
-
生物通官微
陪你抓住生命科技
跳动的脉搏
高分辨率计算机断层扫描与炎症标志物在埃及幼年特发性关节炎儿童肺部评估中的相关性研究
【字体: 大 中 小 】 时间:2025年10月14日 来源:Egyptian Pediatric Association Gazette 0.5
编辑推荐:
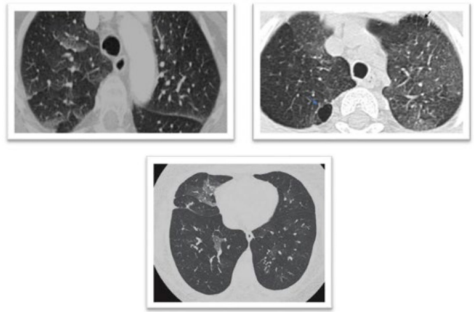
本研究针对幼年特发性关节炎(JIA)患儿肺部并发症早期诊断难题,通过HRCT影像学与炎症标志物(ESR、CRP、Ferritin)的关联性分析,发现36.7%患儿存在间质性肺病(ILD)影像学特征,其中54.5%为无症状患者。结果表明HRCT可作为JIA患儿亚临床肺部病变的敏感检测手段,为临床早期干预提供重要依据。



生物通微信公众号
知名企业招聘