
-
生物通官微
陪你抓住生命科技
跳动的脉搏
动物细胞内发现新“细胞器”——磷酸盐储藏室
【字体: 大 中 小 】 时间:2023年05月05日 来源:nature
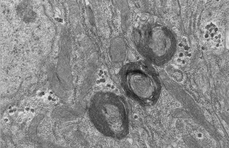
果蝇肠细胞中三个新发现的细胞器。细胞器似乎是磷酸盐的储存库,磷酸盐是生命所必需的分子。
在植物、细菌和酵母中,磷酸盐对细胞生长很重要,有助于细胞交流和产生能量。虽然已知它在动物组织和细胞中是必不可少的,但很少有研究探索它的具体功能。现在,研究人员在动物细胞内发现了一种微小的结构,它的作用就像磷酸盐的储存库,帮助调节细胞内的营养水平,并在营养不足时触发维持组织的过程。研究人员将这种结构归类为一种新型细胞器——细胞内的基本结构,如细胞核、线粒体和膜,它们在体内起着微型器官的作用。
纽约市洛克菲勒大学(Rockefeller University)的遗传学家Charles Xu对磷酸盐在调节果蝇肠道组织更新中扮演的角色感到好奇,果蝇肠道是研究疾病如何影响人类肠道细胞的有用模型。
Xu和他的同事们给果蝇喂食磷甲酸(PFA),这种酸可以抑制细胞对磷的吸收。当研究人员对来自果蝇肠道内壁的细胞进行染色和成像时,他们注意到缺乏磷酸盐导致细胞数量激增。当徐和他的同事给果蝇喂食比标准水平少10%的磷酸盐食物时,这种快速的细胞增殖也发生了,这表明磷酸盐确实对细胞数量有影响。
为了找出磷酸盐是如何产生这种影响的,徐和他的团队调查了低磷酸盐水平是否会影响基因表达。一种被作者称为PXo的基因类似于一种哺乳动物基因,该基因编码一种磷酸盐感应蛋白。Xu和他的同事发现,当细胞被剥夺磷酸盐时,PXo的表达较弱。这种减少的基因表达也使细胞分裂进入超速状态。然而,当研究人员调整基因以过度表达PXo蛋白时,细胞分裂速度减慢。
研究人员用荧光标记标记了PXo蛋白,并注意到它与细胞中的一系列椭圆形结构有关,这些结构似乎与任何已知的细胞器都不相关。
当科学家们仔细观察这些神秘的结构时,他们发现它们有几个膜层,而PXo蛋白正在通过膜层运输磷酸盐。一旦进入不熟悉的细胞器,磷酸盐就转化为磷脂,这是细胞膜的主要组成部分。
当果蝇细胞被剥夺磷酸盐时,细胞器分裂并将储存的磷脂释放到每个细胞中,这表明它们的功能就像储存库,这种分解激活了一种叫做Cka的细胞机制,触发了一种压力信号,增加了新细胞的产生。徐说,这可能是肠道内壁保持磷酸盐水平稳定的一种方式,因为增加的细胞数量可以吸收更多的营养。
下一步可能是研究这些储存磷酸盐的细胞器如何与其他细胞器相互作用,以及它们的动态如何随时间变化,在动物细胞中发现一种新的细胞器也强调了细胞生理学还有很多东西需要学习。
虽然没有参与这项研究、法国国家科学研究中心(CNRS)的结构生物学家Rebekka Wild说:“这是首次在动物细胞中发现磷酸盐储存的研究之一。这真的很令人兴奋。这些发现为探索其他动物(包括人类)是否也有类似的磷酸盐储存细胞器奠定了基础。深入研究PXo蛋白的结构,揭示它如何将磷酸盐输送到细胞器中,可能会很有用。这将是非常有趣的,特别是对那些来自结构生物学方面的人来说,这为许多其他问题打开了大门。”