
-
生物通官微
陪你抓住生命科技
跳动的脉搏
最新研究:新冠肺炎两年后出现肺部异常
【字体: 大 中 小 】 时间:2023年02月17日 来源:Radiology
编辑推荐:
根据一项新的研究,胸部CT显示,COVID-19患者在两年后持续出现肺部异常。这是第一篇关于COVID-19肺部影响的两年随访数据的研究论文。
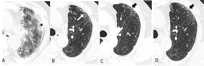
图像:一名65岁严重COVID-19男性的连续横向CT扫描。(A)症状出现后第23天的CT扫描显示左侧上叶弥漫性磨玻璃影(箭头)伴胸膜下实变(*)。(B)随访6个月时的图像显示左肺前上叶胸膜下主要为毛玻璃影,伴轻度支气管扩张(白色箭头)。(C, D)随访12个月和2年的图像显示在同一区域存在细微的胸膜下蜂窝(黑色箭头)。该患者主诉持续的劳力性呼吸困难,在2年的随访中显示肺对一氧化碳的轻度扩散能力(74%)。
资料来源:北美放射学会
根据北美放射学会(RSNA)杂志《放射学》上发表的一项研究,胸部CT显示,COVID-19患者在两年后出现持续的肺部异常。这是第一篇关于COVID-19肺部影响的两年随访数据的研究论文。
在全球范围内,已有6亿多人从COVID-19中康复,但人们仍然担心一些器官,特别是肺部,在感染后可能会遭受长期损害。
来自华中科技大学同济医学院的Qing Ye博士和Heshui Shi博士等人评估covid -19肺炎患者长达两年的残余肺部异常。他们还研究了残余肺异常和肺功能变化之间的相关性。
在这项前瞻性研究中,纳入了2020年1月15日至3月10日期间感染SARSCoV-2后出院的144名患者(79名男性和65名女性,中位年龄60岁)。在症状出现后6个月、12个月和2年进行3次连续胸部CT扫描和肺功能检查。
出院后残留的肺异常包括纤维化(瘢痕)、增厚、蜂窝状、囊性改变、支气管扩张等。
两年后,肺异常发生率逐渐降低。6个月时,54%的患者出现肺部异常。在随访两年的CT扫描中,39%(56/144)的患者出现肺部异常,其中23%(33/144)为纤维化肺异常,16%(23/144)为非纤维化肺异常。
作者说:“特别是,纤维化间质性肺异常(特发性肺纤维化的重要前兆)的比例在整个随访过程中保持稳定。”“因此,我们研究中观察到的纤维化异常可能代表了COVID-19后稳定的、不可逆的肺部疾病,比如肺纤维化。”
其余88例(61%)无异常。
肺部CT异常患者更易出现呼吸道症状和肺功能异常。有呼吸道症状的个体比例从6个月时的30%下降到2年时的22%。
在两年的随访中,最常见的呼吸症状是劳力性呼吸困难或呼吸短促(14%[20/144]),而轻度和中度肺扩散(指肺中的气囊将氧气输送到肺周围的微小血管中并从血液中去除二氧化碳的程度)在29%(38/129)的患者中观察到。当肺对一氧化碳的扩散能力低于预测值的75%时,视为肺扩散异常。研究人员认为,持续的残留症状和肺功能异常可能与患者持续的肺损伤有关。
作者说:“covid -19后胸部CT检查结果的长期和功能后果在很大程度上是未知的。我们的前瞻性研究发现,在两年的随访中,39%的参与者存在持续的肺间质异常,这与呼吸道症状和扩散功能下降有关。”
作者建议,COVID-19后残留肺部异常或呼吸道症状的患者应随访,以发现和处理肺部变化和功能损害。