
-
生物通官微
陪你抓住生命科技
跳动的脉搏
靶向膜结合Hsp70的RAS70肽实现高级别胶质瘤和脑转移瘤的荧光分子成像新突破
【字体: 大 中 小 】 时间:2025年10月18日 来源:Journal of Neuro-Oncology 3.1
编辑推荐:
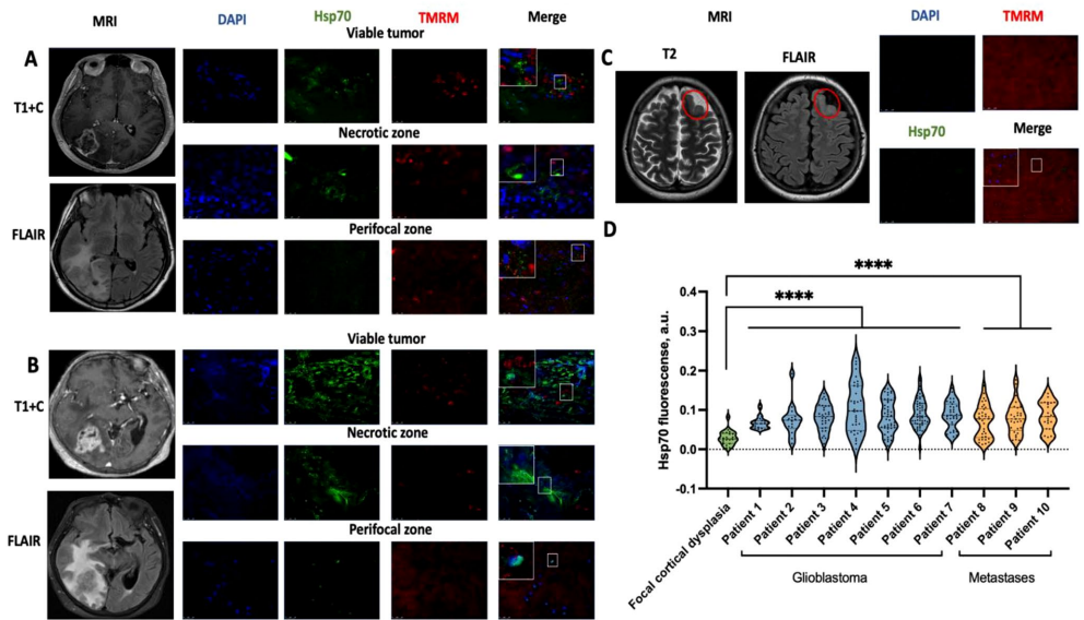
本期推荐:为解决恶性脑肿瘤术中边界不清、残留细胞检测难题,研究团队开发靶向膜结合Hsp70(mHsp70)的RAS70-Cy7.5肽探针。研究表明,该探针在胶质母细胞瘤(GBL)和脑转移瘤(MTS)的术中荧光成像中,相比5-ALA在坏死区、活性肿瘤区和瘤周区均呈现更高靶背景比(TBR),尤其对瘤周浸润细胞检测灵敏度达100%,为精准手术切除和靶向治疗提供新策略。





生物通微信公众号
知名企业招聘