
-
生物通官微
陪你抓住生命科技
跳动的脉搏
槲皮素缓解金纳米颗粒诱导的肝肾毒性:氧化应激、炎症与组织病理学的作用机制研究
【字体: 大 中 小 】 时间:2025年06月07日 来源:The Journal of Basic and Applied Zoology 1.1
编辑推荐:
本研究针对金纳米颗粒(AuNPs)在生物医学应用中引发的肝肾毒性问题,通过动物实验探究了天然抗氧化剂槲皮素(Qu)的保护作用。研究人员发现,AuNPs暴露导致小鼠体重及肝肾重量异常增加,伴随TNF-α水平升高、抗氧化酶SOD/GSH失衡及组织病理损伤。槲皮素通过调控氧化应激和炎症通路显著改善上述毒性效应,为纳米材料安全应用提供了潜在解决方案。论文发表于《The Journal of Basic and Applied Zoology》。
研究背景与意义
金纳米颗粒(AuNPs)因其独特的光学特性和生物相容性,在肿瘤诊断、药物递送等领域展现出巨大潜力。然而,越来越多的证据表明,这些直径仅15±5 nm的"黄金战士"可能在肝脏和肾脏中潜伏着致命威胁——通过诱发氧化应激和炎症反应,导致器官功能障碍。这种矛盾现状如同"双刃剑",既推动了纳米医学发展,又引发对其安全性的深度忧虑。
在此背景下,来自伊拉克Fallujah大学的研究团队将目光投向了自然界广泛存在的黄酮类化合物槲皮素(Quercetin, Qu)。这种存在于苹果和洋葱中的天然成分,以其强大的抗氧化和抗炎特性闻名。研究人员假设:Qu可能通过中和AuNPs产生的活性氧(ROS)、阻断炎症因子风暴,成为守护肝肾健康的"纳米解毒剂"。
关键技术方法
研究采用8周龄雄性小鼠模型,设立对照组、AuNPs组(4 mg/kg)和AuNPs+Qu组(15 mg/kg),连续干预14天。通过TEM确认纳米颗粒形貌,ELISA检测TNF-α和Caspase-3水平,比色法测定SOD/GSH活性,H&E染色评估组织病理变化。所有操作遵循ARRIVE指南,经UOF.VET.2024.001伦理审查。
研究结果
体重与器官重量变化
AuNPs组小鼠最终体重显著增加29%,相对肝/肾重量分别升高76%和18%,提示代谢紊乱或炎症性水肿。Qu干预使这些指标回调17%-40%,表明其改善作用。
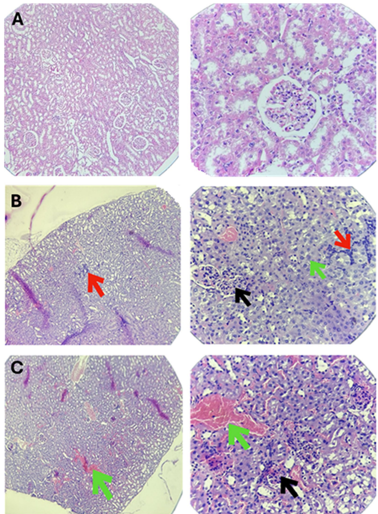
组织病理学证据
肝脏病理显示:

肾脏病理可见:

炎症与氧化应激标志物
AuNPs使肝/肾TNF-α水平显著升高,而Caspase-3无变化,提示以炎症为主导的非凋亡性损伤。Qu使TNF-α降低至近正常水平:

氧化应激方面,AuNPs导致SOD活性代偿性升高、GSH耗竭,Qu则使SOD/GSH恢复平衡:

结论与展望
该研究首次系统证实槲皮素可通过三重机制对抗AuNPs毒性:①抑制Kupffer细胞活化降低TNF-α;②清除ROS恢复SOD/GSH平衡;③减轻血管充血和细胞坏死。这些发现为开发基于天然产物的纳米佐剂提供了理论依据,尤其对需长期接触AuNPs的医疗工作者具有防护意义。
局限性在于未探讨不同粒径AuNPs的差异效应及Qu的最佳给药方案。未来研究可结合转录组学深入解析NF-κB/Nrf2通路调控机制,并探索Qu与表面修饰AuNPs的协同效应,推动纳米药物的安全转化应用。
生物通微信公众号
知名企业招聘