
-
生物通官微
陪你抓住生命科技
跳动的脉搏
一名军属患者出现正常压力脑积水症状,却表现为精神疾病:临床与辅助临床评估的重要性
《Acta Neurologica Belgica》:Normal pressure hydrocephalus mimicking a psychiatric disorder in a military patient: the importance of clinical and paraclinical assessment
【字体: 大 中 小 】 时间:2025年12月17日 来源:Acta Neurologica Belgica 2.1
编辑推荐:
67岁退伍军人因社交退缩、情感淡漠及步态障碍误诊为抑郁,经神经影像学检查确诊为特发性正常压力脑积水,行脑脊液分流术后症状显著改善,提示精神科需重视神经系统评估。
特发性正常压力脑积水(idiopathic normal-pressure hydrocephalus,简称iNPH)最早由Adams等人描述 [1]。这是一种可能可逆的神经系统综合征,其特征是步态障碍、认知能力下降和尿失禁,同时脑脊液(CSF)压力正常,还可能伴有行为和情绪变化。其病理生理机制涉及脑脊液流动异常和脑室周围白质损伤。尽管通常与运动和认知功能障碍相关,但iNPH也可能表现为与精神疾病重叠的行为或情绪变化,从而导致诊断延误。
在精神病学领域,尤其是在有创伤史的患者中,这些非特异性症状可能被过早地归因于抑郁症或创伤后应激障碍(PTSD)。我们介绍了一名退休军人的病例,其症状最初被误诊为精神疾病。这个病例强调了保持警惕、进行系统性的鉴别诊断(包括考虑神经系统原因)以及谨慎的辅助临床评估的必要性。
一名67岁的男性,退役已10年,因疑似抑郁症被送入精神科病房。他曾多次参与海外军事任务并经历过创伤事件。近年来,他逐渐出现社交退缩、情绪平淡、冷漠/缺乏主动性等症状,主动性显著下降。起初接受了抗抑郁治疗,后来因言语攻击行为加用了丙戊酸钠(valpromide),但效果不佳。
入院时,床边认知检查显示精神运动迟缓、注意力和记忆力下降、言语能力减弱、情绪平淡以及缺乏主动性。患者还报告长期饮酒以及四年来步态逐渐恶化,目前需要使用双拐或轮椅。步态恶化的同时,他也出现了尿急/尿失禁的症状。尽管他回忆起战时的痛苦经历,但没有表现出PTSD的典型特征:没有侵入性记忆、回避行为或过度兴奋。
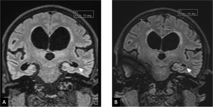
鉴于其认知、运动和泌尿系统症状的异常组合,怀疑存在器质性病因。脑部MRI显示脑室扩大,符合iNPH的特征(见图1)。患者接受了脑脊液分流手术。
三个月随访时,患者情况明显改善:能够独立在家行走,外出时仅需要一根拐杖,且不再有尿失禁症状。冷漠/缺乏主动性的症状减轻,言语更加流畅,主动性增强,自主能力提高。由于基线时抑郁情绪不明显,这种改善更应被视为从冷漠相关症状中恢复,而非典型的“抑郁”症状。抑郁症状消失,自主能力和生活质量显著提高。
2024年11月(A)分流手术前的冠状FLAIR图像和2025年6月(B)分流手术后的图像:(A) 脑积水(hydrocephalus);(B) 胼胝体边缘角(callosomarginal angle)恢复正常(>90度),颞角处的脑室扩张明显减轻(箭头所示)
本案例说明了精神病学专业知识在鉴别诊断行为和认知症状中的重要性。在精神病学领域,尤其是军队精神病学中,人们倾向于将情绪迟钝和认知下降归因于创伤。然而,非典型症状应引起重新评估。
我们的患者不符合PTSD的诊断标准:尽管有创伤史,但他缺乏PTSD的核心症状群。他的主要表现为步态障碍、冷漠/缺乏主动性以及认知迟缓,这些症状更符合神经系统疾病。在这种情况下,情绪迟钝和主动性下降更符合iNPH的特点,而在精神病学环境中容易误诊为“抑郁症”。精神科医生的角色不仅是基于病史进行推理,还需运用诊断严谨性,结合病理学检查和针对性检查。
在军队环境中,某些刻板印象会影响诊断思路。“战争创伤”患者的形象仍然根深蒂固。第一次世界大战后,情绪退缩的退伍军人被视为创伤的象征。当时由于缺乏系统性的理解,临床医生在体格因素和心理动力因素之间争论不休,常采用强制性的治疗方法(如电刺激)。这些历史遗留问题至今仍影响着对军队患者的认知。
本案例中的错误并非由于PTSD的掩盖效应,而是因为过分强调症状的连贯性而忽视了临床细节。尽管存在非典型症状,但未能识别出神经系统病变。多项研究表明,iNPH也可能主要表现为精神症状 [2,3,4]。虽然这种情况较为罕见,但在出现运动或括约肌功能障碍时,仍应将其纳入鉴别诊断范围。
我们讨论的并非一种罕见的iNPH类型,而是说明了一个引人注目的创伤经历如何影响诊断思路,导致忽视神经系统病因。教训在于:当认知迟缓伴随步态障碍和泌尿系统症状时,应重新评估器质性可能性,并进行相应的神经影像学检查。
Blackman等人的最新研究 [5] 发现,近6%的首次发作的精神病患者存在具有临床意义的MRI异常,这突显了神经影像学在复杂或难治性病例中的价值。在精神病学中,关键不在于常规进行神经影像学检查,而在于有针对性地根据假设进行影像学检查。我们的病例体现了这一原则及其可能带来的重大影响。
由于基线时未进行正式的标准化认知评估(如MMSE/MoCA),关于认知能力的结论基于床边检查和功能结果。
精神病学诊断必须基于仔细的观察、综合征分析以及对神经系统相关疾病的了解。即使对于有创伤史的患者,系统地评估症状及其演变也是必要的。本案例表明,关注非典型症状(如步态障碍、冷漠和泌尿系统症状)可以引导进行神经影像学检查并得出可治疗的诊断。
在军队精神病学中,如同其他领域一样,临床医生必须抵制主观偏见,以临床证据为指导。特发性正常压力脑积水虽然罕见,但它提醒我们:可治疗的神经系统疾病可能表现为精神症状,而漏诊可能导致不可逆的后果。
生物通微信公众号
知名企业招聘