
-
生物通官微
陪你抓住生命科技
跳动的脉搏
助力mRNA疫苗研发:从模板到转录的全方位解决方案
【字体: 大 中 小 】 时间:2025年01月23日 来源:基因有限公司
编辑推荐:
在整个疫苗开发流程中,如何高效合成高质量的mRNA是实现疗法目标的关键步骤。IVT mRNA合成是一种灵活的、无细胞的、并且可以快速扩增的方法。NEB Hiscribe®试剂盒和T7 RNA聚合酶,在产量、完整度、dsRNA残留方面等综合水平非常高。
mRNA技术自诞生以来一直在快速发展,尤其是在2020年全球新冠肺炎爆发之际,依托mRNA技术的mRNA疫苗以其抗原设计灵活性,可快速迭代筛选最佳免疫原、短时间内实现大规模生产等特点在众多研究管线中迅速脱颖而出。除疫苗外,mRNA技术也扩展到了包括传染病、肿瘤的预防性和治疗性疫苗、蛋白替代疗法、再生医学、基因编辑和细胞治疗等多个领域。
疫苗前沿 | mRNA疫苗的最新应用
通用型mRNA抗肿瘤疫苗策略:2025年1月6日,浙江大学生命科学学院金勇丰教授团队在《Advanced Science》期刊在线发表了题为“A universal strategy of anti-tumor mRNA vaccine by harnessing ‘off-the-shelf’ immunity”的研究论文。该研究开发了一种通用的mRNA抗肿瘤疫苗策略,通过利用对已知病原体抗原的免疫记忆来治疗肿瘤。该mRNA疫苗能够原位重编程肿瘤细胞,激活抗原特异性效应T细胞发挥杀伤功能,在多种小鼠实体瘤模型中展现了良好的抑瘤效果。
在整个疫苗开发流程中,如何高效合成高质量的mRNA是实现疗法目标的关键步骤。IVT mRNA合成是一种灵活的、无细胞的、并且可以快速扩增的方法。NEB Hiscribe®试剂盒和T7 RNA聚合酶,在产量、完整度、dsRNA残留方面等综合水平非常高。
HiScribe® 系列,体外转录的理想选择
NEB HiScribe® T7 高效 RNA 合成试剂盒(NEB#E2040)
单次反应可获得多达180 μg 产物,或利用帽类似物合成带帽RNA,产量可达30-40 μg
可完全替换 NTP 进行标记和掺入修饰碱基
包含线性化对照模板,可用于验证 RNA 合成体系
含有DNase I 和LiCl,可去除DNA 模版和快速纯化RNA
NEB HiScribe® T7 快速高效 RNA 合成试剂盒(NEB#E2050)
NTP 预混液剂型减少了移液步骤,也可部分替代 NTP 进行标记和掺入修饰碱基

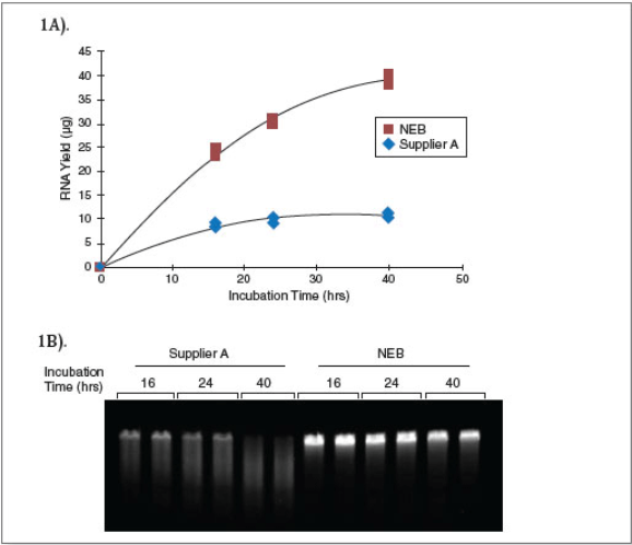
图1:以三种 DNA 为模板进行标准 RNA 合成反应的时间进程

图2:模板用量对 RNA 产量的影响

图3:延长转录反应时间可以提高 RNA 产量并保持完整性
使用 NEB 高纯 RNA 聚合酶,灵活建立反应体系
NEB 提供多种 RNA 聚合酶,可用于体外转录实验。例如 T3, T7, SP6, and Hi-T7 RNA 聚合酶,其中 T7 和 Hi-T7 RNA 聚合酶可提供高浓度剂型(为标准浓度的 20 倍),是希望自己建立和优化体外转录反应体系用户的理想选择。
T7 RNA 聚合酶
使用 T7 噬菌体启动子进行体外转录
常规浓度的T7 RNA 聚合酶(NEB#M0251),高浓度版本(NEB#M0460)
适用于有经验的体外转录用户
从模板到转录,基因有限公司携手NEB 提供完整的mRNA体外合成解决方案
作为生命科学领域的领跑者,在生命科学领域试剂的生产和研发方面成就卓越,特别是合成高质量 RNA 方面,从模板的合成、转录、加帽、加尾到合成后的纯化,经验丰富的 NEB都能提供完整解决方案。同时, NEB也在持续不断的研发新型工具酶,致力于解决IVT中的难点。

为了更好地提供 RNA合成产品用于 mRNA 疫苗和治疗,NEB 在美国马萨诸塞州开设了 43000 平方英尺的现代化工厂,专门用于生产 GMP 级别 RNA 合成试剂。NEB 的研究级和 GMP 级产品可以支持您从微克级研究到克量级治疗性 mRNA 生产,让您从基础科研无缝过渡到大规模治疗性生产。国内北京、上海、广州、苏州、武汉、成都等6大城市现货供应,并可支持定制化生产。
基因有限公司与NEB 合作近30年的全国一级代理商,热忱为您提供专业的技术支持与服务~
欢迎添加产品经理微信,了解更多产品信息!
