
-
生物通官微
陪你抓住生命科技
跳动的脉搏
Nature子刊全新成果:开发一种精确靶向的EV mRNA平台,该平台优于LNP,可在体内将抗癌药物递送到实体肿瘤
【字体: 大 中 小 】 时间:2023年10月24日 来源:生物通
编辑推荐:
近日,由深圳湾实验室肿瘤研究所/北京大学深圳研究生院共同通讯作者Andrew Lee教授、医学博士与俄亥俄州立大学、思珀生物、台湾阳明交通大学、台湾成功大学医院和德克萨斯大学安德森癌症中心的联合合作在Nature Communications发表了《Dual targeted extracellular vesicles regulate oncogenic genes in advanced pancreatic cancer》一文。
近日,由深圳湾实验室肿瘤研究所/北京大学深圳研究生院共同通讯作者Andrew Lee教授、医学博士与俄亥俄州立大学、思珀生物、台湾阳明交通大学、台湾成功大学医院和德克萨斯大学安德森癌症中心的联合合作在Nature Communications发表了《Dual targeted extracellular vesicles regulate oncogenic genes in advanced pancreatic cancer》一文。

作为2020年和2023年Nature Biomedical Engineering论文对细胞衍生外囊泡mRNA疗法(EV mRNA)和细胞纳米穿孔(CNP)进行探索的系列论文,作者重点报道了一种携带高负荷治疗性mRNA的双靶向细胞外囊泡(dtEV) 并且可以与siRNA和化疗药物联合使用。作者证明,这种精确靶向系统可以在体内治疗胰腺导管腺癌(PDAC),包括PANC-1和患者来源的异种移植肿瘤和小鼠转移瘤,延长动物生存期。在本文中,研究团队提出了一种临床可扩展的方法来生产大量的细胞外囊泡,用于向大型实体瘤递送多基因货物。
在这之前,将多种遗传介质精确地输送到如胰腺导管腺癌(PDAC)这种晚期肿瘤是一个重大挑战,传统技术脂质纳米粒(LNP)尚不能实现精确靶向,它不仅在静脉给药时进入肝脏,而且脂质纳米粒(LNP) mRNA在静脉注射递送时靶向肝外的位点也存在很大的障碍。
该研究团队开发出一种新的精确靶向细胞外囊泡mRNA治疗方法,即利用一种新的双靶向蛋白和抗体系统,它能够将mRNA精确定位并传送到肝脏外的位点,如胰腺导管腺癌(PDAC)。这不仅优于脂质纳米粒(LNP),并且还允许靶向递送多种药物,如siRNA,化疗药,mRNA等渗透肿瘤组织;脂质纳米粒(LNP)难以实现如上功能充分体现出双靶向蛋白和抗体系统的巨大应用潜力。
为验证双靶向系统肝外精确递送的准确性,该团队展示了mRNA与siRNA和化疗联合靶向递送到胰腺导管腺癌(PDAC)。研究中报道了一种易于扩展的双靶向治疗性EVs(dtEVs),该EVs含有高拷贝数的TP53 mRNA或siKRASG12D,可以有效抑制大型实体PDAC肿瘤。并通过蛋白工程设计,将dtEV表面的CD64 (fc-受体1)蛋白的N端与CKAAKNK(CK)组织归巢肽连接,同時CD64也可以连接人类单株抗体 (hmAb),实现了双重靶向胰腺肿瘤组织。
最后的细胞运输结果表明,双重靶向促进了受体介导的组织渗透、肿瘤细胞摄取和细胞溶胶RNA释放。该研究团队展示了一种简单、低成本的方法来生产大量的靶向EVs,携带高负荷的基因载物,可以有效地治疗动物模型中的晚期癌症。
主要实验数据如图所示:

图1a: dtEV与CD64ck锚定人类单株抗体(hmAb)示意图

图3g. 经EV给药后的靶向细胞(例如肿瘤细胞球)对EV的摄取与组织渗透有所改善,远优于LNP;因为肿瘤细胞球对LNP的摄取与组织渗透程度很差。

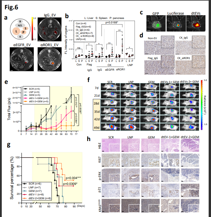
图6. 结果表明: 与LNP相比,dtEV mRNA/siRNA对PDAC的精确靶向和治疗效果有所提高,LNP无法实现对PDAC的精确靶向或治疗有效载荷的传递。
实验中,这种双靶向方法显著改善了肿瘤靶向、肿瘤组织穿透和细胞摄取。在该相关研究团队看来,除了传统的化疗药物外,基于EV的基因疗法还具有与其他癌症治疗方式结合的潜力。通过细胞纳米穿孔(CNP)产生的靶向EV可用于传递来自不同细胞来源的特定编码和非编码基因,这在神经退行性疾病、自身免疫性疾病等多种疾病中具有潜在的应用前景。