
-
生物通官微
陪你抓住生命科技
跳动的脉搏
阿根廷自然保护区沼泽鹿(Blastocerus dichotomus)牛支原体肺炎的首次爆发与病理学鉴定
【字体: 大 中 小 】 时间:2025年10月01日 来源:Scientific Reports 3.9
编辑推荐:
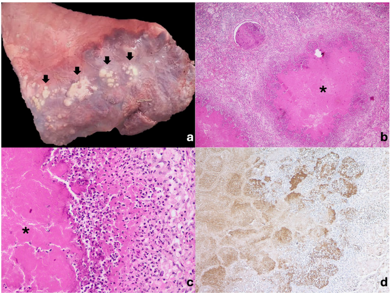
本刊推荐:为解决野生动物呼吸道疾病溯源问题,研究人员开展沼泽鹿牛支原体(M. bovis)肺炎爆发调查。通过病理学检查、免疫组化(IHC)和PCR技术,首次证实M. bovis可引起沼泽鹿特征性干酪样坏死性支气管肺炎,且与溶血性曼氏杆菌(T. pyogenes)存在协同致病机制。该研究为南美洲野生动物保护提供了重要病原学依据,对濒危物种疾病防控具有警示意义。

生物通微信公众号
知名企业招聘