
-
生物通官微
陪你抓住生命科技
跳动的脉搏
脾动脉栓塞术治疗Caroli综合征合并门静脉高压伴脾功能亢进:一例病例报告及治疗启示
《Journal of Medical Case Reports》:Splenic artery embolization in a patient with advanced Caroli’s syndrome complicated by portal hypertension: a case report
【字体: 大 中 小 】 时间:2025年10月24日 来源:Journal of Medical Case Reports 0.8
编辑推荐:
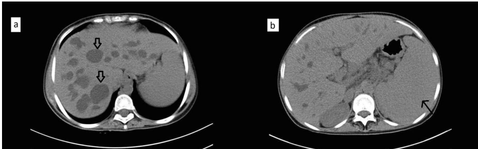
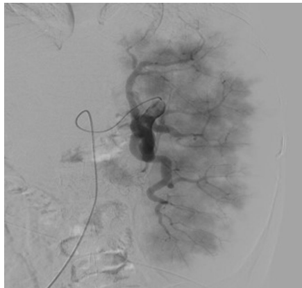
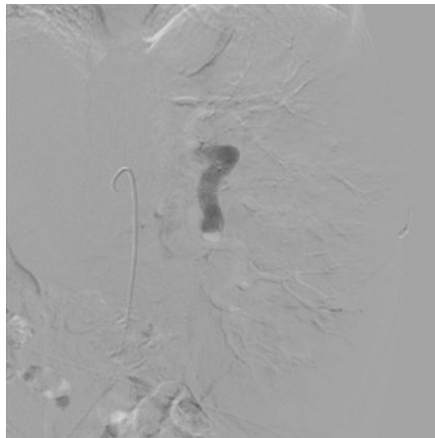
本刊推荐:为探讨脾动脉栓塞术(SAE)在Caroli综合征(CS)合并门静脉高压伴脾功能亢进患者中的治疗价值,研究人员开展病例研究。结果显示SAE可显著提升血小板计数(从29,000/μL升至394,000/μL),但术后出现发热、白细胞升高(WBC 19,000/μL)等栓塞后综合征。该研究为晚期Caroli综合征的并发症治疗提供了新思路,强调早期肝移植的重要性。



生物通微信公众号
知名企业招聘