
-
生物通官微
陪你抓住生命科技
跳动的脉搏
与PTEN基因变异相关的婴儿期癫痫性痉挛综合征
《Acta Neurologica Belgica》:Infantile epileptic spasms syndrome associated with a PTEN variant
【字体: 大 中 小 】 时间:2025年12月17日 来源:Acta Neurologica Belgica 2.1
编辑推荐:
婴儿性癫痫阵挛综合征(IESS)与PTEN基因变异相关病例报道及机制探讨,揭示IESS中PTEN失功能突变导致mTOR通路过度激活,引发癫痫及神经发育异常,糖皮质激素治疗有效,临床需关注遗传检测及肿瘤监测。
婴儿癫痫性痉挛综合征(IESS)是一种严重的、与年龄相关的发育性和癫痫性脑病,其特征是癫痫性痉挛、发育停滞或倒退,以及脑电图(EEG)上的异常节律 [1]。其病因多种多样,大约60%由结构性原因引起,其余由遗传因素或未知因素导致 [2]。已知TSC1、TSC2、CDKL5、ARX、KCNQ2、STXBP1和SCN2A等基因的致病变异是IESS的明确原因 [2]。相比之下,PTEN是一种位于mTOR信号通路中的肿瘤抑制基因,主要与PTEN错构瘤综合征、巨颅症、发育迟缓和自闭症谱系障碍相关,而非癫痫 [3, 4]。然而,PTEN的功能丧失可导致mTOR过度激活和神经元过度生长,进而引发癫痫,约15%的病例表现为局灶性发作,其他类型的发作较为罕见 [3, 4]。
我们描述了一名携带PTEN变异的IESS患儿。尽管这种变异此前尚未在IESS病例中被报道,但需要进一步研究以明确其在该表型中的潜在作用。认识到这种关联在临床实践中非常重要,因为它有助于预后评估、指导家庭遗传检测,并促进适当的肿瘤监测。
一名9个月大的女婴出现持续两周的头部下垂和双侧肩部外展症状,主要发生在睡眠与清醒转换期间(每天约5次)。她存在发育迟缓——能够在他人帮助下坐立,但不能独立坐立,也没有爬行或用手指抓握的能力。头围测量值为48.9厘米(第99.98百分位),符合巨颅症的特征。未观察到任何畸形或神经皮肤病变。
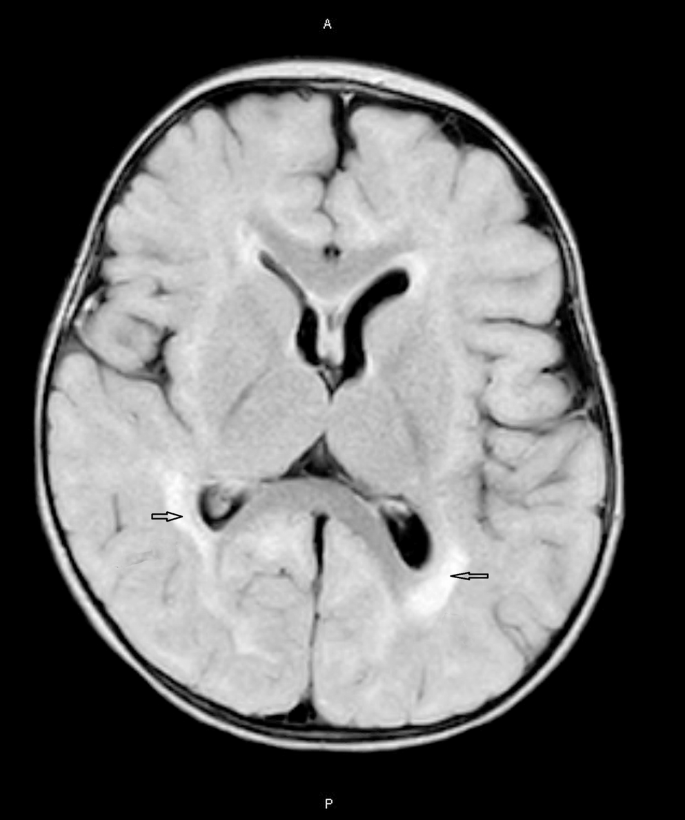
她是足月出生的,出生时即有巨颅症(头围36.8厘米,第99百分位)。EEG显示异常节律并记录到癫痫性痉挛,确诊为IESS(见图1)。脑部MRI显示双侧脑室周围白质信号异常,但没有皮质发育不良或大脑肥大的表现(见图2)。全外显子测序发现她携带一个杂合的PTEN变异,位于外显子6的c.509G > A(p.S170N)(基因序列:NM_000314.4),该变异来自她的母亲。根据美国医学遗传学与基因组学学院(ACMG–AMP)的指南,该变异被归类为“可能致病性”变异:基于“致病性中等1型(PM1,位于PTEN关键功能域)”、“致病性中等2型(PM2,未在人群数据库中收录)”以及“致病性支持3型(PP3,计算机预测具有有害效应)”。此外,“致病性支持5型(PP5,此前在PTEN相关表型中也有报道)”也被考虑在内。常规EEG显示发作间期的异常节律,Burden of Amplitudes and Epileptiform Discharges(BASED)评分为5分。箭头指示的癫痫性痉挛表现为δ波短暂放电后跟随电极电位下降,确诊为婴儿癫痫性痉挛综合征(IESS)。
生物通微信公众号
知名企业招聘