胞性腺细胞。细胞聚集并形成小管状结构,类似于在真实睾丸中看到的睾丸索。左边的两幅图是亮场图左边的是荧光图带有报告基因,该基因只在睾丸中的支持细胞中活跃表明该细胞确实与睾丸的支持细胞非常相似。
资料来源:巴伊兰大学Nitzan Gonen博士
在胚胎发育过程中,两种不同的遗传信号决定了胚胎的原始性腺会变成睾丸还是卵巢,从而决定了胚胎会发育成男性还是女性。这一过程的中断会导致性发育障碍,其特征是决定性别的染色体、性腺(卵巢或睾丸)和生殖器解剖结构之间的不匹配。这种不相容可以表现为多种多样的形式,比如生殖器不清晰或男女生理特征的结合。这种疾病被称为性发育障碍(DSD),患病率为1 / 4500新生儿。
性别逆转研究的一个重大挑战是缺乏体外系统来建模和研究在DSD个体中发现的变异。巴伊兰大学的研究人员今天发表的一项研究为这一挑战提供了一种解决方案,通过开发新的工具来创建性腺的体细胞/支持细胞,从而能够在培养皿中模拟来自DSD个体的干细胞。这第一次促进了在与人类相关的环境中(而不是通过小鼠模型)开始在实验室培养皿中研究DSD病理的能力。
这项研究由巴伊兰大学古德曼生命科学学院和纳米技术与先进材料研究所的Nitzan Gonen博士领导,与英国弗朗西斯克里克研究所和法国巴斯德研究所合作。
大约一年前,吉野等人在《科学》杂志上发表的一篇文章表明,干细胞既可以用来制造卵细胞祖细胞,也可以用来制造卵巢体细胞。当研究人员将这两种细胞结合在一起时,他们能够通过这些人造卵子创造出一个健康而可育的胚胎。戈南博士的研究证明了类似想法的起步阶段,但这次是在男性细胞上。
男性睾丸含有生殖细胞,从青春期开始发育成精子细胞,贯穿一生。这些细胞周围环绕着支持生殖细胞功能和发育的体细胞(非生殖细胞)。
在目前的研究中,Gonen博士和弗朗西斯克里克研究所(Francis Crick Institute)的研究人员将小鼠胚胎干细胞分化为睾丸中的早期体细胞。他们将他们创造的细胞与真正的睾丸细胞进行了比较,并通过RNA测序技术表明,两者非常相似。首先使用鼠源性干细胞的优势在于,它可以与从胚胎性腺中分离出来的真正的性腺细胞进行适当的比较。用人类细胞和胚胎来做这件事是非常困难的,甚至是不可能的,因为人类的等量胚胎是怀孕第七周的胚胎,在这个阶段,堕胎后获得胚胎是具有挑战性的。
Gonen博士在巴斯德研究所的合作伙伴,Anu Bashamboo博士和她的实验室,采用了这种方法,并证明它以非常相似的方式对人类干细胞起作用。X和Y染色体的不同组合决定了胚胎的性别。研究人员提取了三种类型的人类细胞——男性的细胞(XY),女性的细胞(XX)和性别反向的DSD个体的细胞(XY出生时为女性)。他们表明,由XX和XY产生的体细胞彼此不同,而性别反转个体的细胞处于中间位置,更接近女性而不是男性。然而,当用CRISPR基因组编辑技术纠正DSD单个细胞中的变异/突变时,细胞恢复了典型的XY细胞的行为。
这个具有性别反转的人类细胞模型的创建为理解在许多其他无法解释的DSD病例中性别决定过程出错的地方以及DSD个体的细胞中究竟发生了什么改变打开了大门。
“我认为这项研究提供了产生各种不同性腺体细胞类型的可能性,如支持生殖细胞的支持细胞,或分泌睾酮的Leydig细胞,”Gonen博士说。将体细胞支持细胞与生殖细胞结合将使我们能够创造一个“培养皿中的迷你睾丸”,更好地了解DSD和不孕症的病例。希望未来我们能够利用这一技术在实验室中产生有功能的精子,让不孕不育的男性拥有一个亲生孩子。”
“能够了解性发育差异背后的原因,对受影响的个人及其家庭通常是非常有价值的。此外,在决定可能的临床治疗方法时,这通常很重要。例如,潜在地保存、维持或恢复生育能力”。
In vitro cellular reprogramming to model gonad development and its disorders