
-
生物通官微
陪你抓住生命科技
跳动的脉搏
极高纯度,快速连接——不是每款 T4 DNA连接酶都能成为「经典」!
【字体: 大 中 小 】 时间:2024年12月06日 来源:基因有限公司
编辑推荐:
NEB 经典高品质的 T4 DNA 连接酶 (M0202) 相比于同类产品,具有极高的酶纯度,避免了核酸酶、磷酸酶和蛋白酶等污染,确保了产品质量的高度稳定性,充分保障了实验的成功率和可重复性。
NEB 经典高品质的 T4 DNA 连接酶 (M0202) 相比于同类产品,具有极高的酶纯度,避免了核酸酶、磷酸酶和蛋白酶等污染,确保了产品质量的高度稳定性,充分保障了实验的成功率和可重复性。其稳定可靠的品质得到了广大科研者的青睐。
极高纯度,快速连接!

产品优势
1. 品质——重组酶,纯度极高,批次稳定。
2. 方便——室温或16 ℃均可反应。
3. 高效——粘性末端室温连接10 分钟完成。
4. 兼容——与 NEB 内切酶反应体系兼容,加 ATP 即可直接连接酶切片段。
超高纯度,稳定可靠!

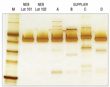
等量的蛋白质上样,使用 SilverXpress™ 进行银染检测。
Marker M 为 NEB Broad Range Protein Marker (NEB #P7702)。
无核酸酶污染!

使用不同生产商提供的 T4 DNA 连接酶与末端含荧光标记的各种寡核苷酸分子进行反应:包括单链、双链平末端、3´ 突出或5´ 突出片段。
若 T4 连接酶中含有核酸酶污染物,将造成片段降级。降解片段所占比例可通过毛细管电泳检测,根据峰值进行判断。解析度为单核苷酸水平。
NEB 50周年庆——全线产品买赠有礼活动火热进行中!快来赶上2024年最后这波好价末班车啦 !(戳我了解活动详情~)
基因有限公司作为 NEB 全国一级代理商,为您提供专业的产品与服务!
欢迎添加产品专员,
了解更多产品信息!
