
-
生物通官微
陪你抓住生命科技
跳动的脉搏
犬利什曼病相关周围神经病变的免疫机制研究:从神经病理学角度揭示血-神经屏障破坏新机制
【字体: 大 中 小 】 时间:2025年06月12日 来源:Parasites & Vectors 3
编辑推荐:
本研究针对犬利什曼病(CanL)罕见神经系统并发症,通过两例混合品种犬的临床病理学分析,首次证实外周神经系统(PNS)损伤与可溶性循环免疫复合物(sCIC)沉积导致的血-神经屏障(BNB)破坏相关。采用免疫组化、qPCR等技术发现神经组织中存在利什曼原虫抗原,免疫抑制治疗显著改善症状,为免疫介导性神经病变机制提供新见解。
犬利什曼病(Canine leishmaniosis, CanL)是由婴儿利什曼原虫(Leishmania infantum)引发的虫媒人兽共患病,典型病理特征为免疫复合物沉积引发的多器官损伤。尽管该病可致犬死亡,但神经系统受累的报道罕见且机制不明。当前研究面临两大挑战:一是人类与犬类病例中周围神经病变(PNS)的病理机制存在争议;二是传统抗寄生虫治疗对神经症状改善有限,提示可能存在独立于病原体直接侵袭的免疫机制。
为解决这些问题,意大利巴里大学联合德国慕尼黑大学的研究团队对两例出现进行性四肢瘫痪的CanL患犬展开系统研究。通过结合神经电生理检测、组织活检与分子生物学技术,首次揭示BNB破坏在CanL相关神经病变中的核心作用,相关成果发表于《Parasites》期刊。
关键技术方法包括:1) 对两例自然感染患犬进行神经学检查与血液生化分析;2) 采用肌肉/神经活检结合HE染色、甲苯胺蓝染色观察组织病理变化;3) 免疫组化检测神经组织利什曼抗原;4) 实时定量PCR(qPCR)确认组织病原体载量;5) 电生理检测评估运动神经传导速度。
研究结果
病例特征
病例1为3岁混种犬,接受锑剂治疗后仍进展为四肢弛缓性瘫痪,血清蛋白电泳显示γ球蛋白升高至17.9%(正常6.6-14.5%)。病例2表现为急性运动不耐受,肌电图显示广泛正锐波,运动神经传导速度显著降低。两例均存在低白蛋白/球蛋白比(0.62和0.41)与高急性期蛋白(CRP 0.56 mg/L)。
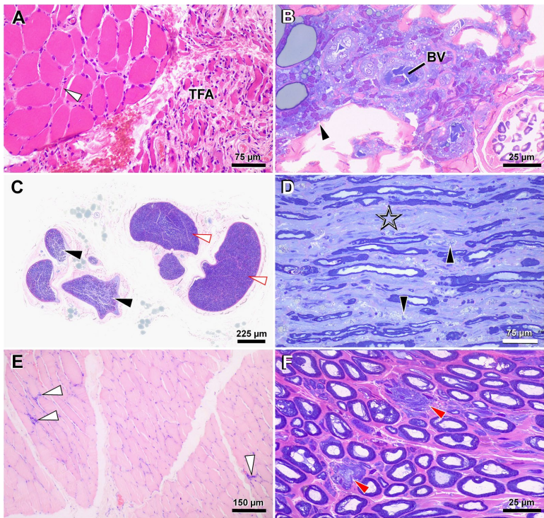
组织病理学发现
肌肉活检显示慢性去神经性萎缩伴单核细胞浸润,神经标本呈现多灶性脱髓鞘性神经病:

机制探讨
研究提出双重致病假说:1) sCIC通过Fcγ受体(FcyRs)介导沉积于BNB内皮,引发补体激活与白细胞浸润;2) 突破BNB的免疫细胞直接攻击神经结构。

治疗反应
锑剂+别嘌呤醇联合泼尼松(2 mg/kg)治疗4周后,两例患犬神经功能显著改善,支持免疫介导机制的主导地位。
结论与意义
该研究首次系统阐明CanL相关周围神经病变的免疫病理机制:1) 证实BNB破坏是神经损伤的关键环节;2) 建立sCIC-FcyRs-炎症浸润的级联反应模型;3) 提供免疫抑制治疗有效的直接证据。成果将CanL纳入犬类神经病变的鉴别诊断体系,尤其对流行区病例具有重要临床指导价值。其机制阐释也为人类利什曼病神经系统并发症研究提供跨物种参考。
生物通微信公众号
知名企业招聘