
-
生物通官微
陪你抓住生命科技
跳动的脉搏
《PNAS》COVID呼吸问题与失控的免疫反应有关
【字体: 大 中 小 】 时间:2023年03月22日 来源:PNAS
编辑推荐:
斯坦福大学医学研究人员发现Covid-19最常见症状之一——呼吸短促背后的机制。COVID-19后的呼吸问题是由一种被称为肺纤维化的疾病引起的。
斯坦福大学医学研究人员发现了COVID-19最常见症状之一——呼吸短促背后的机制。COVID-19后的呼吸问题是由一种被称为肺纤维化的疾病引起的,受损的肺会形成疤痕组织,这使得肺难以扩张和收缩。
领导这项研究的病理学助理教授Gerlinde Wernig医学博士说,长COVID病例可能会严重衰弱并对治疗产生抗药性。更糟糕的是,即使没有新的COVID-19感染,肺功能也可能继续下降。该团队发表在《美国国家科学院院刊》(Proceedings of The National Academy of Sciences)上的新研究,确定了肺部发生的导致纤维化的原因:调节炎症和免疫反应的基因过度活跃。
这一发现带来了希望,有一天,靶向药物可以干预抑制损伤背后的基因,他们已经在小鼠实验中进行了测试。
“这是我们在慢性肺纤维化方面工作的延伸,”Wernig说。此前,Wernig和她的同事进行的研究表明,特定免疫过程的失调会导致肺纤维化。Wernig想知道长冠患者的肺部是否也发生了类似的情况。
研究小组首先观察了5名COVID-19患者的肺组织样本,这些患者出现了一个或多个月的疾病症状(如呼吸短促)。Wernig说,感染SARS-CoV-2(导致COVID-19的病毒)后出现症状的人的肺看起来像终末期肺纤维化患者的肺。通过分析患者组织样本中的单细胞,科学家们还发现了长冠患者组织样本和肺纤维化患者组织样本之间RNA产生模式的相似性(这可以暗示细胞的整体功能)。
“我们在所有人类新冠肺炎肺样本中都看到了同样的模式,”Wernig说。与其他肺部感染一样,肺部最初的COVID-19感染开启了炎症过程。然而,对于长时间感染COVID的患者来说,在病毒消失后很长一段时间内,免疫功能障碍仍在继续,这与慢性肺纤维化的情况类似。
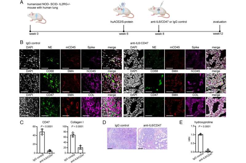
在她之前的研究中,Wernig表明肺纤维化的特征是肺部一种称为白细胞介素-6的炎症标志物的产生激增,这与慢性炎症和瘢痕形成有关。此外,在肺纤维化中,被称为成纤维细胞的疤痕形成细胞会增加一种名为CD47的蛋白质的产生,这种蛋白质会阻止免疫系统控制成纤维细胞,这意味着疤痕组织的形成不受控制。研究人员还发现了一种名为pJUN的蛋白质的增加,这种蛋白质是疤痕形成的关键促进因素。
为了测试肺纤维化是否与COVID-19感染紧密相关,他们观察了感染SARS-CoV-2-like样病毒的小鼠的肺纤维化,发现纤维化和免疫功能障碍显著增加。“先天免疫细胞在感染后会疯狂,”Wernig说,他指的是免疫系统中形成抵御病原体的第一道防线的部分。
在一个更能代表人类生物学的小鼠模型中,研究人员发现,当小鼠感染SARS-CoV-2时,肺组织中的疤痕激增,白细胞介素-6、CD47和pJUN水平也大幅上升。这些实验也有好的一面。“当我们做同样的实验但阻断CD47和IL-6时,我们看到很少的纤维化,”Wernig说。“这暗示了治疗长冠的可能方法,包括使用靶向免疫阻断的药物。”
本文由斯坦福大学提供