
-
生物通官微
陪你抓住生命科技
跳动的脉搏
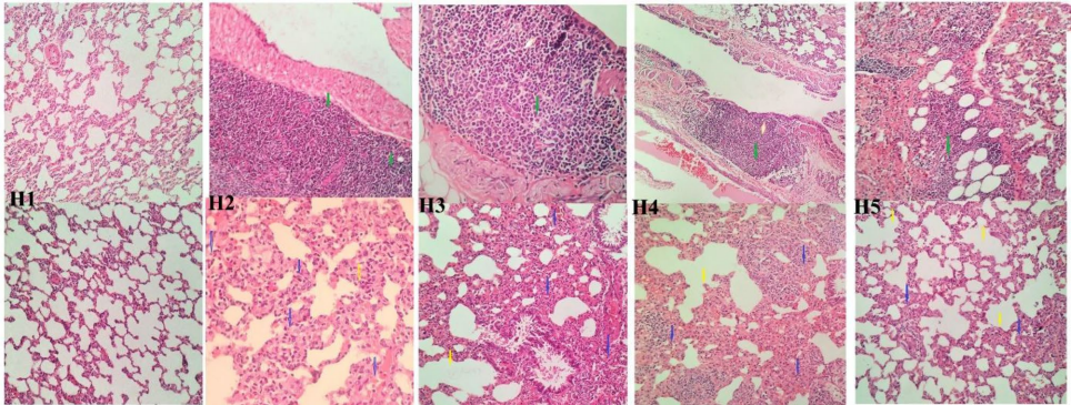
N-乙酰半胱氨酸通过调节氧化应激与炎症通路减轻汞暴露诱导的大鼠肺组织损伤的机制研究
【字体: 大 中 小 】 时间:2025年10月01日 来源:BMC Biotechnology 3.4
编辑推荐:
本研究针对汞(Hg)暴露引发的肺组织氧化应激与炎症损伤问题,通过N-乙酰半胱氨酸(NAC)干预实验,发现NAC可显著降低肺组织中汞蓄积量,并下调MPO、HIF1、MMP2、TIMP1/2、NOS、FN1等炎症/氧化基因表达,同时上调SOD1活性。结果表明NAC通过螯合汞离子与调节抗氧化通路,为汞毒性防治提供新策略。

生物通微信公众号
知名企业招聘