
-
生物通官微
陪你抓住生命科技
跳动的脉搏
金属氧化物纳米颗粒与钙钛矿纳米膜慢性暴露诱导神经行为与组织病理毒性比较研究及其氧化应激机制
【字体: 大 中 小 】 时间:2025年10月10日 来源:Beni-Suef University Journal of Basic and Applied Sciences 2.6
编辑推荐:
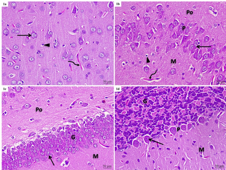
本研究针对纳米颗粒(NPs)广泛应用背景下其神经毒性机制不明的问题,系统评估了二氧化硅(SiO2)、氧化镍(NiO)、氧化钴(Co3O4)和钙钛矿纳米膜慢性暴露对小鼠神经行为与脑组织的影响。结果表明所有NPs均能诱发焦虑抑郁样行为、记忆损伤及神经元退行性病变,并伴随诱导型一氧化氮合酶(iNOS)高表达介导的硝化/氧化应激。其中钙钛矿纳米膜毒性最强,Co3O4次之。该研究为纳米材料安全性评价提供了重要毒理学依据。


生物通微信公众号
知名企业招聘