
-
生物通官微
陪你抓住生命科技
跳动的脉搏
从“夹子”到“滑鞋”:一个病例报告,支持类固醇反应性血管周围中枢神经系统炎症谱系的扩展
《Acta Neurologica Belgica》:From CLIPPERS to SLIPPERS: a case report supporting the expanding spectrum of steroid-responsive perivascular CNS inflammation
【字体: 大 中 小 】 时间:2025年12月17日 来源:Acta Neurologica Belgica 2.1
编辑推荐:
CLIPPERS/SLIPPERS综合征表现为多灶性脑区“胡椒样”血管周围强化,对激素治疗敏感,本例合并小脑出血,经 methylprednisolone 治疗后影像学完全缓解并维持疗效,证实该综合征异质性及影像特征诊断价值。
慢性淋巴细胞性炎症伴桥脑血管周围增强,对类固醇有反应(CLIPPERS)是一种罕见的中枢神经系统(CNS)炎症性疾病,具有特征性的放射学表现,并对皮质类固醇有强烈反应[1]。近期文献提出了该疾病的扩展谱系,包括幕上型变体,也称为幕上淋巴细胞性炎症伴实质血管周围增强,对类固醇有反应(SLIPPERS),这挑战了该疾病的传统解剖学界限[2。
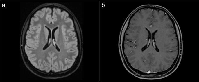
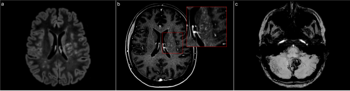
我们报告了一例24岁女性的病例,她因突发性持续性头痛(持续一个月)就诊于我们的三级医疗机构,同时伴有位置性眩晕和视力模糊。神经系统检查发现轻微的水平注视诱发眼球震颤,但没有局灶性缺陷。脑部MRI显示多个T2/FLAIR高信号灶,主要位于左侧壳核-脑豆状核区域和小脑蚓部。增强后序列显示点状、“胡椒状”的血管周围钆增强模式(图1,a面板和b面板)。此外,还观察到左侧小脑局灶性出血(图1,c面板)。
入院时进行的脑部MRI检查:a面板显示液体衰减反转恢复序列,显示主要位于左侧壳核-脑豆状核区域的高信号灶;b面板显示增强后T1加权序列,显示相同位置的点状血管周围钆增强(“胡椒状”);c面板显示磁化率加权成像序列,显示小脑蚓部上表面和左侧小脑蛛网膜下腔出血。
脑脊液(CSF)分析显示淋巴细胞增多(200个细胞/μL),IgG指数正常,无寡克隆带,无感染证据。广泛的血清学检测,包括针对抗髓鞘少突胶质细胞糖蛋白、抗水通道蛋白-4和抗胶质纤维酸性蛋白(GFAP)抗体的检测,在血清和脑脊液中均呈阴性。黑血MRI序列和脑血管造影排除了血管炎或动静脉畸形的可能性。全身PET-CT扫描排除了恶性肿瘤或系统性炎症。
入院第6天开始使用静脉注射甲基泼尼松龙(1克/天)治疗,持续7天。入院第9天,患者临床症状有所改善,出院时症状持续缓解。1个月随访时,MRI显示T2/FLAIR高信号灶和增强灶几乎完全消失(图2),随后开始使用硫唑嘌呤作为维持治疗。1年随访时,未出现临床或MRI复发。
接受7天皮质类固醇治疗后的1个月随访脑部MRI:a面板显示液体衰减反转恢复序列,显示左侧壳核-脑豆状核区域的高信号灶几乎完全消失;b面板显示增强后T1加权序列,显示左侧壳核-脑豆状核区域的钆增强灶消失。
SLIPPERS倾向于累及幕上区域,而避开脑干和小脑,这给诊断带来了挑战,因为它可能与中枢神经系统血管炎、GFAP星形细胞病以及血管或肉芽肿性疾病相似。该患者的病例同时具有幕上和幕下受累,以及典型的血管周围点状“胡椒状”增强和对类固醇的显著反应,因此被归入扩展的SLIPPERS/CLIPPERS谱系[1。
尽管CLIPPERS的经典组织学特征是血管周围CD3+CD4+T细胞浸润,但没有血管坏死或出血的证据[3],但强烈的血管周围炎症可能导致了本例中观察到的局部出血。
总之,本病例的影像学表现支持了SLIPPERS/CLIPPERS谱系的扩展概念,其中病变分布和增强模式——特别是点状“胡椒状”钆摄取——是关键的诊断线索。对类固醇的显著反应强调了及时进行免疫治疗的重要性。在这一不断扩展的中枢神经系统炎症性疾病中,识别放射学表现对于诊断和管理至关重要。
生物通微信公众号
知名企业招聘