
-
生物通官微
陪你抓住生命科技
跳动的脉搏
重组Der f 2致敏的豚鼠变应性鼻炎-哮喘联合模型构建与验证
【字体: 大 中 小 】 时间:2025年02月15日 来源:BMC Pulmonary Medicine 2.6
编辑推荐:
本研究针对变应性鼻炎(AR)与哮喘共病机制研究缺乏标准化动物模型的问题,通过重组野生型屋尘螨变应原(Der f 2)联合腹腔注射(IP)、雾化吸入(IH)及鼻内激发(II)的多途径致敏方案,成功建立豚鼠AR-哮喘联合模型。该模型经皮肤激发试验(CPT)、鼻腔症状评分及主动皮肤过敏试验(ACAT)验证,显示典型Th2型炎症特征与MUC5AC高表达,为呼吸道变态反应疾病的病理机制研究及药物筛选提供了可靠平台。
在全球范围内,变应性鼻炎(AR)和哮喘这对"难兄难弟"正困扰着越来越多的人群,流行病学数据显示这两种疾病的共病率高达40%-60%。这背后暗藏着一个关键科学问题:为什么呼吸道变态反应总喜欢"上下联动"?尽管1997年提出的"同一气道,同一疾病"理论揭示了二者的关联性,但研究进展却受限于缺乏能同时模拟鼻部和支气管病变的标准化动物模型。现有研究多采用小鼠,但其鼻腔结构与人类差异较大;而不同实验室采用的致敏方案、变应原种类和评估标准各异,导致研究结果难以横向比较。
针对这一研究瓶颈,复旦大学附属中山医院的研究团队将目光投向具有人类相似呼吸道特性的豚鼠,选择屋尘螨主要变应原Der f 2作为"罪魁祸首"。这种由129个氨基酸组成的蛋白质不仅是诱发常年性AR的元凶,更是导致哮喘发作的常见过敏原。研究团队创新性地采用"系统致敏+局部激发"的组合拳:先通过腹腔注射(IP)让免疫系统记住这个"敌人",再通过雾化吸入(IH)模拟自然暴露过程,最后用鼻内激发(II)精准诱发鼻部症状。这种多管齐下的策略成功构建出能同时展现打喷嚏、鼻痒等AR症状和气道高反应的动物模型。
研究主要运用了四项关键技术:1) 重组变应原制备技术(表达纯化野生型wt Der f 2及其突变体mu Der f 2);2) 多模式致敏方案(IP+IH+II组合给药);3) 三级筛选体系(皮肤激发试验CPT、鼻腔症状评分、主动皮肤过敏试验ACAT);4) 多维度验证方法(Evans蓝渗出定量、HE染色病理分析、MUC5AC免疫组化)。所有实验动物均来自中科院上海实验动物中心SPF级豚鼠。
结果部分
重组wt Der f 2蛋白维持皮肤反应和IgE结合能力
通过皮肤点刺试验(SPT)和间接ELISA证实,实验室自制的重组wt Der f 2能诱发典型风团-红斑反应,其IgE结合活性显著高于双半胱氨酸突变体(mu Der f 2),为模型构建提供了特异性变应原。
通过皮肤激发试验鉴定致敏豚鼠

采用直径>3mm的风团作为筛选标准,20只实验组豚鼠中有2只CPT阴性被淘汰,证明该筛选方法能有效识别致敏个体。
通过鼻腔症状评估豚鼠变应性鼻炎
建立包含喷嚏、挠鼻、流涕的9分制评分系统,3只症状评分<5分的豚鼠被排除,确保模型的行为学特征符合临床AR表现。
通过主动皮肤过敏试验和Evans蓝定量验证气道过敏模型
wt Der f 2激发部位的风团直径(10.7±2.3mm)显著大于突变体组(4.0±0.4mm),Evans蓝吸光度(0.816 vs 0.178)证实血管通透性增加与过敏反应强度正相关。
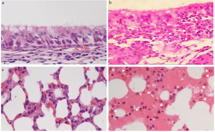
鼻黏膜和肺组织病理学分析
实验组呈现典型变态反应特征:鼻黏膜纤毛脱落、上皮增生、嗜酸粒细胞浸润;肺组织肺泡间隔增厚伴大量炎性细胞浸润,完美复现人类AR-哮喘的病理改变。
免疫组化分析
MUC5AC在实验组鼻黏膜杯状细胞和支气管上皮的表达量显著升高,揭示黏液高分泌是气道阻塞的关键机制。
这项研究的创新价值在于建立了首个基于重组Der f 2的豚鼠AR-哮喘联合模型,其标准化操作流程和三级筛选体系显著提高了模型的可靠性。相较于传统方法,该模型具有三大优势:1) 采用重组变应原避免提取物批次差异;2) 多途径致敏更好模拟自然发病过程;3) 定量化评估体系使结果更客观。研究不仅为阐明"鼻炎-哮喘综合征"的分子机制提供了理想平台,更对开发新型靶向药物(如mu Der f 2变体免疫疗法)具有重要指导意义。未来可借助此模型探索IL-4/IL-13信号通路与MUC5AC调控的关联性,为临床实现"一药双治"提供理论依据。
生物通微信公众号
知名企业招聘