
-
生物通官微
陪你抓住生命科技
跳动的脉搏
【Nature】Odyssey助力突破“精准靶向”难题!高分文章发不停
【字体: 大 中 小 】 时间:2025年12月18日 来源:基因有限公司
编辑推荐:
本篇研究还基于Odyssey系统进行了大量的Western blot实验验证蛋白质相互作用、条件性剪接活性、细胞表面靶向效率及功能相关性等。
研究背景
细胞表面蛋白质组成因细胞类型而异,且在疾病状态下常发生改变,精准识别和操控细胞表面蛋白对于疾病诊断、治疗以及基础生物学研究具有重要意义,传统的靶向策略大多依赖于单一表面抗原的识别,但单一抗原几乎无法精确定义特定细胞类型。
为了克服以上限制,普林斯顿大学Tom W. Muir研究团队提出了一种新型的细胞表面靶向技术SMART(splicing-modulated actuation upon recognition of targets),通过整合多细胞表面特征实现特异性识别,并利用汇聚式蛋白质连接技术,在目标细胞表面将无活性的多肽片段高效拼接为有活性的功能蛋白。该技术将条件性蛋白质剪接(CPS)与细胞靶向识别完美结合,具有高度的选择性和灵活性,可以用于细胞系统的局部检测或操纵,具有重要的应用前景。
相关研究“Programmable protein ligation on cell surfaces”于今年7月30日发表在国际生命科学顶尖期刊《Nature》上。

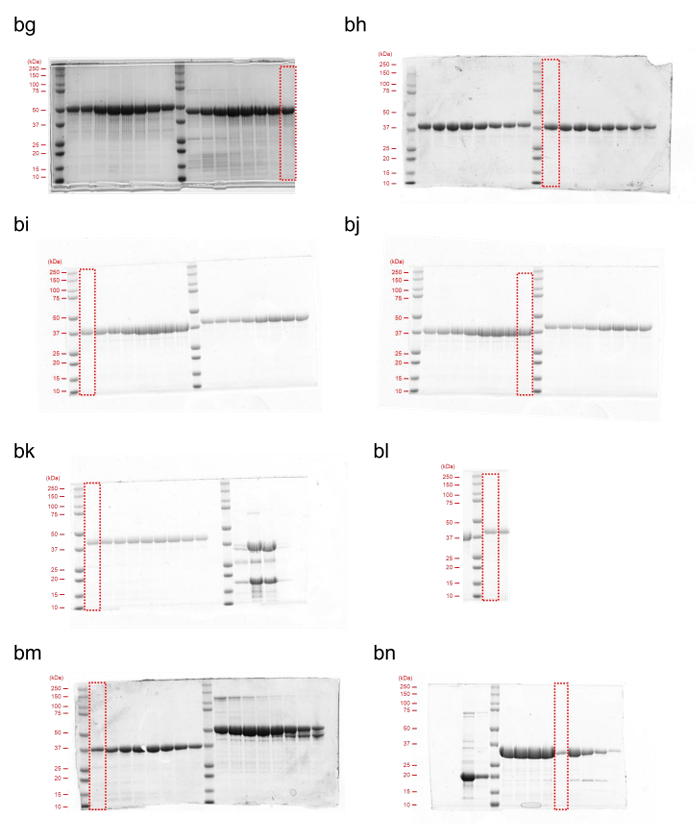
Odyssey作用
本研究通过Odyssey系统进行考马斯亮蓝染色SDS-PAGE凝胶成像和双色定量western blots实验检测。SDS-PAGE凝胶成像通过检测凝胶中蛋白质的分离情况,验证重组蛋白质的表达、纯化效果及分子量正确性,确保后续实验(如蛋白质剪接、细胞表面靶向)所用蛋白的质量;Western Blots实验用于深入验证 SMART系统的靶向性、剪接效率及功能,从而确保实验结论的可靠性。Odyssey系统基于稳定的荧光检测以及多通道同时成像方式,无需剪膜即可同步检测内参和目的蛋白的信号,更加符合期刊杂志对数据发表的要求,其检测结果为本研究的实验结论提供了重要的数据支撑。
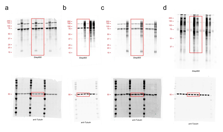
本研究中,为证明SMART系统可通过灵活组合靶向模块,实现对特定“双抗原阳性细胞”表面微环境的精准蛋白质组探测,研究人员通过Western Blot 实验验证SMART系统在不同细胞系中对多种抗原组合的靶向标记能力,结果显示,仅当细胞表达SMART系统预设的两种抗原时,才能检测到明显的生物素化蛋白条带,证明SMART系统的邻近标记具有严格的细胞特异性,且适用于不同来源的细胞系,并且邻近标记效率与目标细胞的抗原表达水平正相关,如下图所示。

不仅如此,本篇研究还基于Odyssey系统进行了大量的Western blot实验验证蛋白质相互作用、条件性剪接活性、细胞表面靶向效率及功能相关性等,部分原始图像如下所示:









LICORbio Odyssey系统在Western blot成像中的优势
1. LICORbio Odyssey能够在同一张膜上同时成像多个条带,无需剪膜,满足了期刊杂志对于目的蛋白和内参蛋白在同一膜上成像的要求。

2. 在进行蛋白质磷酸化Western Blot分析检测时,LICORbio公司的Odyssey 双色近红外荧光Western Blot检测方法使用不同荧光基团标记的二抗,即可同时检测磷酸化蛋白水平和该蛋白的总水平,因为无需进行剥离及再孵育,缩短了磷酸化蛋白检测的时间,实现了高效便捷的磷酸化蛋白水平和该蛋白的总水平检测,同时蛋白定量更为准确。

3. LICORbio Odyssey还能实现高通量Western Blot检测,称为In-Cell Western,其具有广泛的应用领域,包括药物筛选、细胞信号通路研究、病毒感染研究、疾病研究、药物治疗效果评估以及基础细胞生物学研究等诸多领域。更重要的是,它还是美国药典官方推荐的胰岛素检测技术。这种多功能性和权威认可,使In-Cell Western技术成为了现代生物医学研究和药物开发中的不可或缺的工具。

4. LICORbio Odyssey系统是期刊杂志推荐的定量Western Blot检测平台,基于荧光的检测方式,可以获得稳定的定量检测数据,并且具有6logs宽广的动态范围,在检测到弱信号的同时强信号不会过曝,可以实现准确定量的蛋白表达检测。

了解更多,请扫码添加微信:

关于Odyssey
LICORbio公司的Odyssey® 红外激光成像系统可以实现定量Western Blot检测,具有重复性好、定量准确、 多色荧光成像、背景低、灵敏度高、可直接检测、应用范围广等多种优势,其不仅可以进行孔板的In-Cell Western™检测,还可以实现近红外荧光Western Blot、可见荧光Western Blot 、组织切片成像、On-Cell Western、EMSA/凝胶迁移实验、荧光蛋白质芯片、荧光核酸芯片、考染胶成像、器官成像等多种应用。
Odyssey家族

关于基因
基因有限公司成立于1992年,是一家提供生命科学科研仪器、试剂耗材和技术服务的综合服务商。基于“Gene Brightens Every Life • BioTech Connects the World”——“基因燃亮生命 • 生物技术连接世界”的愿景,专注于生命科学领域前沿技术的引进和推广,致力于推动该领域国内科研机构硬件水平及实验方案的革新与升级。同时,公司也一直致力于自主品牌的科研设备的研发与生产,拥有一系列通用性强、互补性高的自主品牌产品。
基因的服务网络遍及全国各地十多个大中城市,拥有包括仪器销售,试剂销售,市场与技术支持,维修,客服,物流等多个部门组成的完整服务体系。
我们希望通过不懈努力,为您的成功铺路搭桥,也为中国的生命科学事业赶超世界先进水平尽一己之力。欲了解更多信息,请访问www.genecompany.cn。
参考文献:
[1] Kofoed, C., Erkalo, G., Tay, N.E.S. et al. Programmable protein ligation on cell surfaces. Nature 645, 793–800 (2025). https://doi.org/10.1038/s41586-025-09287-2