
-
生物通官微
陪你抓住生命科技
跳动的脉搏
揭开棉花色素腺体发育的奥秘:Berthold植物活体成像
【字体: 大 中 小 】 时间:2025年01月24日 来源:基因有限公司
编辑推荐:
NightSHADE evo LB 985N 植物活体成像系统作为一款专为植物研究设计的高灵敏度成像设备,凭借其卓越的性能和广泛的应用,迅速赢得了全球科研人员的青睐。
在植物细胞及分子生物学研究领域,成像技术的不断创新与进步为科学家们提供了更精确、更高效的工具,以揭示生命科学的奥秘。1989年,德国伯托(Berthold)研发出了第一代低光子影像系统LB980 Luminograph。1993年,在这仪器上完成了第一个动物和植物活体基因表达实验,成为世界上第一个活体动(植)物光学影像系统。2010年,德国伯托研发出世界上第一台功能模块化设计的植物活体影像系统NightSHADE。
NightSHADE evo LB 985N 植物活体成像系统作为一款专为植物研究设计的高灵敏度成像设备,凭借其卓越的性能和广泛的应用,迅速赢得了全球科研人员的青睐。

植物活体成像
灵活的光学设置及高灵敏度
• 相机可安装顶部或侧面,方便观测自然生长状态下的植物
• 超灵敏的背照式CCD相机
• 最高量子效率超过90%
• -100°C冷却温度有效降低背景噪音,保证超高信噪比

关键的环境控制
NightSHADE 有助于为您的实验创建标准化的环境。
• 温度控制——温度受控的底板,可在15至30°C之间保持温度稳定。
• 日光模拟——2个LED面板。LED的强度和持续时间可分别调节,以模拟具有光谱和强度梯度的日光。
• 湿度控制——系统可以放置在任何合适的环境室内。

量身定制的模块化系统
NightSHADE 提供光密性暗箱,您可以根据实验需要进行设置:
• 暗箱内部配备电源和通讯接口,给用户根据自己的需要附加的配件提供电源和数据通讯。
• 支持多种检测模式:选择高灵敏度的发光检测模式,或者荧光成像系统。
• 提供多种样品台,支持不同样品形式。


强大和直观的indiGO™软件
用户友好的IndiGO™软件控制仪器并使图像处理变得简单。它提供以下功能:
• 简便的波长管理
• 3D信息分析
• 整合视频制作工具
• 强大的用户管理系统
• 强大的批处理功能。

举个栗子
2025年1月,发表在Cell Reports上的一文The GhANT-GoPGF module regulates pigment gland development in cotton leaves,研究人员使用Berthold的NightSHADE植物活体成像研究了GhANTa对GoPGF启动子活性的影响,从而验证GhANTa在调控GoPGF表达中的作用,进而揭示其对棉花叶片色素腺体的发育影响。

棉花的色素腺体是植物分泌腔结构的一种,广泛存在于棉花的各个组织中。这些腺体储存了大量的次生代谢物。棉花腺体的发育是一个复杂的生物学过程,涉及多种基因和信号通路的相互作用。目前对于腺体发育的调控机制,尤其是上游调控因子的研究相对较少,这限制了对棉花腺体发育的深入理解。GoPGF(GOSSYPIUM PIGMENT GLAND FORMATION)是一个已知的主转录因子,控制棉花腺体的形成。其上游转录调控机制尚不清楚。了解GoPGF的上游调控因子对于揭示腺体发育的完整调控网络具有重要意义。通过揭示棉花腺体发育的分子机制,可以为培育具有改良性状的棉花品种提供重要的分子基础。

研究人员首先就GoPGF上游调控因子进行识别。他们使用酵母单杂测序技术(Y1H-seq),从2000个阳性克隆中鉴定出850个潜在的GoPGF启动子结合蛋白,其中有39个转录因子。通过整合单细胞RNA测序数据,研究人员确定GhANT是GoPGF的一个重要上游调控因子,特异性地调控棉花叶片中色素腺体的形成。如图1所示。

图1. 鉴定假定的GoPGF启动子结合蛋白。(A)酵母单杂-测序(Y1H-seq)策略的一般工作流程。使用pAbAi-ProPGF构建体作为诱饵来筛选Y1H棉花文库。通过PCR扩增来自筛选的阳性克隆,并将来自大约2,000个阳性克隆的扩增子汇集起来进行高通量测序和数据分析。(B)通过Y1H-seq鉴定的假 GoPGF上游结合因子的基因本体论分析。纵轴显示分子功能,横轴表示每个组中包含的基因比例。(C)在 Y1H-seq 筛选中鉴定的 TF 分类。
紧接着,研究人员对GhANT的功能及定位进行研究。作者分析了GhANT的同源基因和保守基序,同时构建了系统发育树。通过亚细胞定位确认GhANTa::sfGFP的绿色荧光与H2B::mCherry的红色荧光在细胞核中共定位,表明GhANTa是一个核定位的转录因子。在酵母细胞中进行转录激活实验,发现其表现出显著的转录激活活性,进一步证实了其作为转录因子的功能。如图2所示。

图 2. GhANT 分子表征。(A) GhANTa 和 GhANTd蛋白示意图。(B) GhANT 和 GhERF105 的系统发育研究。使用 MEGA 6构建系统发育树,数字代表引导值。AP2/ERF 超家族的 ANT 组和 IX 组分别以绿色和橙色背景显示。(C) 绿色 GFP 荧光显示 GhANTa 在烟草表皮细胞中的亚细胞定位。H2B-mCherry 用于用红色荧光标记细胞核。(D) GhANTa 的转录活性测定。酵母生长和 X-a-Gal 染色表明转录活性呈阳性。SDO(SD/-Trp);TDO(SD/-Ade/-His/-Trp);AD-T+BD-53(阳性对照);AD-T+BD-Lam(阴性对照)。(E 和 F)腺棉茎尖(E)和成熟叶片(F)中 GhANT 的 RNA 原位杂交。SAM,茎尖分生组织;L,新叶;PG,色素腺;ME,叶肉;V,叶脉;PT,盾状三色。
然后,研究人员探讨了GhANT基因沉默对棉花叶片中腺体形成和萜类化合物产生的影响。他们使用病毒诱导的基因沉默技术敲低GhANT基因,通过将GhANT的特异性片段插入到TRV(Tobacco rattle virus)载体中,然后将重组病毒注射到棉花幼苗中。结果发现GhANT基因沉默导致叶片中色素腺体数量减少,表明GhANT在调控叶片中色素腺体形成中起关键作用。同时GhANT沉默导致叶片中多种萜类化合物含量降低,影响了棉花的防御能力。由于次生代谢物含量的降低,GhANT沉默的棉花对棉铃虫的抗性显著降低,叶片更容易受到害虫的侵害。如图3所示。

图3. 腺棉中GhANT敲低的表型特征。(A) GhANT敲低对腺棉叶片和茎的影响。TRV:00,空载体;TRV:ANT,GhANT敲低。(B) 横向和纵向切片的光学显微镜观察结果。色素腺体用红色箭头标记。(C) 对照(TRV:00)和GhANT敲低(TRV:ANT)叶片中GhANT的相对表达水平。(D) 对照(TRV:00)和GhANT敲低(TRV:ANT)幼苗叶片和茎上可见色素腺体的定量。(E) 对照 (TRV:00) 和 GhANT 敲低 (TRV:ANT) 植物叶片中的萜类化合物含量。G,棉酚;HGQ,半棉酚酮;H,总杀螟剂 。(F) 对照 (TRV:00) 和 GhANT 敲低 (TRV:ANT) 叶片中二龄棉铃虫的无选择进食。进食后 48 小时对叶片和棉铃虫拍照。比例尺,叶片 1 cm,棉铃虫 0.5 cm。(G) 叶片消耗量和棉铃虫重量的量化来自 (F)。
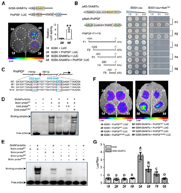
随后,研究人员探讨了GhANT如何通过与GoPGF启动子上的CCG框结合来激活GoPGF的表达。研究人员借助Berthold NightSHADE进行荧光素酶报告基因检测实验。研究人员构建了一个含有GoPGF启动子(1.5kb)的荧光素酶报告基因载体(ProPGF::LUC),并将其与GhANTa的表达载体共表达于烟草细胞中。共表达GhANTa和ProPGF::LUC的烟草细胞显示出比单独表达ProPGF::LUC的细胞更强的荧光素酶活性,表明GhANTa能够激活GoPGF启动子的活性。然后研究人员通过酵母单杂实验说明了GhANTa通过结合GoPGF启动子的-1,229/-950片段来调控其表达。电泳迁移率变化显示了GhANTa能够与包含两个CCG框的探针结合。同时,作者借助NightSHADE完成的双荧光素酶报告实验证明了GoPGF启动子上的两个CCG框对GhANTa的转录激活作用至关重要,单个CCG框的突变会降低激活作用,而双CCG框的突变则完全消除激活作用。如图4所示。

图4. GhANT与GoPGF启动子的CCG盒结合。(A) 荧光素酶(LUC)报告基因检测。在烟草叶片中,不同构建体组合浸润48小时后进行荧光成像(左)。右:62SK(空载体)+ ProPGF::LUC共浸润(显示为2#)中的LUC活性设置为1。62SKGhANTa + ProPGF::LUC共浸润(显示为4#)中的LUC活性显示为与组合2#相比的倍数变化。(B) 酵母中GhANTa和GoPGF启动子缺失片段的结合测定。左:表达构建体(顶部)和GoPGF启动子缺失片段(底部)的示意图。右图:使用 GoPGF 启动子缺失片段与 (+) 或不与 (-) pAD-GhANTa 共表达的酵母单杂交试验。(C) ProPGF 启动子上的 CCG 盒示意图。CCG 盒被框出,CCG 盒的突变序列以红色字体显示。(D 和 E) 电泳迁移率变动试验显示 GhANTa 与包含两个 CCG 盒的 GoPGF 启动子区域直接结合 (D) 以及 CCG 盒对于 GhANTa 与 GoPGF 启动子结合的重要性。(E) M1 和 M2 分别代表 CCG 盒 1 和 CCG 盒 2 的突变。(F) 双 LUC 试验显示 GoPGF 启动子 CCG 盒中的突变显著抑制 GhANTa 对 GoPGF 启动子的转录激活。颜色条表示 LUC 荧光的强度。(G) (F) 中荧光强度的量化。
最后,研究人员通过过表达GhANT发现其通过促进细胞增殖而非细胞增大来增加器官大小。沉默GhANT转录组测序发现GhANT调控着棉花叶片中广泛的转录网络,其沉默会影响叶片发育的多个方面,包括激素信号传导和防御反应等。
总结
在这篇文章中,Berthold NightSHADE作为荧光素酶报告基因实验的关键检测设备,使研究人员能够准确测定GhANTa对GoPGF启动子转录激活作用的强度。同时,通过NightSHADE提供的定量数据,研究人员能够比较GhANTa共表达时不同启动子(野生型和突变型)的荧光素酶活性,从而验证GhANTa的转录激活功能,并评估CCG框在其中的重要性。Berthold NightSHADE在本文中的使用不仅为验证GhANTa的转录激活功能和确定CCG框的关键作用提供了重要工具和数据支持,还提高了实验效率与准确性,并为后续研究奠定了基础,具有重要的使用意义。
基因有限公司作为德国伯托(Berthold)公司中国区合作伙伴,致力于为您提供专业而全面的服务。我们将持续在“微孔板检测”、“发光检测”、“动物活体检测”、“植物活体检测”等领域为您提供解决方案,提供更多应用咨询及技术支持。如果您想了解更多内容,请联系我们的工作人员吧!