
-
生物通官微
陪你抓住生命科技
跳动的脉搏
由于髋关节置换术后引发的严重肉芽肿病导致的腰骶丛神经病变
《Acta Neurologica Belgica》:Lumbosacral plexopathy due to aggressive granulomatosis from hip arthroplasty
【字体: 大 中 小 】 时间:2025年12月17日 来源:Acta Neurologica Belgica 2.1
编辑推荐:
一位69岁女性患者接受Birmingham髋关节置换术,2004年首次手术,2007年左髋翻修,2023年出现左臀部及大腿后侧间歇性灼痛,伴生殖器区及足底感觉异常和肌无力。影像学显示左骨盆有与假体相关的周围钙化mass,MRI证实压迫坐骨神经及臂大肌。血清钴水平升高(66nmol/L),病理表现为纤维组织增生伴炎症细胞浸润,排除感染。最终行假体翻修及肉芽肿清除术,术后症状部分缓解,钴水平降至正常。该案例提示人工髋关节假体周围炎可导致严重神经并发症,需警惕金属颗粒沉积引发的慢性炎症反应。
一位69岁的退休女性在2004年接受了双侧金属对金属髋关节表面置换术(Birmingham髋关节置换术),2007年左侧髋关节再次进行了全髋关节置换,随后右侧也进行了相同手术。2023年9月她就诊时,主诉左侧臀部和大腿后侧有持续三年的间歇性剧烈疼痛和灼烧感,这种疼痛在就诊前五个月开始扩散到腿部外侧和脚部,并伴有脚底感觉异常。她没有背部疼痛,行走或瓦尔萨尔瓦动作(Valsalva maneuver)也不会加重症状。随后她发现左侧外阴、大腿后侧和脚趾有麻木感;小腿和大腿肌肉萎缩;左脚无力,导致行走困难。
体格检查显示左侧小腿和足部肌肉萎缩。踝关节背屈、内翻和外翻功能相对减弱;足部肌肉功能受损;膝关节屈曲功能正常;髋关节外展、伸展和外旋功能也受到影响。左侧行走时依赖脚后跟和脚趾着地。两侧髌腱反射正常,但踝关节反射消失。左侧膝关节外侧、左脚大脚趾及足底感觉减退,左脚振动感知能力下降。
严重的神经性疼痛以及局部感觉和运动功能障碍,涉及坐骨神经、上臀神经、下臀神经和阴部神经,提示可能存在左侧腰骶丛神经病变。肌电图显示这些神经的节后损伤,左侧腓肠神经和浅腓神经感觉反应消失;胫神经和腓神经运动反应幅度降低,运动传导速度正常,但胫神经F波消失;左侧腓肠肌、股二头肌和臀中肌存在慢性部分神经脱失,左侧胫骨前肌和腓骨长肌存在急性神经脱失。
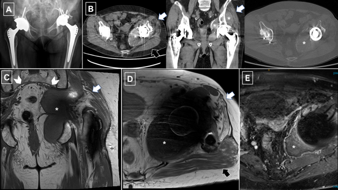
腰椎影像学检查及感染或炎症性疾病排查均未发现异常。血清钴水平升高(66 nmol/L,参考范围<20 nmol/L)。髋关节X光片、腰骶丛神经MRI以及骨盆和左侧髋关节CT显示左侧髋关节周围有一个大的钙化肿块,与髋关节置换术有关,在MRI上T1和T2图像中呈低信号,肿块向内侧和下方延伸至坐骨大切迹,压迫左侧臀中肌和臀小肌,导致这些肌肉萎缩(见图1)。
(A)骨盆正面X光片显示双侧髋关节假体位置正常,无并发症。(B)软组织和骨骼窗口下的轴向及冠状CT扫描显示假体内侧和上外侧有一个病变(星号标记)。病变内侧可见钙化灶。左侧臀中肌和臀小肌萎缩,并伴有脂肪浸润(白色箭头所示),而臀大肌(黑色箭头)未受影响。(C)T1加权冠状MRI图像显示左侧髋关节周围有一个等信号肿块,压迫左侧臀上神经;右侧臀上神经正常(锯齿状阴影)。肿块向下压迫左侧坐骨神经,左侧臀肌部分脂肪萎缩。(D)轴向质子密度图像和(E)增强后的T1加权脂肪饱和度图像显示左侧臀中肌和臀小肌萎缩。低信号肿块因左侧髋关节假体的磁化伪影而部分显示不清,但可见周围组织对比增强。
多学科团队讨论后认为肿瘤可能性较低,且患者没有全身症状或炎症指标升高,因此排除假体感染。鉴于骨盆肿块的大小和复杂性以及持续的神经压迫,初步选择切除部分肿块,随后进行髋关节翻修手术。通过骨盆内途径切除肿块后,患者的臀部和大腿神经性疼痛立即得到缓解。微生物学检查和培养结果均为阴性。病理学检查显示病变组织为透明化纤维结缔组织,伴有局部血管和成纤维细胞增生,以及淋巴浆细胞炎症浸润、组织细胞和纤维蛋白沉积。2024年5月进行了髋关节假体翻修手术,疼痛、感觉丧失和肌无力症状逐渐改善。2025年8月的复查显示,患者踝关节内翻和足部肌肉功能仍较弱,小腿和足部肌肉萎缩,足底感觉异常。血清钴水平恢复正常(13 nmol/L),铬水平降低(<10 nmol/L)。术后影像学检查显示左侧髋关节周围仍有软组织肿块,其中高密度成分主要位于髂骨外侧,肿块体积明显减小,腰骶丛神经和坐骨神经受压情况得到改善。患者目前仍在接受临床和影像学随访。
髋关节假体无菌性松动并伴周围肉芽肿形成是机械性假体失效的常见原因,通常由金属磨损颗粒或聚乙烯材料引起局部炎症所致。这种肉芽肿既可发生在水泥固定的假体中,也可发生在非水泥固定的假体中,通常在关节置换术后5至10年出现[1]。与典型的金属对聚乙烯假体相比,金属对金属假体产生的微粒数量多出13,500倍,这些微粒大量沉积在假体周围组织和滑膜中,导致血清钴、铬等金属水平升高。一旦被细胞吞噬,这些微粒可引发细胞毒性、氧化应激和染色体损伤,进而引发细胞介导的超敏反应[2。
在约1%的髋关节置换患者中,这种超敏反应可发展为侵袭性肉芽肿,表现为肿瘤样病变,伴有大量多核巨细胞和巨噬细胞[13)。最近的研究表明,翻修术后肉芽肿的侵袭性更强,常累及软组织并伴有骨溶解。研究者推测,初次翻修时可能未能发现原有的肉芽肿病变,从而加重了后续的炎症反应[1。
据我们所知,腰骶丛神经病变尚未被报道为侵袭性肉芽肿的并发症。Leinung等人报告了一例患者,其股神经病变由十年前植入的髋关节假体极度磨损引起,形成炎症性假肿瘤。病变区域充满黑色碎屑物质,周围有硬化带和肉芽组织[45
髋关节置换术后应定期进行临床和影像学检查,以监测肉芽肿形成和潜在的神经并发症,这些并发症可能导致严重后果。我们的病例增加了腰骶丛神经病变的鉴别诊断范围。尽管这种情况罕见,但由于髋关节置换在老年人群中较为普遍,仍需保持警惕。
生物通微信公众号
知名企业招聘