
-
生物通官微
陪你抓住生命科技
跳动的脉搏
综述:儿童药物性肺病
《Pediatric Radiology》:Medication-induced lung disease in children
【字体: 大 中 小 】 时间:2025年11月26日 来源:Pediatric Radiology 2.3
编辑推荐:
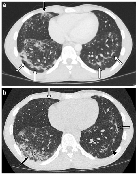
本综述系统阐述了儿童药物性肺病(Medication-induced Lung Disease)的影像学特征、临床诊断与管理策略,强调CT(Computed Tomography)在识别OP(Organizing Pneumonia)、DAD(Diffuse Alveolar Damage)、NSIP(Nonspecific Interstitial Pneumonia)等关键模式中的核心作用,为儿科放射科医生参与多学科诊疗提供实用指南。





生物通微信公众号
知名企业招聘