
-
生物通官微
陪你抓住生命科技
跳动的脉搏
Molecular Devices重磅推出最新一代lmageXpress HCS.ai智能高内涵成像分析系统
【字体: 大 中 小 】 时间:2025年01月25日 来源:Molecular Devices
编辑推荐:
Molecular Devices 高内涵成像系统迎来了一位重量级新成员——ImageXpress HCS.ai 智能高内涵成像分析系统。
新年的钟声即将敲响,我们非常激动地宣布:Molecular Devices 高内涵成像系统迎来了一位重量级新成员——ImageXpress HCS.ai 智能高内涵成像分析系统。此次新品的发布,标志着我们迈向更高技术台阶、拓展更广阔市场的关键一步。
一睹为快
ImageXpress HCS.ai系统融合了先进的光学技术、直观的操作软件和强大的人工智能数据分析能力,旨在为科学研究和药物研发领域带来新的突破与体验。

主要特点
高质量成像和优秀的数据分析能力
- 2.6倍信噪比提升,从各种检测类型中,获取高质量图像;
- 专为3D厚样本高通量成像进行优化;
- DL/ML IN Carta 人工智能图像分析软件,让数据挖掘更轻松。
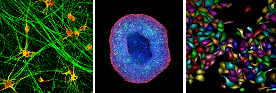
300 μm细胞球,20X, DAPI + Mitotracker Orange
40X 线粒体

无论是基础生物学研究、新疗法开发还是药物发现,无论是2D还是3D新模型,这款系统都能呈现优秀图像细节,提升整体实验效率,帮助研究人员获取全新见解。
更多详情敬请期待接下来的产品发布会和推送内容~
