
-
生物通官微
陪你抓住生命科技
跳动的脉搏
义翘神州推出EGFR多位点磷酸化兔单抗
【字体: 大 中 小 】 时间:2024年12月12日 来源:义翘神州
编辑推荐:
EGFR磷酸化的位置、程度对于生理病理来说都有重要意义。而在研究蛋白的磷酸化位置、程度过程中,磷酸化抗体是一件科研利器。
EGFR从1984年被发现以来就是生物学界研究的重点,其生理功能中复杂的调控机制使其成为磷酸化研究及信号调控的模型,其病理过程中的重要作用和多变身份使其成为经久不衰的药物靶点。
肿瘤发展过程中,存在着EGFR的异常表达、多种EGFR突变导致的异常激活,这些都导致了多种肿瘤的异常增殖和耐药性。以EGFR为靶点的肿瘤治疗手段目前主要是抗体药和小分子药。以Cetuximab、Panitumumab为代表的EGFR抗体主要能够识别EGFR的胞外端,阻止EGFR与配体的结合,从而阻止肿瘤的异常增生。
另一类是酪氨酸激酶抑制剂(TKI),TKI作为小分子,可以进入胞内,与EGFR胞内酪氨酸激酶结构域结合,竞争性抑制ATP与酪氨酸激酶结合,从而影响酪氨酸磷酸化,抑制信号传导。
EGFR磷酸化的位置、程度对于生理病理来说都有重要意义。而在研究蛋白的磷酸化位置、程度过程中,磷酸化抗体是一件科研利器。
产品数据:
下面以Phospho-EGF Receptor (Tyr1068) Antibody, Rabbit MAb (Cat: 110463-R0027)为例为大家介绍。
内源性验证
对于磷酸化本底较低的样本,往往需要合适的细胞因子等刺激来提高磷酸化丰度,以验证磷酸化抗体特异性。

Western blot analysis of extracts from serum-starved Hela, untreated (-) or treated with EGF (Cat # 10605-HNAE)(10 ng/mL, 30min) using Phospho-EGF Receptor (Tyr1068) rabbit monoclonal Antibody (Cat# 110463-R0027) at 1:2000 dilution (upper), or Anti-EGFR Antibody, Rabbit Polyclonal (Cat# 100372-T32) at 1:2000 dilution (lower) (Routinely tested).
磷酸酶验证
Lambda磷酸酶(Cat: L01-20U)能够有效地去除蛋白的磷酸化,以此高效的验证磷酸化抗体的特异性。

Western blot analysis of extracts from serum-starved Hela, untreated (line A); treated with EGF (Cat # 10605-HNAE)(10 ng/mL, 30min;+); treated with calyculin A and λ-phosphatase (Cat: L01-20U) (line C) using Phospho-EGF Receptor (Tyr1068) rabbit monoclonal Antibody (Cat# 110463-R0027) at 1:5000 dilution.
多肽竞争验证
磷酸化抗体能够被磷酸化多肽特异性竞争阻断,而非磷酸化多肽无法进行竞争阻断。

Western blot analysis of extracts from serum-starved Hela, untreated (line A); treated with EGF (Cat # 10605-HNAE)(10 ng/mL, 30min), without peptide (line B) or antigen-specific phosphopeptide (line C) or antigen-specific peptide (line D) using Phospho-EGF Receptor (Tyr1068) rabbit monoclonal Antibody (Cat# 110463-R0027) at 1:5000 dilution.
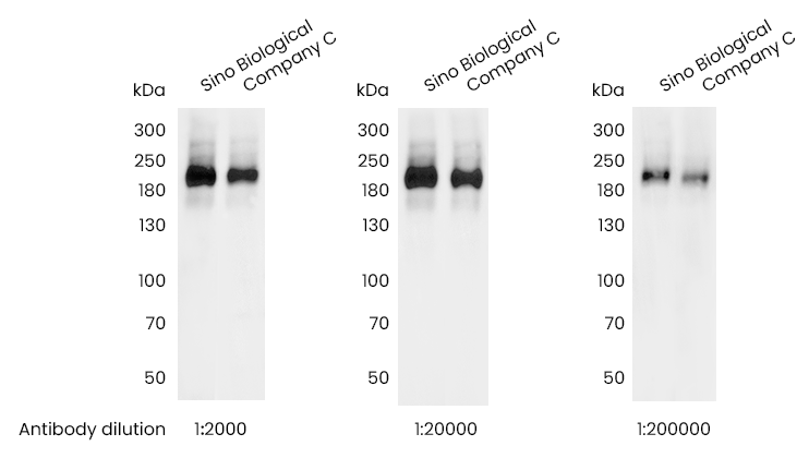
超高稀释比

Western blot analysis of extracts from serum-starved Hela, treated with EGF (Cat # 10605-HNAE) (10 ng/mL, 30 min), using Phospho-EGF Receptor (Tyr1068) Antibody (Cat# 110463-R0027) (Sino Biological) and other brands’ antibodies (company C) at dilution of 1:2000, 1:20000 and 1:200000.
更多经过严格验证的磷酸化抗体请见义翘神州官网>>
